AUCTORES
Globalize your Research
Review Article | DOI: https://doi.org/10.31579/2693-7247/187
Clinical Pharmacist, cand.biol.science’s for Clinical Pharmacology, Russia.
*Corresponding Author: Dmitrieva Elena Germanovna, Clinical Pharmacist, cand.biol.science’s for Clinical Pharmacology, Russia.
Citation: Dmitrieva E. Germanovna, (2024), Сompetent treatment of coronavirus (literature analysis and own research – level of evidence – 4), J. Pharmaceutics and Pharmacology Research, 7(7); DOI:10.31579/2693-7247/187
Copyright: © 2024, Dmitrieva E. Germanovna. This is an open access article distributed under the Creative Commons Attribution License, which permits unrestricted use, distribution, and reproduction in any medium, provided the original work is properly cited.
Received: 26 April 2024 | Accepted: 17 May 2024 | Published: 27 June 2024
Keywords: coronavirus; specific etiotropic treatment; Ribavirin; Imunofan; Mexidol (Mexiprim) - combined drug combination
More detailed Patient zero, which was at the beginning of the current pandemic, which has already claimed the lives of about 650 thousand people, appeared in 2012. It was the miners ' lungs that created unique opportunities for recombination in the RNA of the virus. There, in the genome of the virus, thanks to the insertion of 12 nucleotides, the furin site of eight amino acids appeared, which is necessary for the pathogen to enter the human cell. Completely corresponding to the same fragment of a human protein and its gene.
The main biological feature of the virus is high contagiousness, which is many times higher than that of viruses that cause various acute respiratory infections, including influenza.
The root cause is reduced immunity as a result of long – term illiterate vaccination of mankind by generations (author's note).

Coronaviruses (Latin: Coronaviridae) are a family of viruses that infect humans and animals: cats, dogs, cattle, and birds. They cause acute respiratory diseases and intestinal disorders.

The coronavirus is transmitted from person to person and from animal.
More detailed Patient zero, which was at the beginning of the current pandemic, which has already claimed the lives of about 650 thousand people, appeared in 2012. It was the miners ' lungs that created unique opportunities for recombination in the RNA of the virus. There, in the genome of the virus, thanks to the insertion of 12 nucleotides, the furin site of eight amino acids appeared, which is necessary for the pathogen to enter the human cell. Completely corresponding to the same fragment of a human protein and its gene.
These miners really got into a unique situation, as they were subjected to a very large viral load (Konstantin Krutovsky, 2020). After all, they did not just work in the mine, their task was to clear it of accumulated in a huge amount of bat excrement, which is known to be especially saturated with coronaviruses. It is likely that one of the miners could have recombined the RNA of the coronavirus with the RNA of the human gene (controlling the ENaC-ɑ protein) and having the same furin insert. It is believed that it is thanks to it that the effectiveness of SARS-CoV-2 penetration into cells has significantly increased. It is also possible that recombination occurred between SARS-CoV-like viruses, one of which already has this insert. However, it has not yet been found in nature.
Interesting research on Covid-19.
People who are ill without symptoms are more dangerous to others than patients who know about their positive status. They actively spread the disease and virus to the environment, while not getting sick themselves. It all depends on the strength of the immune system.
Scientists made this conclusion based on studies of samples of mucous membranes, as well as rectum, urine and blood in 60% of patients with coronavirus. It turned out that it is in patients who are asymptomatic that the amount of virus in the body is higher than in others. But with vaccination, it will be the same. Inside, a person is ill, but externally it may not be visible. During vaccination, there will also be the phenomenon of imprinting (interaction of vaccines delivered earlier or during the coronavirus pandemic), so virus carriers must be identified and treated. For example, traditional herbal medicine (Phytotherapy - author's note). The genetic material of coronaviruses is highly recombinant, meaning that different parts of their genome can be "collected" from different sources.
And this feature makes it very difficult to track their evolutionary origin, since it is necessary to identify all the recombined sites and find out the history of each of them.
The study found that the line of viruses that SARS-CoV-2 belongs to separated from other bat viruses about 40-70 years ago. And despite the fact that SARS-CoV-2 is about 96% genetically similar to RaTG13 found in horseshoe bats in China's Yunnan province in 2013, the two viruses diverged evolutionarily as early as 1969.
In addition, scientists have found that the receptor-binding domain (RBD) located on the spiked protein SARS-CoV-2, which it uses to enter human cells, is one of the long-acquired features that is also characteristic of related viruses. This means that other viruses capable of infecting humans are now circulating in the horseshoe bat population in China" (David Robertson, 2020).
Since RBD was only found in a few viruses that infect pangolins, these animals were mistakenly considered a necessary intermediate for the virus to pass from bat to human. Apparently, SARS-CoV-2 simultaneously developed the ability to reproduce in the upper respiratory tract of both humans and pangolins.
Scientists believe that to effectively prevent future possible epidemics, it is necessary to carefully monitor the viruses circulating in the population of wild bats, and previously identify those that are potentially capable of infecting humans. Standard coronavirus infections are restricted to the throat and upper respiratory tract. SARS-CoV-2 develops in the lungs. The lungs are much larger in both weight and surface area than the upper respiratory tract. The amount of potentially infected tissue in the average lung is about 4.5 thousand times more than is available for a normal coronavirus infection (Latham and Ellison, 2020).Based on the fragmentary similarity, it has already been concluded that SARS-CoV-2 was created using HIV inserts, that it was made using human inserts. You might as well say that it is made with inserts of manatees, crustaceans or mushrooms. Or that manatees are created with human inserts. In reality, this level of similarity between two genomes will inevitably be found for random reasons, and not just once.
Such a strain as SARS-CoV-2 could well have appeared as a result of natural recombination (Sergey Netesov, 2020). The RmYN02 strain, which has 93.3% homology (similarity), is quite suitable for the role of one of the donors. The RmYN02 strain was found in the same Yunnan province as the closest relative to SARS-CoV-2. Described on may 10, 2020. At the same time, this strain has a furin-specific insert in exactly the same region of the genome - S1-S2, as the SARS-CoV-2 strains. So the current pathogen may well have a natural recombination origin. The exact mechanism of infection is the human factor (illiterate vaccination on the planet).
Restriction sites are areas in the genome that are recognized and cut at this location by special enzymes, restrictases. Restrictases are a kind of molecular "scissors". Before the invention of the CRISPR/CAS (genome editing tool) technology. They were actively used in genetic engineering to insert the necessary fragments into the genome or a specific gene.
Mutation of the virus
The source of the virus was bats. Then it was transmitted to tree - dwelling mammals-palm civets from which it migrated to humans. Communication of producers "Kopi-luvak" (coffee variety) with civets and infection with the virus occurred.
A key factor for the transmission of SARS-CoV-2 coronavirus is the rate of evaporation of moisture in the air.
Using theoretical modeling and hydrodynamic experiments, experts studied the effect of humidity, ambient temperature, and wind speed on the spread of tiny drops of saliva containing virus particles.
It was found that the viability of the virus is significantly reduced at high temperatures and low relative humidity due to the high rate of evaporation. In hot weather with high humidity, the probability of transmission of coronavirus remains high.
The findings explain why the pandemic intensified during July in various densely populated cities around the world with hot and humid climates.
Polymorphisms (mutations) in the gene encoding the ACE2 protein that the coronavirus uses to enter airway cells are known to make it easier or more difficult for the virus to enter cells. Not all people are susceptible to the coronavirus.

Risk factor
Vitamin D and zinc increase the body's resistance to coronavirus infection.
Biorhythms (peaks) of virus activity occur in winter and early spring. You can get infected with close and prolonged contact with the carrier of the virus. Coronavirus is transmitted by airborne droplets and contact routes.
Types of coronaviruses
There are four types of seasonal coronaviruses that cause respiratory infections: HCoV-NL63, HCoV-229E, HCoV-OC43, and HCoV-HKU1. most often, these infections are asymptomatic.
Named signs that a person has suffered a coronavirus asymptomatically
You can get over the coronavirus “on your feet”. According to Federal statistics, about 25% of daily detected infected people are asymptomatic.
According to scientists, there are five "mild" symptoms of the coronavirus.
These are changes in the sense of smell, slight shortness of breath and severe fatigue.
Many patients who were found to have antibodies in their blood reported abdominal pain due to problems with the lower lungs. Some had diarrhea and mild conjunctivitis for no reason.
Many doctors consider an asymptomatic carrier to be an "intermediate state" that does not pass without a trace. The disease can make itself known later, so it is important to contact doctors for any suspicious symptoms.
However, reinfections were most often observed 12 months after initial infection, and in some cases six to nine months later.
This applies to all four viruses studied. Hence, the authors conclude that immunity against the new SARS-CoV-2 coronavirus is likely to be short - no more than a year.
In winter, people in temperate countries are more likely to become infected with this family of viruses. The same picture should be expected for SARS-CoV-2, when it becomes seasonal after the pandemic.
A long - term study of seasonal human coronaviruses has shown that the immunity of those who have had an infection usually does not last long-from six months to a year.
The four viruses studied belong to different groups:
1.HCoV-NL63 and HCoV-229E are alpha - coronaviruses, while HCoV-OC43 and HCoV-HKU1 are beta-coronaviruses. They use different receptors to enter cells. HCoV-NL63 enters the cell through the ACE2 receptor, as does SARS-CoV-2, the rest through other receptors. But the nature of the immune response is very similar for everyone.
You should rely on natural immunity, and not engage in vaccination (author's note).
The mechanism of coronavirus penetration into the brain is revealed
Ciliated cells of the olfactory nasal mucosa are infected with the SARS-CoV-2 virus.
The SARS-CoV-2 virus enters the brain through nerve cells in the olfactory mucosa. COVID-19 is not a purely respiratory disease. In addition to lung damage, SARS-CoV-2 affects the cardiovascular system, gastrointestinal tract, and Central nervous system. One in three patients with COVID-19 reports neurological symptoms, such as loss or change in the sense of smell and taste, headaches, fatigue, dizziness, and nausea. In some patients, coronavirus infection is accompanied by a stroke or other serious diseases caused by the virus entering the brain.

Coronavirus is able to embed its own genetic material into human chromosomes
The retrovirus attaches to strictly defined host cells, since the proteins of its shell (capsid) correspond to receptors on the surface of these cells. After ingestion, the capsid breaks down under the action of either cellular enzymes or its own.
Viral RNA is released and undergoes reverse transcription: reverse transcriptase collects DNA strands along the RNA matrix. This proviral DNA then enters the cell nucleus and is embedded in the host genome. In the nucleus, viral RNA is collected again, and in the cytoplasm, it acquires a capsid. A new virus is coming out of the cell.

To enter the cell, it connects to the receptors of angiotensin converting enzyme 2 (ACE 2). Before connecting to them, it is activated by host enzymes called serine proteases (TMPRSS2).
We studied tissue samples from 33 patients who died from COVID-19 in clinics.
Using the latest technology, samples taken from four different brain regions were analyzed.
All the tissues were tested for genetic material and spike protein of the SARS-CoV-2 virus.
As a result, the researchers found evidence of the virus in the neuroanatomic structures that connect the eyes, mouth, and nose to the brain stem. The coronavirus penetrates the olfactory mucosa. The maximum viral load was recorded both inside nerve cells and, in the processes, emanating from the nearest epithelial cells (Frank Heppner, 2020).
This path of penetration is also indicated by the anatomical proximity of mucosal cells, blood vessels and nerve cells in this area.
Once inside the olfactory mucosa, the virus uses neuroanatomic connections, such as the olfactory nerve. The virus moves from nerve cell to nerve cell to reach the brain (Helena Radbruch, 2020). The virus is also carried through blood vessels, as it has also been found in the walls of blood vessels in the brain.
SARS-CoV-2 is not the only virus that can enter the brain in this way. This can be done by the herpes simplex virus and the rabies virus.
The presence of SARS-CoV-2 in the nerve cells of the olfactory mucosa explains well the neurological symptoms found in patients with COVID-19, such as loss of smell or taste (R. Heppner, 2020).
SARS-CoV-2 was detected in areas of the brain that control vital functions such as breathing. It is possible that in patients with severe COVID-19, the presence of the virus in these brain areas exacerbates breathing problems caused by lung infection. Similar problems may occur with regard to cardiovascular function.
All patients in this study had severe COVID-19.
Stages of the coronavirus pandemic
Viral pandemics usually take place in three stages, and then fade away. So, for example, it was with the infamous "Spaniard" at the beginning of the last century. Usually, the second wave is stronger than the first, and the third, on the contrary, is weaker. This is due to the formation of population immunity in the population.
The coronavirus starts with adults who infect children, not the other way around. The virus multiplies in the body only if it has managed to enter the cells. The main "entrance gate" is the ACE2 receptor, the scale of which in cells increases with age, that is, in children it is minimal, and in adults it is maximum, especially in the elderly. In THE structure of covid-19 cases, children make up no more than 10%.
Two of the most subtle symptoms of the coronavirus that can be harbingers of the disease. This is a headache and severe fatigue that patients experience shortly before the disease.
Most often, they were experienced by older people.
Also, infection is indicated by fever, dry cough, unpleasant sensations in the lungs and loss of smell.
Infection with the coronavirus can trigger diseases such as autoimmune thrombocytopenia, lupus erythematosus, vasculitis, multiple sclerosis and Guillain - Barre syndrome.
Doctors usually call lung damage "frosted" glass or consolidation.
This occurs due to the fact that the vessels and alveoli break the barrier and the alveoli of the lungs are filled with fluid from the vessels.
Not all the alveoli in the "frosted glass" zone are completely filled with liquid, but gas exchange is difficult, so it becomes difficult to breathe.
Shortness of breath – occurs when the patient can not finish a sentence (22 breaths or more per minute), the lips and face have a bluish tinge, there is confusion of consciousness.
The possibility of coronavirus entering a human cell.
Comparison with SARS-CoV strains of atypical pneumonia and suspected zoonotic strains showed that SARS-CoV-2 acquired an insertion sequence at the S1/S2 site.
Of more than 20 thousand human proteins, the RRARSVAS peptide is present in only one - ENaC-ɑ. Its low activity on the surface of the respiratory tract leads to impaired fluid reabsorption. This pathology has been observed in COVID-19 patients with acute respiratory distress syndrome. The virus has specifically evolved to mimic the human protease substrate. The probability of such a mutation is negligible (K. Krutovsky, 2020), although it is possible. He allowed several other options: the coronavirus had an intermediate host, it has long existed in the human population, or that it was grown in the laboratory on human cells. He also did not rule out the possibility of artificial origin of the insert.
Cholesterol acts as a "covid taxi", helping it get into healthy cells.
The coronavirus can attach itself to cholesterol particles, which helps it infect healthy cells as quickly as possible.
Scientists have studied the role of "good" cholesterol on the spread of the virus. The SR-B1 receptor present in all cells of the body was analyzed. It turned out that the pathogen cannot connect to the receptor directly, so cholesterol comes to the rescue, which, in turn, moves to the receptor to which it is sensitive.
The cholesterol molecule is transferred to its receptor to transfer the cornavirus to the cell surface.
In the future, a system for blocking the cholesterol receptor can be developed. This will help in the treatment of coronavirus. Especially for people with diabetes, obesity and cardiovascular diseases.
It is with their help that the interaction of the s-protein of the virus with the SRB1 receptors responsible for cholesterol and lipoproteins leads to infection.
For the same reason, many medications for viral hepatitis C, such as Ribavirin, act on coronavirus (author's note). His virus also uses the SRB1 receptor as the main distribution channel. Drugs that block the ACE2 receptor make it easier to carry a coronavirus infection.
By acting on this feature of the virus, drugs can be created to suppress and treat coronavirus infection.
This system was developed by the author. It is called – Competent treatment of atherosclerosis (the book has not yet been published).
The discovery of the virus
The virus was discovered in 1960 and got its name from the villi on its shell, tending in different directions and resembling a crown.
Coronaviruses are known to cause a range of diseases, from the common cold to severe acute respiratory syndrome (TORS or "SARS").

Moment of attachment of the coronavirus to the cell receptor: coupling of the S-protein of the "crown" of the virus and the receptor.
After the virus attaches, the host cell cuts off the spike protein in one of its special "cleavage sites", exposing fusion peptides-small chains of amino acids that help open the host cell's membrane so that the virus's membrane can fuse with it. Once the invader's genetic material gets inside the cell, the virus commands the host's molecular machinery to produce new viral particles. These offspring then leave the cell to go and infect others.
SARS-CoV-2 is uniquely equipped to enter cells. Both SARS-CoV and SARS-CoV-2 bind to ACE2, but the SARS-CoV-2 receptor-binding domain is particularly tight. This is 10-20 times more likely to bind ACE2 than SARS-CoV.
Even more disturbing is the fact that SARS-COV-2 uses the furin enzyme from the host to break down the viral spike protein. This is a concern because furin is found in abundance in the respiratory tract and is found throughout the body. It is used by other dangerous viruses, including HIV, flu, Dengue fever and Ebola (the author described Ebola treatment back in 2016) to enter cells. In contrast, the cleavage molecules used by SARS-CoV are much less common and not as effective.
Furin's involvement may explain why SARS-CoV-2 penetrates so well from cell to cell, from person to person, and possibly from animal to human (Robert Garry, 2020). It gives SARS-CoV-2 100-1000 times more chances than SARS-CoV to penetrate deep into the lungs through recombination. This particular installation has never been found in any other coronavirus in any species.
At the basic level, viruses spread by entering a cell, capturing some of the cell's hardware, and using it to create more copies of the virus. These new viruses then infect other cells. One step in this process involves the cell making new viral proteins from viral RNA. This is called translation.
Several viral proteins interacted with the proteins of the person involved in the translation, and several drugs interact with these proteins. After testing them, two compounds were found that disrupt the translation of the virus.
These two compounds are called Ternatin-4 and Zotatiphine. Both are currently used to treat multiple myeloma and appear to fight COVID-19 by binding and inhibiting proteins in the cell that are necessary for translation.
Respiratory coronaviruses (for a detailed description)
They belong to the family Coronaviridae with two genera, Coronavirus (which also includes pathogens of gastroenteritis in children and Torovirus, viruses of a rounded shape with a diameter of 50 – 220 nm. Virions have a supercapsid, above which protrude spikes 12 – 24 nm long, they consist of a thin neck and a massive head of spherical or pear-shaped
shape and resemble the figure of the solar corona, in connection with which the family is called coronaviruses. The core of the virion contains a nucleocapsid.
Of all RNA viruses, coronaviruses have the largest genome in the form of a single-stranded non-fragmented positive RNA from 27 000 – 32 000.
The virion contains 3 groups of proteins:
1.a nucleocapsid protein bound to RNA
2.matrix protein
3.endowing the virus with the ability to adsorb on the cell's receptors and penetrate it with glycosylated supercapsid proteins.
The natural hosts of coronaviruses are humans, domestic and wild animals, in which they cause widespread diseases.
It was found that the coronavirus has a 3C-like protease, which is the main enzyme in the infection.
COVID-19 has a weak point and can be used to stop the virus from replicating. A study of the disease found a 3C-like protease, which is also known as 3CLpro.
It is the main enzyme in the development of SARS-CoV-2, so if it is disrupted, the activity of the virus can be stopped.
To confirm their guesses, experts conducted experiments on laboratory mice. It turned out that the found protease inhibitors successfully stopped the replication of the infection.
Moreover, a set of medicines can stop not only the coronavirus, but also MERS-CoV. At the moment, the drugs have already received a license and patent and may soon be able to become available to patients.
Note that earlier attempts have already been made to find effective drugs against COVID-19. For example, in July, American scientists using the antiviral drug GC-376 and Boceprevir were able to suppress the viral protease Mpro, which is key in the reproduction of coronavirus.
A new method of treatment for COVID-19 was found in the Russian Federation. Russia has developed an led installation for the safe treatment of serious diseases, including COVID-19. The method is based on light irradiation of large body surfaces in the red range of the spectrum (author's note).
Respiratory coronaviruses are divided into 3 serogroups.
Infection from a sick person occurs by airborne droplets; the incidence is sporadic. Epidemic outbreaks of coronavirus infections in the form of fever, runny nose, bronchitis and pneumonia are observed mainly in the cold season. Before SARS, these outbreaks were most often caused by the HCV-209E coronavirus.
The incubation period is 4 – 6, less often 7 – 10 days. Sometimes up to 37 days!!!
SARS clinic.
The disease begins with an increase in temperature to 38 °C or higher, chills, dry cough, weakness, shortness of breath, and then quickly develops severe pneumonia, which causes respiratory disorders due to edema and inflammation of the alveoli.
Laboratory diagnostics of coronavirus infections, including SARS, is carried out:
1.by isolating virus cultures and identifying them
2.either by detecting virus-specific antibodies and increasing their titer in paired sera using various serological reactions or using DNA and RNA probes, PCR. However, all the proposed test systems for SARS diagnostics require additional study of their specificity. Their accuracy is up to 70 %.
Signs of coronavirus infection in the blood:
1.decrease in the level of white blood cells (leukopenia);
2.increased levels of neutrophils (neutrophilosis);
3.decrease in the level of lymphocytes (lymphocytopenia);
4.reduced platelet levels (thrombocytopenia).
Signs of coronavirus infection in the boichimical analisis of blood:
1.increased levels of liver enzymes ALT, AST or ALAT, ASAT (full name alanine-aminotransferase and aspartate-aminotransferase or transaminase);
2.increased C-reactive protein (abbreviated CRP) - increases with any inflammatory processes in the body;
3.an increase in the level of ferritin in the blood (hyperferritinemia) indicates a severe course in Covid-19. This is a marker of viruses and bacteria entering the body. The level of ferritin is also increased in hemochromatosis and excessive iron accumulation syndrome, sepsis, antiphospholipid syndrome (abbreviated as AFS);
4.increased levels of troponin in the blood are found in patients with ARI (acute respiratory diseases). Troponin indicates damage to the myocardium (heart muscle) and in coronavirus infection, if there is no suspicion of myocardial damage, the level of troponins is not determined;
5.the level of D-dimers (fibrin breakdown products) is increased. D-dimers in high concentrations appear in the blood after the destruction of a blood clot and a high level of D-dimers indicates the presence of blood clots. In patients with severe Covid-19 (severe pneumonia, acute respiratory distress syndrome (ARDS), and other complications of CVI), the level of D-dimers is abnormally elevated.
6.According to the General and biochemical analysis of blood + the level of D-dimers, the diagnosis of Covid-19 is not made.
7.It is recommended to look at the soluble fibrin monomer complex (rfmc)-this is the most sensitive test. This is what is included in the concept of "coagulogram". But, unfortunately, this test was not used everywhere during the epidemic. Everyone has looked at the D-dimer, but it works in very severe conditions, and rfmc is much more sensitive than the D-dimer. The D-dimer may be normal, and the rfmc may be elevated.
The diagnosis is made by a PCR smear from the nose, (if the material is found in the RNA of the coronavirus) + test for antibodies to Covid-19. Sometimes based on a typical picture of viral pneumonia in a chest CT scan. Changes in the lungs in viral pneumonia are poorly visible on a regular x-ray.
Blood tests are included in the mandatory list of examinations for suspected coronavirus infection and for a confirmed diagnosis of Covid-19. A General blood test for viral and bacterial infections looks different. What is called «viral blood» or «viral analysis» in everyday life looks exactly as described above.
8. low levels of glutathione
Glutathione prevents oxidative stress and inflammation, and helps boost the immune function of other cells in the body. Its low level makes the course of COVID-19 infection more difficult - it is associated with increased oxidative stress and exacerbation of inflammation in the lungs, which can lead to respiratory distress syndrome and possible death.
Foods’s rich in sulfur (various types of onions, garlic, cruciferous vegetables) help increase the production of glutathione in the body, in addition to them – asparagus, potatoes, peppers, carrots, avocado, zucchini, spinach, dairy products. Regular physical activity also increases its level and reduces oxidative stress.
Piperine (black hot pepper) - copes with covid-19.
9.With 14 days of quarantine-swab sampling is taken for 10 days. Tests should be done within 48 hours. A coronavirus test is not done if there are no symptoms of the disease.
The author proposes to look at the dynamics:
1.Biochemical analysis - CRP, rheumatoid factor, ferritin, serum iron, zinc, thymol test, AST, ALT, creatinine phosphokinase, D-dimer in venous blood – increased ferritin, decreased zinc, increased inflammation.
2.immunograms of 2 levels of complexity and their analysis (reduction of Ig A and secretory IgA)
3.Protein fractions (decrease in total protein, hypoalbuminemia, rarely – hypoglobulinemia)
4.clinical analysis (blood from the finger) – leukopenia, lymphocytopenia, thrombocytopenia, acceleration of ESR.
Attention! In any case, PCR of smears from the anus in the case of children may be more informative for searching for infection than PCR of nasopharyngeal flushes (author's note).
5.in dynamics (at the initial treatment of the patient and after 2 weeks), blood Immunological fermentative analisis (IFA) is performed for the presence of antibodies to coronavirus. The minimum increase in the antibody titer to confirm the diagnosis is twofold. The most informative IFA becomes 10 or more days after the first clinical manifestations.
To make laboratory diagnostics more accurate, you need to:
It is necessary to do a microbiological analysis-seeding of urine, sputum, blood, the contents of the nasal and pharyngeal mucosa (author's note).
Moreover, for the correct laboratory result – you need to do smears for tests from all areas (author's note).
Before passing the coronavirus test, it is better for patients not to blow their nose, do not wash their nose and throat. At the same time, there are also rules for the laboratory: doctors must choose the right time for taking tests and follow the procedure. Before the pharyngeal smear, the patient should not eat or rinse his mouth with an antiseptic solution.
For three hours, a person should not drink, smoke, or brush their teeth.
Viral RNA is a fragile substance that quickly breaks down under the action of a number of enzymes.
The author observed the movement of Staphylococcus aureus in children, when they did only a smear from the throat, then the bacteria moved to the nose, so it was concluded that the same overlap of viruses can be in this case, so you need to do smears from different places to detect the coronavirus (author's note).
Moreover, for the correct laboratory result – you need to do smears for tests from all areas (author's note).
6.for the purpose of differential diagnosis, a bacteriological examination of feces and a coprogram are used.
7.roentgenography of organs of a thorax in 2 projections,
8.multispiral computed tomography of the lungs is used less often (to exclude similar pathologies).
9.markers – interleukin-6 (Christoph Messner, 2020).
10.Lactate is a product of cellular metabolism, a derivative of lactic acid. It can be found in cells in the form of lactic acid itself, or in the form of its salts. It begins to form in the body when the oxygen level in the cell drops.
11.glycosylated Hb
12.porphyrin of blood and urine
The radiological picture is usually characterized by a unilateral interstitial lesion in the form of pneumonitis, or bilateral focal drain pneumonia.
Differential diagnosis is performed with other acute respiratory infections, influenza, Ku fever, pneumocystosis, tuberculosis, legionellosis, ornithosis, mycoplasmosis, bacterial rhinopharyngitis, bronchitis, pneumonitis and pneumonia.
It is necessary to differentiate this pathology with viral diarrhea, salmonellosis, food toxicoinfections, dysentery, enterovirus infection.
13.pulse oximetry – oxygen saturation – low saturation – gives shortness of breath.
Opinion of a foreign colleague-after treating hundreds of patients in the United States (Dr. Hany Mahfouz, 2020):
COVID-19 does not cause severe viral pneumonia or ARDS, as originally thought. All lung mechanics are intact, and lung compliance in the ventilator looks normal. COVID-19 is a very unpleasant virus that causes a unique effect because it affects the hemoglobin molecules in the blood, and therefore develops severe hypoxemia and multiple organ failure due to a serious decrease in HB throughput caused by binding and inhibition of the hemoglobin molecule. Here's how the Hydroxychloroquine and Flavipilis, by inhibiting binding of the virus coat protein with the molecule of the porphyrin ring. Ventilation protocols and ARDS can cause lung damage caused by a ventilator, rather than treat it. Infiltrate in radiography and computed tomography is caused by oxidative stress from the accumulation of heme secreted by the virus in the alveoli, which causes chemical pneumonitis, not viral pneumonia. The virus depends on porphyrin, so it is more severe in men and grows faster with glycosylated Hb, and so it is bad in diabetics and elderly patients. The higher the Hb F and A2, the better, since there are no beta globin chains that can be linked. This is good for children. Hyperbaric oxygen and blood transfusions may temporarily help. The virus causes a condition similar to growth, methemoglobinemia, and carbon monoxide poisoning.
My Opinion of an Expert Clinical Pharmacist is that it is pneumonitis
Pneumonitis is an inflammation of the alveolar walls and interstitial lung tissue, in this case of infectious origin, which leads to scarring of the alveoli and fibrous changes in the supporting structures of the lungs.
The difference between pneumonitis and pneumonia is clearly visible on x-rays.
With pneumonitis, the pulmonary pattern is enhanced, darkening is observed in the lower part of the lungs, with pneumonia - darkening foci have uneven contours in various parts of the lungs.
Pneumonia is still an incorrect term, patients with COVID-19 develop virus-induced interstitiopathy (pneumonitis).
With pneumonitis, the pulmonary pattern is enhanced, darkening is observed in the lower part of the lungs, with pneumonia-darkening foci have uneven contours in various parts of the lungs.
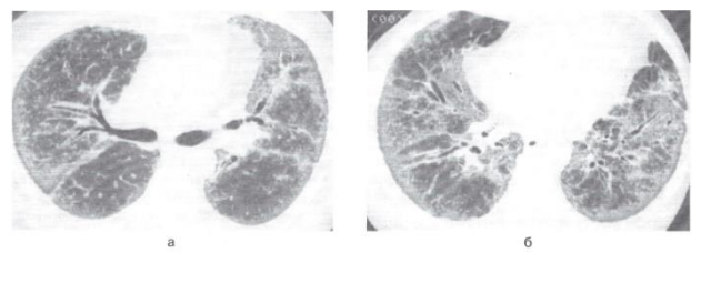
Those changes that are detected in the lungs with covid are not true pneumonia. On a CT scan, the doctor sees a "frosted glass" - a decrease in the transparency of the lung tissue with a visible pattern of blood vessels and bronchi. This is due to a decrease in the airiness of the alveoli and thickening of the walls.
Two x-rays of the woman's chest.
The images show white spots in the lower corner of her lungs, which indicate what radiologists call «opaque frosted glass».


X-ray of the patient's chest. The difference between the images is 3 days.
Features in children - complications of pneumonia and pneumonitis in young patients appear immediately after the disease.
A child who is considered recovered may not feel well.
The following pathologies are more common.
Syndrome of Waterhouse-Friderichsen. Severe headaches occur, blood pressure drops quickly, and body temperature rises. Possible coma.
The neurotoxicity. The child becomes overly active, may have tantrums, or, conversely, it becomes excessively sluggish, shows indifference to everything. Your body temperature may rise significantly.
Pulmonary insufficiency. There is shortness of breath, breathing problems, darkening of the nasolabial triangle.
Sepsis. Your body temperature rises, your blood pressure drops, and you have problems with your heart rate. Loss of consciousness may occur.
Distinctive features of coughing when a person is sick with COVID-19
Regardless of the intensity of the cough in COVID-19 is always dry, not accompanied by sputum. If such a symptom appears, you should be examined (Nate Favini, 2020).
Dry cough is possible with allergies, asthma and gastroesophageal reflux. In asthma, the hallmark can be wheezing, which is almost not found in patients with COVID-19. And with allergies, coughing, like other symptoms such as itching and swelling, should go away after taking antihistamines (Sarah Narayan, 2020).
Percentage of lung damage in covid and what % is dangerous
Assessment of the severity of lung damage
The severity of the disease depends on the percentage of lung tissue damage. To calculate the percentage of damage, the doctor takes into account how many lung lobes are involved in the pathological process (there are 5 of them). It is estimated in points (from 1 to 5) the percentage of damage to each lobe, where:
1 point – less than 5
It is necessary to take into account the opinion of independent experts when developing new treatment methods.
3 Everyone who has been sitting in state seats in Russia for 20-30 years can't do anything good. Only vaccination. Vaccine manufacturers and Resellers (the Bill gates and Rastropovich funds) have a lot in their pockets, but they and their children and grandchildren are not users of vaccines.
4 And the first BCG vaccination – kills the entire immune system of the child, causing phagocytosis deficiency, when the body can not fight tuberculosis bacteria (Koch's Bacillus) and any viruses. Everyone is shouting that disinfection and hypochlorite are needed, but the human body has hypochlorite in macrophages, but it is killed, so the natural one does not work.
Patients with coronavirus have a common complication
Many Russians who have had the coronavirus after the complete disappearance of the clinical symptoms of COVID-19 complain of the appearance of chills, regardless of the weather. Patients often mistake this complication for a recurring illness and start taking medication again.
However, since tests for COVID-19 show the absence of coronavirus in the body of these patients, we are talking about violations in the Central nervous system, because of which the thermoregulation center suffers. In addition, it can be iatropathy (complication on medication (author's note).
COVID-19 can affect not only the epithelial cells of the respiratory system, gastrointestinal tract, but also the cells of the Central nervous system tissue.
The study of protein L-FABP
The study involved 41 people. In the urine of 13 patients, an increased content of L-FABP was recorded, while eight of them had a very bad condition during the week, and two needed to be connected to artificial lung ventilation.
The link between the L-FABP protein and the symptoms of people who have contracted COVID-19. This protein occurs in a person's urine when the body's oxygen level decreases. This means that you need Mexidol (Mexiprim). This is better than a ventilator (author's note). The diagnostic standards should include this study (author's note).
Weak point of the pathogen
Experts called a kind of "pocket" on the surface of the particle, which can be administered antiviral drugs. This can stop the activity of the microorganism before it gets into other human cells.
SARS-CoV-2 uses a small molecule, linoleic acid, to bind and spread. If it is destroyed, the virus will stop spreading. Scientists believe that this mechanism can be used to create low-molecular-weight antiviral drugs against SARS-CoV-2.
The aggressiveness of the virus will decrease, including due to its sensitivity to UV rays.
People who had SARS during the 2003 outbreak may be immune to the COVID-19 coronavirus.
Experts have found that infection with the SARS-CoV virus, which causes acute respiratory syndrome, stimulates the production of antibodies that target the" spike " protein (S-protein) responsible for joining the coronavirus with receptors on the cell surface.
One of the varieties of such antibodies - S309 - can effectively neutralize the SARS-CoV-2 S-protein sites. Thus, people who have had acute respiratory syndrome may be immune to the new coronavirus.
Cocktails of such antibodies can be used in the treatment of severe forms of COVID-19 and for the prevention of the disease in people at high risk of infection.
COVID-19 coronavirus pandemic has spread almost all over the world. According to the latest data, there are more than 4.6 million infected people, 312 thousand of them have died.
Coronavirus RNA was detected in samples from the respiratory tract of patients 20 days after the first symptoms appeared.
The minimum period during which it was possible to detect RNA of the virus in smears from the respiratory tract was 8 days, and the maximum period was 37 days. This means that even a patient who has already recovered can still spread the infection.
The findings suggest that the two-week isolation period that is currently being set around the world for people with SARS may not be sufficient to protect others. It is also important that a person who has already been ill may remain infected with the virus for some time.
Scientists have found the smallest protein compound that neutralizes the SARS-CoV-2 virus.
Experts in the United States conducted a rapid analysis of one hundred billion potential molecules that can bind to the coronavirus S-protein involved in infection with the pathogen. As a result, the scientists found a protein compound ten times smaller than a full-size antibody, which, merging with part of the immunoglobulin, forms the Ab8 drug and acquires the functions of a full-size antibody.
Further experiments showed that even the lowest doses of Ab8 significantly reduced the number of viral particles in laboratory animals infected with coronavirus. Scientists note that the small size of the molecule increases its ability to diffuse in tissues, helps to better neutralize the virus, and also allows the drug to be administered by inhalation.
In September, the Ministry of health named six drugs that can be used to treat coronavirus: Favipiravir, Hydroxychloroquine, Azithromycin (in combination with Hydroxychloroquine), Interferon-alpha drugs, as well as Remdesivir and Umifenovir (Arbidol).
Favipiravir is a Japanese anti - flu medication. In July, Japanese experts could not confirm the effectiveness of the drug in the treatment of COVID-19. The Russian equivalent of Favipiravir Aviewer became the country's first drug authorized for the treatment of coronavirus.
People with allergies are less likely to get a coronavirus infection than others.
This is due to the fact that they have an increased reactin background, that is, a lot of so-called immunoglobulin E (IgE).
A number of COVID-19 symptoms may coincide with seasonal Allergy symptoms.
We analyzed the effect of the antiviral drug 4482/EIDD-2801 or Molnupiravir on SARS-CoV-2, which is effective against influenza viruses and has a broad spectrum of action against RNA-containing viruses.
As a result of laboratory research on animals, it turned out that the drug showed a good result at an early stage of the disease. The drug does not allow COVID-19 to progress to a severe form, reduces the duration of infection in the body and can block the transmission of the virus during the first day.
Scientists note that if the effectiveness of the drug is confirmed in clinical trials, patients with COVID-19 will stop transmitting SARS-CoV-2 to others within 24 hours after starting treatment.
Named a category of people who are less susceptible to viral and cancer diseases, including coronavirus.
Nutritional supplements protect the mucous membranes of the respiratory tract from exposure to coronavirus.
These are Omega-3 fatty acids with a daily intake of 300-500 mg per day. You also need vitamin B3 (Nicotinic acid or Vitamin PP) - it does not allow the appearance of frosted glass in the lungs. Fat - soluble vitamins A and D3 help protect the mucosa. The same vitamins are needed for those who have had covid to restore lung tissue. But this is all during the period of rehabilitation after illness (author's note).
Patients with coronavirus have symptoms associated with damage to the neuromuscular tissue. For its protection (recovery), it is recommended to take the amino acids L-carnitine and L-arginine.
Alkaline water during the coronavirus period
Alkaline water is used to treat hyperacidity, coronavirus, rheumatism, arthritis, osteoporosis, and allergies
With the exception of rare cases of alkalosis, it has no contraindications.
If you are taking medications, wash them down with plain water so that their effectiveness does not decrease if the alkaline water is absorbed too quickly.
If your doctor finds you have symptoms of alkalosis, you will have to stop drinking alkaline water. However, this dysfunction is extremely rare.
Some recommend switching to alkaline water gradually. And alternate it with the usual one. It is also important that the PH does not exceed 10.
If you drink strongly alkaline water with a pH of more than 10, then side effects and harm to the body are possible. As with everything, moderation is important. But you will find it difficult to find such water.
To be fully absorbed by the body, water must have an optimal pH value between 8.5 and 9.5.
You can buy alkaline water:
Mineral water in bottles.
Cook at home yourself.
Use an ionizer.
Go to a resort and drink water from wells.
Mineral water
Keep a list of alkaline mineral waters. Known to all:
Essentuki No. 4 and No. 17
Narzan
Borjomi
The break is water from Serbia of volcanic origin. Helps to remove excess fluid. You can drink instead of the usual one.
Bilinska kiselka accelerates metabolism and helps to lose weight.
Rudolfov PRAMEN is rich in easily digestible iron, normalizes blood pressure and hemoglobin levels.
Sigecica Bitter - record holder in the magnesium content.
Vincenta is rich in iodine, helps with fever and viruses.
How to make alkaline water at home
Limon
Take a pitcher and fill it with a liter of water.
Cut the lemon, squeeze half the lemon into a jug, then thinly slice the other half and add it to the water.
Add a tablespoon of heaped sea salt or Himalayan pink. Mix well and leave overnight (at least 8-9 hours). Enjoy! You can do without salt, just lemon.
Boiling
Regular boiling for five minutes also increases the pH of the water, but can produce heavy water (due to deuterium).
PH drops
PH drops are liquids with a high concentration of minerals and electrolytes. You only need to add a couple of drops to a glass of water to increase its pH.
Drops are usually sold in small convenient bottles, so you can carry them everywhere with you. A single bottle can improve the pH of hundreds of glasses of water.
List of main errors in therapy for patients with severe forms of coronavirus infection.
Among them: excessive use of antibiotics, which increases the risk of developing superinfections, the development of Kawasaki syndrome, dysbiosis, allergic reactions to antibiotics, unnoticed dynamic overblowing of the lungs, not prescribed timely anti-cytokine therapy, lack of rates of Clinical Pharmacists who can help effectively, preventing side effects of pharmacotherapy (author's note).
Attention! In the Ivanovo region, one of the pregnant women infected with coronavirus infection died. She was 33 years old.
The patient's condition deteriorated sharply, and she had to resort to emergency delivery at 32 weeks. The child is now in a clinic in Ivanovo, doctors are fighting for his life.
The woman was hospitalized in a timely manner, and also sought advice from Federal centers. Despite timely medical attention, she died. According to the autopsy results, almost 90% of the lungs are affected, total damage, and signs of thromboembolism. The number of pregnant women infected with COVID-19 in the region is growing. When trying to make a purchase of the drug in the region, the Ministry of health did not even respond (author's note).
Russian medicine
Official sources from the Ministry of health confidently state that the development of a medicine for the coronavirus of domestic production will not take much time.
People can either hope for, - "if it gets through", or look for alternatives.
The author found such an alternative (author's note).
Pregnancy is one of the factors that increase the risk of death in COVID-19.
Expectant mothers are almost three times more likely to be transferred to intensive care units and on artificial ventilation. Gynecologists specify that women in the second and third trimesters of pregnancy are particularly at risk. They may not have enough oxygen and immunity, thrown to protect the fetus.
Women during pregnancy are more at risk of death from coronavirus or severe illness.
Of the 19,600 pregnant women examined, 33 died, which is 0.2 percent of the death rate. Among non-pregnant women, the mortality rate was 0.1%. Thus, the death rate from coronavirus among non-pregnant women was half as much.
Pregnant women catch the virus more often.
The disease is more severe and can lead to premature birth.
Most of all, pregnant women in the second and third trimesters, as well as women who have heart, lung, malignant diseases, and those who had problems during previous childbirth are susceptible to severe course of the disease.
Of course, any viral infections have serious consequences for both the fetus and the expectant mother. In the case of the coronavirus, which is an unknown aggressor for the body, the entire immune system is aimed at not creating any kind of contraceptive response. That is, so that the body does not reject the child to save the mother.
A woman's immunity is directed not to her protection, but to the child, thereby worsening the course of the disease and leading to serious consequences. Moreover, SARS-CoV-2 affects the lungs and cardiovascular system, which are already under stress during pregnancy.
Closer to birth, the uterus increases many times and all internal organs adjust to the transformation. The lungs lose a certain volume, which in coronavirus infection creates shortness of breath, which significantly affects respiratory function - less oxygen enters the blood.
A negative impact on the fetus is also found if complications develop, in particular, pneumonia - secondary bacterial flora joins the main infection.
Therapy against COVID-19 can also have negative consequences, since pregnant women are strictly contraindicated in treatment with antimalarial drugs, as well as a number of antiviral medications.
Favipiravir is contraindicated for pregnant women and the need to follow the rules of contraception during and some time after the end of treatment, both women and men. This is due to the fact that the drug can negatively affect the formation of the fetus.
It is necessary to treat expectant mothers at random, to be in touch 24/7, because the reaction of the body, which undergoes a large load due to hormonal adjustment, may be inadequate. Gynecologists first of all have a task - to save the child in any situation.
If the coronavirus entered the body in the early stages, caused a severe form, and there is no effect from therapy, then, according to the spring recommendations of the Ministry of health, a woman may be offered an abortion. But since the effect of the disease on the developing fetus has not yet been studied, doctors in most cases offer to save the baby.
Tips at this time for expectant mothers - as much as possible to protect themselves from contact with any viruses. You need to wear a mask, maintain a social distance, and stay away from people who may be infected. Be sure to walk and take vitamins (preferably natural).
Earlier, the Ministry of health warned that pregnant women with a coronavirus infection may suddenly develop a critical condition against the background of a stable course of the disease.
Initially, they presented it as a drug to treat the flu, but it turned out to be ineffective. Tested for coronavirus, but refused to use it, because this drug, as it turned out, has pronounced embryotoxic and teratogenic properties – it can cause damage to the fetus and lead to developmental abnormalities
You can use Perftoran in the intensive care unit, 2 infusions are enough to return a person from the intensive care unit to the ward (the drug draws oxygen). But when testing a new treatment in my region, this drug was not found (author's note).
At the end of September, pregnant Muscovites were added to the list of categories of citizens who are ordered to stay at home when the incidence of coronavirus increases.
The combination of colds and COVID-19 is very dangerous for them and can also have serious consequences.
New drug compound found that blocks increased regulation of CD14 protein
The medicinal compound will help in the fight against many diseases, including the fight against coronavirus infection.
Increased levels of CD14 protein contribute to the appearance of inflammatory processes in the human body. If the inflammation is too strong, then acute chronic diseases appear.
The protein is formed in individual immune cells called macrophages. As a rule, the number of CD14 in macrofagah is increased by means of inflammatory processes. If this factor is ignored, it will lead to bad consequences.
Scientists are confident that the discovery they made will help create the basis for the emergence of new ways to treat diseases. Experts plan to continue studying the drug compound. They will soon begin conducting clinical trials.
Received a patent for a domestic product - Latrygin, which helps to prevent or mitigate the complications of coronavirus.
The Tyr-D-Ala-Gly-Phe-Leu-Arg Hexapeptide is a completely domestic development. Its uniqueness lies in the fact that it does not repeat foreign experience in any way. This is the first and only Delta-opioid receptor agonist in the world so far that has entered practical medicine. As specified, the source of the drug is called "Dalargin", previously it was used to treat stomach ulcers, acute pancreatitis and pancreonecrosis. It plays a role in the processes of tissue healing and regeneration, and also participates in the organization of the immune response. This substance was used to create a new drug form against COVID-19.
This form of the drug will help mitigate the so-called "Cytokine storm" that has been observed in many patients with coronavirus. The phenomenon is a massive release of Pro-inflammatory substances, which leads to the development of severe respiratory and General systemic disorders in people with COVID-19.
Antibodies to coronavirus
Patients come for a blood test for antibodies a few months after the disease caused by a new virus, and in some cases, IgG is no longer detected after 4 months. This suggests that the coronavirus is similar to seasonal flu viruses and will strain us in terms of morbidity - 4 varieties of the virus until 2025 (author's note).
Important!!! Antibodies appear and disappear in waves. You should not focus only on antibodies. After all, the person is protected not only by antibodies. Memory cells still. For life.
Some scientists claim that the antibodies last 2-3 months, others – more than four months. However, according to doctors, protective antibodies don't come out of nowhere. Antibodies are synthesized by B-lymphocytes – "memory cells" that receive information about the new virus from the primary links of the immune system (macrophages, NK cells, T-lymphocytes, etc.). memory cells produce antibodies, and antibodies bind the desired pathogen and remove it from the body. After "cleaning" the body, the level of antibodies decreases, but the pool of memory cells remains. When you meet this microorganism again, memory cells begin to quickly and in large quantities produce antibodies to it.
A positive test result for antibodies to SARS-CoV-2 indicates that the immune system "recognized" this pathogen, respectively – the body has immunoglobulins to this virus and B-lymphocytes – memory cells that synthesized them. With a high probability, memory cells will remain in the future, even if the level of antibodies in the dynamics decreases to undetectable by modern laboratory methods. If you encounter SARS-CoV-2 again, the immune system will respond to it quickly and in a specialized way, preventing a repeat of the disease. Such children and adults do not need to be vaccinated (author's note).
Today, it is known that antibodies to coronavirus are synthesized in more than 80% of patients who have had COVID-19 of varying severity. In asymptomatic patients, they are also produced, but less intensively than in patients with clinical symptoms. The level of antibodies varies depending on the examined population, the severity of the infection, the age of patients, and laboratory methods of research. In 20-30% of children and adults, antibodies are not formed, so they can not be vaccinated!!! If you are sick with coronavirus, only treat with Etiotropic therapy (author's note).
The largest share of people from Russia with antibodies to coronavirus was recorded in Tatarstan, St. Petersburg, and the Tula region.
One of the youngest patients to have contracted a new coronavirus infection in Scotland is on the mend. The girl arrived prematurely and became ill when she was just three weeks old.
Her mother developed preeclampsia, a dangerous pregnancy complication associated with high blood pressure. They had a caesarean section. The girl weighed just over 1.5 kg and needed special care. She was placed in a special incubator for premature babies. Three weeks later, the parents were informed that the baby had tested positive for COVID-19. Although no signs of the disease were observed, except for one. I was just alerted by the strange sniffling of the child, which prompted me to check the tests. They reported the need for a two-week quarantine away from Peyton. Parents begged doctors not to separate the family for so long. And the staff kindly agreed to joint isolation in the hospital. Doctors were able to quickly cure the baby with the help of steroids, which strengthened the children's lungs. When two tests came back negative for infection, the girl was released from the hospital. Her dad picked her up for the first time and took her home.
Attention! Who stated that drugs such as Remdesivir, Hydroxychloroquine, Lopinavir/Litonavir and Interferon are ineffective, citing interim results of a clinical trial conducted in 30 countries?
The effectiveness of the plasma of patients who were ill, which should contain virus-neutralizing antibodies, was "far from expected".
Revelations of Russian patients
Sverdlovsk woman infected with COVID - how she tried to get a KT scan
Yekaterinburg resident Irina Annenkova felt bad: the girl's temperature rose. The next day, she tested positive for coronavirus, and two days later, she received a positive result. In her column, the Sverdlovsk woman told how she tried to get medical care, sign up for a CT scan and get a sick leave.
On October 11, my temperature rose, on the 12th I did a test, and on the 14th in the evening I found out that I had a coronavirus.
On the morning of the 15th, I call the clinic and say: "I have a coronavirus, I need medical help." No, it's not. I spent two hours trying to call the covid phone numbers listed on the 23rd hospital's website. Vainly. Once I got through to the registry, and they told me: "You call the Rospotrebnadzor, they will write you an order, let us know about you, and then we will come to you. We won't come without an order. We won't come anyway, there aren't enough doctors."
- So, there's no point in calling a doctor? I speak.
- No. If you feel unwell, call an ambulance. If the form is light, be patient (and recover on your own). The Rospotrebnadzor will also discharge you from the hospital.
They gave me the phone number of Ordzhonikidze Rospotrebnadzor, told me to call there, but I, of course, did not get through. Then I went to the site, called the boss, and asked the Secretary "what to do and where to send my analysis at least by email." Sent, exhaled.
Then I called the regional Rospotrebnadzor, because I have a regional registration, they sent the data "Hemotest", where I passed the analysis. The employee was adequate, told me how everything should be according to the instructions that I should go, take the phone numbers of all contacts for 2 weeks, write out an order to stay at home and sick leave. Thank you, kind girl.
Today is Monday. No one contacted me. No one took the contact phone numbers. Half of them have already received negative tests that they are not infected. I know for sure that there are at least two people walking around the city from work who had symptoms like me and who also have 100% coronavirus. One knows that he has a "crown", the second, most likely, does not.
I'm off sick for a week. A week without medical attention. Fortunately, my mother is a doctor, and the condition is monitored. And the pulse oximeter is even more expensive than in March, but not prohibitively. And you can buy it.
At the same time, I can safely walk around the city, my entire quarantine is strictly on my social responsibility, I did not sign any papers.
Sign up for a KT scan to understand the extent of the lesion? Try to call the reception, where you will be told - no directions with a light form. Either lie to the ambulance that you're dying of shortness of breath, or go to the toll booth, where the record is for the end of October, on a dark night at three o'clock. You'll probably be well by then, but it doesn't matter.
In summary, the number of real infected people can be safely multiplied by 5. If not by 10. My infection looked like a common cold, and I was sure I had normal laryngotracheitis until I got the test.
All that is written in the instructions - at the first signs of SARS, sit at home and call a doctor, if you have difficulty breathing, you will get a KT scan to assess the extent of the lesion - all this does not work, so take care of yourself. If you don't, you'll have to play Russian roulette with a system where no one cares about you, where you won't get even nominal medical care, if you don't die and suffocate, and no one cares that you can walk around and infect others.
And, believe me, those who will stay at home in such a situation, so as not to be dangerous to society, are only a few of them. Take care. All health and clean lungs.
Due to the high workload, only severe patients are referred for KT scans of the lungs.
One of the Syktyvkar women has been in the Komi Republican clinical hospital for almost two weeks with suspected coronavirus.
The girl has not been home since August 7.
She talked about how her treatment is going.
Syktyvkar resident Irina evgenieva already knew that she had been in contact with a person who had COVID-19 when she felt ill.
The sense of smell and taste disappeared, a slight temperature rose, and a cough began. She notified her doctor on July 28. The smear was taken only a week later. It turned out to be negative. That was the first time I thought I'd gotten away with it. But the attending doctor noticed when listening to the lungs that breathing was difficult, so she sent me for a KT scan, while saying that everything is fine, that all this is done for prevention.
However, Irina was told that a KT scan revealed left-sided viral pneumonia and the girl was forced to go to the hospital.
The girl was forcibly admitted to a hospital full of patients with a coronavirus infection. Today, people are not legally savvy at all. Obediently, she changed into the issued dressing gown and followed the hospital worker. Threats of responsibility always act on law-abiding citizens, so since August 7, the girl was in the KRB.
Irina was placed in a ward with patients who already have a confirmed coronavirus infection. The girl was admitted to the hospital on Friday, so the drugs were allegedly in short supply. The nurse explained that all the medications were gone, and since pharmacies are closed on Saturday, there will be no treatment until Monday. Imagine, pharmacies are closed on Saturday. That's how she was left locked up without any treatment for the weekend in a ward with people whose diagnosis had already been confirmed.
The girl said that, starting from Monday, she began to be given Ingavirin, do UVR of the throat and oral cavity and inhalation. According to the patient, the procedures took at most 15 minutes all together and took place once a day.
They also gave a solution of Chlorhexidine marked gargle up to six times a day. From the very beginning, I did not understand why I was in this institution, because my smear was negative, and I did not receive any treatment. I just lie in the hospital, sleep, eat, and breathe the same air as people with coronavirus. To my questions, my doctor replied that since the smear is negative, he does not want to prescribe strong therapy, so he only treats pneumonia. Let me remind you that the treatment consisted of antivirals, UFOs, gargling and inhalation.
A little later, the girl discovered that patients are in the Department of neurosurgery and their treatment is not infectious diseases, but neurosurgeons.
Irina's second smear for coronavirus, which was already done in the hospital, came back negative. The girl breathed a sigh of relief, but her doctor explained that for the discharge of such smears, two are needed and added to the treatment of Grippferon drops. And after another ten days in the hospital, on August 19, Irina tested positive for coronavirus.
In addition to the ward, there are 15 other wards on the floor with a capacity of three people. Toilet and shower for the entire Department, which are washed carelessly and not ventilated. There are no masks, they give one mask for the entire stay in the hospital. The clinical picture in all colors, and what do you think, what was the smear after 10 days of stay in the Department full of people who have positive smears? That's right. It came back positive. In response to my requests to explain how this could have happened, the doctor said that it was unlikely that she could have been infected in the hospital, that the virus could simply have been located just below the place where the swab was taken.
Almost two weeks Irina is in the hospital and only one day of them she is sick with coronavirus. The girl said that her "treatment" did not change even after that.
Sitting on a bed with holes in the bedclothes in a cold ward in just the robe that was given out when I was admitted, I realized what a mistake I made when I obediently changed my clothes and followed the messenger of hell himself, who led me to a place where I could not get out. I still do not understand why the doctors are so indifferent, do not have a sense of tact, telling you that you will have to stay here in a good way for another two weeks, and, most likely, that you are now in this place because of the doctors, because of their negligence and connivance. If you go around infecting others with the "crown", there is an administrative responsibility. Is there a responsibility to understand the whole situation and quietly observe how a healthy person turns into a sick person?
The girl hopes that her story will help people understand how important it is to prevent infection, how important it is to know your rights.
I really want to avoid making mistakes and avoid infection at all. I ask you to take all necessary measures for this, because if you get sick, you are more likely to face the same thing that Irina had to face. It is time to recognize the fact that our hospitals do not treat, but maim. We are all told that Russia, or rather, in this case, the Komi Republic, is fighting the coronavirus, that doctors use the most powerful and reliable drugs to cure patients. Irina had a "happy" chance to test the whole system for herself, and therefore she felt it necessary to convey this to people.
Patient revelations: a resident of Novosibirsk keeps a diary of the fight against coronavirus.
Almost everyone in Olga Lavrova's family fell ill - she, her son and his wife, as well as two small children. They had to not only fight to call doctors to their homes, but also hear in response the words that they are hysterical people. The Siberian woman talked about the symptoms that were observed in her family members, the reaction of doctors (and that it is not realistic to call doctors), and also shared useful tips that she learned from this situation. We publish a coronavirus diary from the life of a Novosibirsk family.
We have a large family, three working adults and two children - one year old, the other five years old. I am a grandmother, 54 years old. The disease began in my son with a rise in temperature in the evening 37.5 and aches in the joints. We decided to call a doctor in the morning. They could not get through, the daughter-in-law went to the 27th polyclinic, stood in line for an hour at the reception, and then still got through to the number 124 and issued a call to the house. My son's temperature began to rise, and paracetamol did not help. By one o'clock in the afternoon, the temperature jumped to 41.3, sharp chest pains, shortness of breath. The ambulance arrived, the cardiogram is normal, the temperature was brought down. A cough appeared. The doctor did not come that day.
On the second day, go to the reception again and repeat the call (calls are not transferred, you need to call again each time). The doctor came at about 18:00, told me to drink an antibiotic for 5 days, then go to the clinic. For some reason, I wrote out my sick leave from the day of arrival, and not from the day of the call. Later, my employee talked about the same oddity: she did not wait for the doctor at home, went to the clinic for an appointment, and there were several people in the queue. How can I not walk here? The employer needs a sick list, you can only get it from a doctor, a doctor in a polyclinic. All tips about home calls exist only on paper, in reality, no one comes.
On the third day, my son lost his sense of smell. The temperature does not decrease, the cough remains. A one-year-old granddaughter got sick: the temperature rises, we give antiviral drugs and reduce the temperature. By Monday, October 5, there are no improvements. I lost my sense of smell. It seems that you can't go to the clinic, because, most likely, we are all infected. But there is nothing to do - the daughter-in-law again goes to the clinic to issue a call. The call is accepted. No one comes. On October 6, everything repeats, also no one.
Wednesday, October 7. Making a call. The reception Desk says that they know about us and that a special covid team will come to us before 14:00. No one comes here. We can't get through to the reception. The daughter-in-law's temperature rose, and her sense of smell disappeared.
What to do? It is not clear. My son's medication has long since run out, his fever and cough continue, and he complains of severe weakness. Five-year-old grandson got sick, temperature 38.5. I try to call the Ministry of health - they immediately pick up the phone, give the phone number of the chief doctor's office.
In the reception area, they are attentive, ask which clinic we are applying to, and give us two phone numbers: the head of polyclinic No. 27 and the Department of quality control of medical services (wow, is there one?). The Manager's phone does not answer for a long time, and when dialing again, it immediately goes into short beeps mode (and so on until the end of the working day and the next day). No one answers the number of the quality control Department. I call the chief doctor's office again. They advise you to contact the registry's hotline. I call there, no one picks up the phone. I spend two hours on these calls.
I call the chief doctor's office again. They try to help and give the phone number of the head nurse. On it (miracle!) dial. She assures us that they know about us, and that she will personally take our data to the covid team, which is about to arrive, wait. No one comes here.
Thursday, October 8. We understand that no one will come and it is useless to call. We are trying to make an appointment for paid tests, CT scans, and an appointment with a paid doctor. The entry is only for next week. The daughter-in-law with children goes to her parents in another district to call a doctor and get at least some prescriptions for medicines (polyclinic No. 29). Everything works out there, they prescribe treatment. Well, at least something. Suddenly, a doctor comes to us - in full "zamot", with ready-made printed prescriptions, so as not to write medications, but only to delete unnecessary ones. My son has pneumonia, and he advises me to just drink more fluids, since there is no fever. We're not supposed to get covid tests. The children were brought home. Treat.
Friday, October 9. In the morning I feel weak and slightly suffocated, I write it off as intoxication: the whole family can barely walk, constantly feels sick. I try to go outside: maybe the air will make it easier. Abruptly becomes ill, numb hands and feet, vision does not focus, severe nausea, I slide down. I have time to call my son to help him get home and call an ambulance. Chills, a state of severe poisoning, speech has become slurred and severe lethargy. An ambulance arrives, and after the examination they are taken to the first city hospital. I spend almost all day there, reclining in the reception corridor. I'm being examined first. I understand everything, but my body feels like it's not mine, and I'm completely apathetic, I don't feel pain from needles, I don't feel anything at all. I want to sleep. They're slowing me down, they're doing tests, I need to rule out a stroke.
Thanks to the doctor on duty, he didn't leave the shift until he was sure I was getting help. After the dropper it makes me feel better, sit on the couch, unable to speak. Fortunately, there is no stroke, they let me go home, give me a statement with recommendations. The doctor wonders why we did not take a swab at the clinic. Not a word about covid in the discharge, the doctor warns orally that this is a covid complication on the brain, that the deterioration of health will repeat and you need to take care of yourself and see a therapist. My son takes me home by car, and on the way, we buy the recommended antithrombotic medications. Treat.
Saturday, October 10. No one believes in calling a doctor at home anymore, we just don't call them. On weekends, we lie down as a family (well, as far as you can lie down when children climb into all the places and do not want to play with toys piled on the floor). The kids are doing well, they walk on their heads. Food and groceries were ordered at home. It turns out that there are a lot of caring people around: we are consulted by "friends of friends" - a neurologist and a therapist, we bought more medicines. Others offer help: some with food, some with medicine, some with a pulse oximeter. On Sunday, I'm dead again, but at least I don't have any chills and I have something to breathe, so I just lie there.
Monday, October 12. My son's temperature does not decrease, it remains at the level of 37.3–37.5. The daughter-in-law has the same. Everyone has a cough, some kind of background, we are already used to it, we do inhalations, we drink antibiotics. We use a pulse oximeter; it calms us down. My state of inhibition periodically returns, but not so sharply, a few hours later - and it becomes easier. The son began to smell, the kids also feel. My daughter-in-law and I live in a smell-free world with almost no taste. Everyone gets sick all the time. I don't even want to look at the food. Attacks of weakness roll in, when you need to move your finger through effort. In General, everything is in order.
Tomorrow to go to the doctor's appointment in the clinic, you need to extend the sick leave for me and my son. In the evening, we got through to the reception with the question: call a doctor at home or go? They asked for a long time who we are, what our diagnosis is (my God, how do we know what we have written?), what condition, and then told us to call a doctor at home in the morning. I don't believe much in it.
What the situation taught us
1. Go to the clinic for sick leave on your own at the first sign of malaise, wearing a mask and gloves.
2. with chest pain, do not be afraid and count the pulse, this is most likely just a reaction of the heart muscle to overload (rapid heartbeat and intoxication).
3. For removal of intoxication to drink warm acidified liquid (a lot!) and there are vitamins.
4. with covid, there is a high probability of thrombosis of all organs, it is important to monitor the pressure (reduce the increased pressure) and take antithrombotic drugs.
5. If possible, do not lie flat, and often move at home, but not on the stairs and not to the store.
6. Eat, although you do not want to: very quickly comes exhaustion, you need to replenish energy in fractional portions - protein, fiber.
7. Well, if there is someone who can get a doctor to come and take a smear, it should be knocked out, but there is no strength for it-enlist the help of friends or relatives.
8. polyclinics do not have a system for processing and transmitting information, the availability of medical care is not organized, and this means that time is lost.
9. No one can help you but yourself. Don't rely on the medical system to help yourself as much as possible.
Another family from Novosibirsk honestly told how they got sick with coronavirus.
They were given treatment over the phone (but they still had to go to the door of hospital rooms to do this). At the reception, people are called hysterics. For what I ask, when will the doctor come???
And designer-jeweler Natalia Zaitseva shared her story. She got sick with the coronavirus, started treatment, but she had a severe allergic reaction to the drugs from covid. She waited for an ambulance for 8 hours, but to no avail. In Novosibirsk, a girl with Quincke's edema waited 8 hours for an ambulance.
The situation with coronavirus in Novosibirsk is heating up - the number of cases and deaths is gradually increasing, and on Monday, October 12, it became known about the death of a 25-year-old girl with coronavirus. The authorities do not yet see any reason for the return of restrictions, and medical institutions can barely cope with the increased load. Chairman of the primary organization of the trade Union "Action" in Novosibirsk Sergey Komlev said that some Novosibirsk residents have to wait for an ambulance for 40 hours. Our reader Natalia Zaitseva found herself in a similar situation. The girl got sick with coronavirus, and against the background of treatment, she developed Quincke's edema, she called an ambulance, but the doctors did not wait.
Then from the first person.
My husband and I were diagnosed with covid in early October. And since the degree of the disease is mild, we are almost at the stage of recovery. At first, the symptoms of the coronavirus appeared in my husband: fever and stifled heavy breathing, lost the sense of taste and smell. The next day after these symptoms, the temperature dropped, and he independently passed a covid test in "Invitro" and did a CT (CT scan) to prepare for the arrival of doctors and not to waste time. After a couple of days, the taste disappeared from me, although the temperature only once rose to 37.1 degrees. I realized that the virus probably caught up with me - I didn't get through to the clinic, so I took the test myself.
After receiving positive results, we still managed to call a doctor at home. And you can only do this until 16:00. Once I got through at 15:55, and I was immediately told that while they will fill in the data, it will be 5 minutes, and the call will not be accepted, call tomorrow. I do not understand why calls are registered only before 16:00, at least, such rules in the polyclinic No. 27 of the Zaeltsovsky district. By the way, you can't get through to 124 either: either it's busy, or the call breaks down, or after 10-15 minutes of waiting on the line, they pick up and hang up.
This weekend I woke up with Quincke's edema (acute tissue edema) on half of my face. As it turned out, it was an allergic reaction to one of the prescribed antibiotics. After drinking suprastin and some other Allergy pills, I went back to bed. When I woke up, I realized that the swelling did not go away. I started calling an ambulance, and for more than 10 minutes I hung on the line waiting for a response from the ambulance. During this time, you can move the horses. And it makes me really sad. From the operator's question: "Can you still breathe normally? » I felt a little uneasy. The call was received at 16:57, and 10 minutes later I was sitting on the couch with my passport and policy ready, waiting for the doorbell to ring.
Three hours later, I called the ambulance again. "Wait, call accepted." Five hours later, the same response. Seven hours later, the same thing.
"But you can already die in that time! "Yes, you can," replied the tired voice of the operator, who apparently repeats this a hundred times a day."
My husband went to the pharmacy and bought medicine and syringes. After practicing on an orange and wiping the perspiration from his forehead, he gave me an injection. As a result, we waited for an ambulance for 8 hours. At one o'clock in the morning, I canceled the call.
I had no Allergy before, especially to medications, so the doctor could not have known about such consequences either. Now the swelling has become a little less, but it is still quite strong. I've been trying to call the reception since 8 am, to no avail. Constantly busy on all rooms. I decided that if I didn't get through in the next hour, I would go to the clinic on foot. Despite the fact that the decree on self-isolation is in hand until October 23.
I don't see any other way out. On the one hand, I need to take medication to cure pneumonia (I have it in the mildest form, but still have it), on the other hand, I can't drink these antibiotics because of allergies. And the edema must, of course, be stopped. Everywhere they write that it can descend on the throat, and then suffocation will begin. And there won't be any help, as I've already found out. And you need to pass a routine smear. This is also important. I will go on foot; friends say that the queue for the clinic begins on the street. I will try to avoid people: mask, gloves.
It all makes you scared. Natural selection is at work, the strongest survives, and there is no one to help. Private ambulances and doctors do not go to covid patients. The whole city is thrown on the unfortunate municipal hospitals and clinics.
Ambulance surgeon.
Good morning! I come to the shift and see another breakout of the bottom. Anti-records beat not only the numbers of infected people, but also, traditionally, the ambulance. Waiting time for the ambulance team to arrive for infectious diseases. In minutes. This is not even a single day. In the first wave, as far as I remember, it was a little more than a day and you could count them on your fingers. Now only at our substation there are not a dozen of them "hanging".
From red "hang" suffocating couple of hours (130 minutes), which is not so long in recent times.
What is the reason for this? The answer is simple - the city's health care system is ruined. There is a shortage of personnel in the ambulance service. It got to the point that specialists are transferred to "zeros" to receive calls on the phone 103. More accept - more "hang" will be. It is impossible to increase the number of infectious teams by ambulance - then there will be no one to go to other calls (now non-infectious calls can also "hang"for hours).
Emergency care in the clinic. in one of the largest polyclinics in the city (27) there are about a dozen of them. And there is no equipment either, by and large, so after visiting the patient and making a decision about hospitalization, the emergency doctor .... will call an ambulance for transportation to the hospital.
Call the therapist at home for a temperature to prescribe treatment and/or issue a sick leave. Here comments are unnecessary. I am sure that many people have encountered it themselves, or your relatives or friends. Put on a mask and go to the clinic with your temperature, because there is a separate office for receiving this category of patients. Or the clinic itself will respond briefly - call an ambulance. That's the population and causes massively.
It turns out that in the third city of the country, in the metropolis, patients are always waiting. Not just the arrival of an ambulance or emergency room/therapist. If he is taken to a hospital, then he will wait for his turn there, but it is not a fact that there will be a place for him.
Everyone is dissatisfied. Both residents and medical workers. But apparently, these are our problems, since the Ministry of health will always comment on everything, answer everyone that "all processes are under control and everything is working normally. There is no" nothing", and if there is, it is still not true.
Larisa, 34 years old.
Got sick. A doctor or paramedic came, prescribed antibiotics, and closed the hospital in 2 weeks. No test, and I work with students. Suspicion that there are many more cases. But, apparently, they test only in Moscow. Peripherals interrupt!
Ivan Kovalenko.
The clinic has about 50 home calls per day for ONE doctor. Load!!!
Julia
We have the worst thing that our government continues to help" someone", but not their own, their own and so everything is fine, everything is under control.
Maria, 26 years old. An ambulance was called at 3 am today. Arrived at 6. The child has a temperature of 39.5
Nata is 35 years old
There are terrible queues in polyclinics, you can't get an appointment with a therapist, 6 out of 12 therapists work, and the rest are temporarily absent.
Olga 24 years old
MD. full scribe… Exactly the Apocalypse.
Patient
My God, at least someone who works in this structure said how it really is, and not like on TV and how the Ministry of health is lying, sending letters that patients should not be admitted or hospitalized (there are no places) with suspicion of covid, and on TV as always everything is fine. Itself 11.10.20, faced with a call for an ambulance, the phone just did not take, as it turned out later, for the entire Dzerzhinsk district of Novosibirsk, two teams are working, and then with a trip to the Chkalovsky hospital!!!! Horror!!!!! In short, all health, God forbid to get sick at all, but to get sick during this period.... Doctors themselves are scared + decrees from the Ministry of health+ the health care system is collapsed and there is simply no one to work, and people are deliberately driven into a panic, they are also fined, in short, mutual responsibility, and there is no real help. The government had a whole summer to prepare for the second wave, well, no, as always, everything is "Maybe".
Yuri
GL.the doctor does not need us, so it is not surprising! For example, it is better to get rid of people like me by saying that they are not satisfied with business qualities.
Julia, 28 years old.
Sick from may 25 to end of June, the KT may 31-pneumonia with lesions 25-50%, medium-heavy form, but fortunately, there were no hospitals, KT July 31 foci of inflammation already not detected, i.e., the dynamics is very good, but fibrosis remained unchanged (it is a long time or even forever), all the tests are normal. I felt great, returned to the usual active rhythm of life, on the advice of a pulmonologist, I walked a lot, or rode a Bicycle for 2 hours in the country, and also resumed swimming training. Everything seemed to be more than OK. And in mid-August, the hair began to fall out in clumps, just catastrophically, and the loss stopped only in early October. According to my estimates, 50-70
Clearly Auctoresonline and particularly Psychology and Mental Health Care Journal is dedicated to improving health care services for individuals and populations. The editorial boards' ability to efficiently recognize and share the global importance of health literacy with a variety of stakeholders. Auctoresonline publishing platform can be used to facilitate of optimal client-based services and should be added to health care professionals' repertoire of evidence-based health care resources.
Journal of Clinical Cardiology and Cardiovascular Intervention The submission and review process was adequate. However I think that the publication total value should have been enlightened in early fases. Thank you for all.
Journal of Women Health Care and Issues By the present mail, I want to say thank to you and tour colleagues for facilitating my published article. Specially thank you for the peer review process, support from the editorial office. I appreciate positively the quality of your journal.
Journal of Clinical Research and Reports I would be very delighted to submit my testimonial regarding the reviewer board and the editorial office. The reviewer board were accurate and helpful regarding any modifications for my manuscript. And the editorial office were very helpful and supportive in contacting and monitoring with any update and offering help. It was my pleasure to contribute with your promising Journal and I am looking forward for more collaboration.
We would like to thank the Journal of Thoracic Disease and Cardiothoracic Surgery because of the services they provided us for our articles. The peer-review process was done in a very excellent time manner, and the opinions of the reviewers helped us to improve our manuscript further. The editorial office had an outstanding correspondence with us and guided us in many ways. During a hard time of the pandemic that is affecting every one of us tremendously, the editorial office helped us make everything easier for publishing scientific work. Hope for a more scientific relationship with your Journal.
The peer-review process which consisted high quality queries on the paper. I did answer six reviewers’ questions and comments before the paper was accepted. The support from the editorial office is excellent.
Journal of Neuroscience and Neurological Surgery. I had the experience of publishing a research article recently. The whole process was simple from submission to publication. The reviewers made specific and valuable recommendations and corrections that improved the quality of my publication. I strongly recommend this Journal.
Dr. Katarzyna Byczkowska My testimonial covering: "The peer review process is quick and effective. The support from the editorial office is very professional and friendly. Quality of the Clinical Cardiology and Cardiovascular Interventions is scientific and publishes ground-breaking research on cardiology that is useful for other professionals in the field.
Thank you most sincerely, with regard to the support you have given in relation to the reviewing process and the processing of my article entitled "Large Cell Neuroendocrine Carcinoma of The Prostate Gland: A Review and Update" for publication in your esteemed Journal, Journal of Cancer Research and Cellular Therapeutics". The editorial team has been very supportive.
Testimony of Journal of Clinical Otorhinolaryngology: work with your Reviews has been a educational and constructive experience. The editorial office were very helpful and supportive. It was a pleasure to contribute to your Journal.
Dr. Bernard Terkimbi Utoo, I am happy to publish my scientific work in Journal of Women Health Care and Issues (JWHCI). The manuscript submission was seamless and peer review process was top notch. I was amazed that 4 reviewers worked on the manuscript which made it a highly technical, standard and excellent quality paper. I appreciate the format and consideration for the APC as well as the speed of publication. It is my pleasure to continue with this scientific relationship with the esteem JWHCI.
This is an acknowledgment for peer reviewers, editorial board of Journal of Clinical Research and Reports. They show a lot of consideration for us as publishers for our research article “Evaluation of the different factors associated with side effects of COVID-19 vaccination on medical students, Mutah university, Al-Karak, Jordan”, in a very professional and easy way. This journal is one of outstanding medical journal.
Dear Hao Jiang, to Journal of Nutrition and Food Processing We greatly appreciate the efficient, professional and rapid processing of our paper by your team. If there is anything else we should do, please do not hesitate to let us know. On behalf of my co-authors, we would like to express our great appreciation to editor and reviewers.
As an author who has recently published in the journal "Brain and Neurological Disorders". I am delighted to provide a testimonial on the peer review process, editorial office support, and the overall quality of the journal. The peer review process at Brain and Neurological Disorders is rigorous and meticulous, ensuring that only high-quality, evidence-based research is published. The reviewers are experts in their fields, and their comments and suggestions were constructive and helped improve the quality of my manuscript. The review process was timely and efficient, with clear communication from the editorial office at each stage. The support from the editorial office was exceptional throughout the entire process. The editorial staff was responsive, professional, and always willing to help. They provided valuable guidance on formatting, structure, and ethical considerations, making the submission process seamless. Moreover, they kept me informed about the status of my manuscript and provided timely updates, which made the process less stressful. The journal Brain and Neurological Disorders is of the highest quality, with a strong focus on publishing cutting-edge research in the field of neurology. The articles published in this journal are well-researched, rigorously peer-reviewed, and written by experts in the field. The journal maintains high standards, ensuring that readers are provided with the most up-to-date and reliable information on brain and neurological disorders. In conclusion, I had a wonderful experience publishing in Brain and Neurological Disorders. The peer review process was thorough, the editorial office provided exceptional support, and the journal's quality is second to none. I would highly recommend this journal to any researcher working in the field of neurology and brain disorders.
Dear Agrippa Hilda, Journal of Neuroscience and Neurological Surgery, Editorial Coordinator, I trust this message finds you well. I want to extend my appreciation for considering my article for publication in your esteemed journal. I am pleased to provide a testimonial regarding the peer review process and the support received from your editorial office. The peer review process for my paper was carried out in a highly professional and thorough manner. The feedback and comments provided by the authors were constructive and very useful in improving the quality of the manuscript. This rigorous assessment process undoubtedly contributes to the high standards maintained by your journal.
International Journal of Clinical Case Reports and Reviews. I strongly recommend to consider submitting your work to this high-quality journal. The support and availability of the Editorial staff is outstanding and the review process was both efficient and rigorous.
Thank you very much for publishing my Research Article titled “Comparing Treatment Outcome Of Allergic Rhinitis Patients After Using Fluticasone Nasal Spray And Nasal Douching" in the Journal of Clinical Otorhinolaryngology. As Medical Professionals we are immensely benefited from study of various informative Articles and Papers published in this high quality Journal. I look forward to enriching my knowledge by regular study of the Journal and contribute my future work in the field of ENT through the Journal for use by the medical fraternity. The support from the Editorial office was excellent and very prompt. I also welcome the comments received from the readers of my Research Article.
Dear Erica Kelsey, Editorial Coordinator of Cancer Research and Cellular Therapeutics Our team is very satisfied with the processing of our paper by your journal. That was fast, efficient, rigorous, but without unnecessary complications. We appreciated the very short time between the submission of the paper and its publication on line on your site.
I am very glad to say that the peer review process is very successful and fast and support from the Editorial Office. Therefore, I would like to continue our scientific relationship for a long time. And I especially thank you for your kindly attention towards my article. Have a good day!
"We recently published an article entitled “Influence of beta-Cyclodextrins upon the Degradation of Carbofuran Derivatives under Alkaline Conditions" in the Journal of “Pesticides and Biofertilizers” to show that the cyclodextrins protect the carbamates increasing their half-life time in the presence of basic conditions This will be very helpful to understand carbofuran behaviour in the analytical, agro-environmental and food areas. We greatly appreciated the interaction with the editor and the editorial team; we were particularly well accompanied during the course of the revision process, since all various steps towards publication were short and without delay".
I would like to express my gratitude towards you process of article review and submission. I found this to be very fair and expedient. Your follow up has been excellent. I have many publications in national and international journal and your process has been one of the best so far. Keep up the great work.
We are grateful for this opportunity to provide a glowing recommendation to the Journal of Psychiatry and Psychotherapy. We found that the editorial team were very supportive, helpful, kept us abreast of timelines and over all very professional in nature. The peer review process was rigorous, efficient and constructive that really enhanced our article submission. The experience with this journal remains one of our best ever and we look forward to providing future submissions in the near future.
I am very pleased to serve as EBM of the journal, I hope many years of my experience in stem cells can help the journal from one way or another. As we know, stem cells hold great potential for regenerative medicine, which are mostly used to promote the repair response of diseased, dysfunctional or injured tissue using stem cells or their derivatives. I think Stem Cell Research and Therapeutics International is a great platform to publish and share the understanding towards the biology and translational or clinical application of stem cells.
I would like to give my testimony in the support I have got by the peer review process and to support the editorial office where they were of asset to support young author like me to be encouraged to publish their work in your respected journal and globalize and share knowledge across the globe. I really give my great gratitude to your journal and the peer review including the editorial office.
I am delighted to publish our manuscript entitled "A Perspective on Cocaine Induced Stroke - Its Mechanisms and Management" in the Journal of Neuroscience and Neurological Surgery. The peer review process, support from the editorial office, and quality of the journal are excellent. The manuscripts published are of high quality and of excellent scientific value. I recommend this journal very much to colleagues.
Dr.Tania Muñoz, My experience as researcher and author of a review article in The Journal Clinical Cardiology and Interventions has been very enriching and stimulating. The editorial team is excellent, performs its work with absolute responsibility and delivery. They are proactive, dynamic and receptive to all proposals. Supporting at all times the vast universe of authors who choose them as an option for publication. The team of review specialists, members of the editorial board, are brilliant professionals, with remarkable performance in medical research and scientific methodology. Together they form a frontline team that consolidates the JCCI as a magnificent option for the publication and review of high-level medical articles and broad collective interest. I am honored to be able to share my review article and open to receive all your comments.
“The peer review process of JPMHC is quick and effective. Authors are benefited by good and professional reviewers with huge experience in the field of psychology and mental health. The support from the editorial office is very professional. People to contact to are friendly and happy to help and assist any query authors might have. Quality of the Journal is scientific and publishes ground-breaking research on mental health that is useful for other professionals in the field”.
Dear editorial department: On behalf of our team, I hereby certify the reliability and superiority of the International Journal of Clinical Case Reports and Reviews in the peer review process, editorial support, and journal quality. Firstly, the peer review process of the International Journal of Clinical Case Reports and Reviews is rigorous, fair, transparent, fast, and of high quality. The editorial department invites experts from relevant fields as anonymous reviewers to review all submitted manuscripts. These experts have rich academic backgrounds and experience, and can accurately evaluate the academic quality, originality, and suitability of manuscripts. The editorial department is committed to ensuring the rigor of the peer review process, while also making every effort to ensure a fast review cycle to meet the needs of authors and the academic community. Secondly, the editorial team of the International Journal of Clinical Case Reports and Reviews is composed of a group of senior scholars and professionals with rich experience and professional knowledge in related fields. The editorial department is committed to assisting authors in improving their manuscripts, ensuring their academic accuracy, clarity, and completeness. Editors actively collaborate with authors, providing useful suggestions and feedback to promote the improvement and development of the manuscript. We believe that the support of the editorial department is one of the key factors in ensuring the quality of the journal. Finally, the International Journal of Clinical Case Reports and Reviews is renowned for its high- quality articles and strict academic standards. The editorial department is committed to publishing innovative and academically valuable research results to promote the development and progress of related fields. The International Journal of Clinical Case Reports and Reviews is reasonably priced and ensures excellent service and quality ratio, allowing authors to obtain high-level academic publishing opportunities in an affordable manner. I hereby solemnly declare that the International Journal of Clinical Case Reports and Reviews has a high level of credibility and superiority in terms of peer review process, editorial support, reasonable fees, and journal quality. Sincerely, Rui Tao.
Clinical Cardiology and Cardiovascular Interventions I testity the covering of the peer review process, support from the editorial office, and quality of the journal.
Clinical Cardiology and Cardiovascular Interventions, we deeply appreciate the interest shown in our work and its publication. It has been a true pleasure to collaborate with you. The peer review process, as well as the support provided by the editorial office, have been exceptional, and the quality of the journal is very high, which was a determining factor in our decision to publish with you.
The peer reviewers process is quick and effective, the supports from editorial office is excellent, the quality of journal is high. I would like to collabroate with Internatioanl journal of Clinical Case Reports and Reviews journal clinically in the future time.
Clinical Cardiology and Cardiovascular Interventions, I would like to express my sincerest gratitude for the trust placed in our team for the publication in your journal. It has been a true pleasure to collaborate with you on this project. I am pleased to inform you that both the peer review process and the attention from the editorial coordination have been excellent. Your team has worked with dedication and professionalism to ensure that your publication meets the highest standards of quality. We are confident that this collaboration will result in mutual success, and we are eager to see the fruits of this shared effort.
Dear Dr. Jessica Magne, Editorial Coordinator 0f Clinical Cardiology and Cardiovascular Interventions, I hope this message finds you well. I want to express my utmost gratitude for your excellent work and for the dedication and speed in the publication process of my article titled "Navigating Innovation: Qualitative Insights on Using Technology for Health Education in Acute Coronary Syndrome Patients." I am very satisfied with the peer review process, the support from the editorial office, and the quality of the journal. I hope we can maintain our scientific relationship in the long term.
Dear Monica Gissare, - Editorial Coordinator of Nutrition and Food Processing. ¨My testimony with you is truly professional, with a positive response regarding the follow-up of the article and its review, you took into account my qualities and the importance of the topic¨.
Dear Dr. Jessica Magne, Editorial Coordinator 0f Clinical Cardiology and Cardiovascular Interventions, The review process for the article “The Handling of Anti-aggregants and Anticoagulants in the Oncologic Heart Patient Submitted to Surgery” was extremely rigorous and detailed. From the initial submission to the final acceptance, the editorial team at the “Journal of Clinical Cardiology and Cardiovascular Interventions” demonstrated a high level of professionalism and dedication. The reviewers provided constructive and detailed feedback, which was essential for improving the quality of our work. Communication was always clear and efficient, ensuring that all our questions were promptly addressed. The quality of the “Journal of Clinical Cardiology and Cardiovascular Interventions” is undeniable. It is a peer-reviewed, open-access publication dedicated exclusively to disseminating high-quality research in the field of clinical cardiology and cardiovascular interventions. The journal's impact factor is currently under evaluation, and it is indexed in reputable databases, which further reinforces its credibility and relevance in the scientific field. I highly recommend this journal to researchers looking for a reputable platform to publish their studies.
Dear Editorial Coordinator of the Journal of Nutrition and Food Processing! "I would like to thank the Journal of Nutrition and Food Processing for including and publishing my article. The peer review process was very quick, movement and precise. The Editorial Board has done an extremely conscientious job with much help, valuable comments and advices. I find the journal very valuable from a professional point of view, thank you very much for allowing me to be part of it and I would like to participate in the future!”
Dealing with The Journal of Neurology and Neurological Surgery was very smooth and comprehensive. The office staff took time to address my needs and the response from editors and the office was prompt and fair. I certainly hope to publish with this journal again.Their professionalism is apparent and more than satisfactory. Susan Weiner
My Testimonial Covering as fellowing: Lin-Show Chin. The peer reviewers process is quick and effective, the supports from editorial office is excellent, the quality of journal is high. I would like to collabroate with Internatioanl journal of Clinical Case Reports and Reviews.
My experience publishing in Psychology and Mental Health Care was exceptional. The peer review process was rigorous and constructive, with reviewers providing valuable insights that helped enhance the quality of our work. The editorial team was highly supportive and responsive, making the submission process smooth and efficient. The journal's commitment to high standards and academic rigor makes it a respected platform for quality research. I am grateful for the opportunity to publish in such a reputable journal.
My experience publishing in International Journal of Clinical Case Reports and Reviews was exceptional. I Come forth to Provide a Testimonial Covering the Peer Review Process and the editorial office for the Professional and Impartial Evaluation of the Manuscript.
I would like to offer my testimony in the support. I have received through the peer review process and support the editorial office where they are to support young authors like me, encourage them to publish their work in your esteemed journals, and globalize and share knowledge globally. I really appreciate your journal, peer review, and editorial office.
Dear Agrippa Hilda- Editorial Coordinator of Journal of Neuroscience and Neurological Surgery, "The peer review process was very quick and of high quality, which can also be seen in the articles in the journal. The collaboration with the editorial office was very good."
I would like to express my sincere gratitude for the support and efficiency provided by the editorial office throughout the publication process of my article, “Delayed Vulvar Metastases from Rectal Carcinoma: A Case Report.” I greatly appreciate the assistance and guidance I received from your team, which made the entire process smooth and efficient. The peer review process was thorough and constructive, contributing to the overall quality of the final article. I am very grateful for the high level of professionalism and commitment shown by the editorial staff, and I look forward to maintaining a long-term collaboration with the International Journal of Clinical Case Reports and Reviews.
To Dear Erin Aust, I would like to express my heartfelt appreciation for the opportunity to have my work published in this esteemed journal. The entire publication process was smooth and well-organized, and I am extremely satisfied with the final result. The Editorial Team demonstrated the utmost professionalism, providing prompt and insightful feedback throughout the review process. Their clear communication and constructive suggestions were invaluable in enhancing my manuscript, and their meticulous attention to detail and dedication to quality are truly commendable. Additionally, the support from the Editorial Office was exceptional. From the initial submission to the final publication, I was guided through every step of the process with great care and professionalism. The team's responsiveness and assistance made the entire experience both easy and stress-free. I am also deeply impressed by the quality and reputation of the journal. It is an honor to have my research featured in such a respected publication, and I am confident that it will make a meaningful contribution to the field.
"I am grateful for the opportunity of contributing to [International Journal of Clinical Case Reports and Reviews] and for the rigorous review process that enhances the quality of research published in your esteemed journal. I sincerely appreciate the time and effort of your team who have dedicatedly helped me in improvising changes and modifying my manuscript. The insightful comments and constructive feedback provided have been invaluable in refining and strengthening my work".
I thank the ‘Journal of Clinical Research and Reports’ for accepting this article for publication. This is a rigorously peer reviewed journal which is on all major global scientific data bases. I note the review process was prompt, thorough and professionally critical. It gave us an insight into a number of important scientific/statistical issues. The review prompted us to review the relevant literature again and look at the limitations of the study. The peer reviewers were open, clear in the instructions and the editorial team was very prompt in their communication. This journal certainly publishes quality research articles. I would recommend the journal for any future publications.
Dear Jessica Magne, with gratitude for the joint work. Fast process of receiving and processing the submitted scientific materials in “Clinical Cardiology and Cardiovascular Interventions”. High level of competence of the editors with clear and correct recommendations and ideas for enriching the article.
We found the peer review process quick and positive in its input. The support from the editorial officer has been very agile, always with the intention of improving the article and taking into account our subsequent corrections.
My article, titled 'No Way Out of the Smartphone Epidemic Without Considering the Insights of Brain Research,' has been republished in the International Journal of Clinical Case Reports and Reviews. The review process was seamless and professional, with the editors being both friendly and supportive. I am deeply grateful for their efforts.
To Dear Erin Aust – Editorial Coordinator of Journal of General Medicine and Clinical Practice! I declare that I am absolutely satisfied with your work carried out with great competence in following the manuscript during the various stages from its receipt, during the revision process to the final acceptance for publication. Thank Prof. Elvira Farina
Dear Jessica, and the super professional team of the ‘Clinical Cardiology and Cardiovascular Interventions’ I am sincerely grateful to the coordinated work of the journal team for the no problem with the submission of my manuscript: “Cardiometabolic Disorders in A Pregnant Woman with Severe Preeclampsia on the Background of Morbid Obesity (Case Report).” The review process by 5 experts was fast, and the comments were professional, which made it more specific and academic, and the process of publication and presentation of the article was excellent. I recommend that my colleagues publish articles in this journal, and I am interested in further scientific cooperation. Sincerely and best wishes, Dr. Oleg Golyanovskiy.
Dear Ashley Rosa, Editorial Coordinator of the journal - Psychology and Mental Health Care. " The process of obtaining publication of my article in the Psychology and Mental Health Journal was positive in all areas. The peer review process resulted in a number of valuable comments, the editorial process was collaborative and timely, and the quality of this journal has been quickly noticed, resulting in alternative journals contacting me to publish with them." Warm regards, Susan Anne Smith, PhD. Australian Breastfeeding Association.
Dear Jessica Magne, Editorial Coordinator, Clinical Cardiology and Cardiovascular Interventions, Auctores Publishing LLC. I appreciate the journal (JCCI) editorial office support, the entire team leads were always ready to help, not only on technical front but also on thorough process. Also, I should thank dear reviewers’ attention to detail and creative approach to teach me and bring new insights by their comments. Surely, more discussions and introduction of other hemodynamic devices would provide better prevention and management of shock states. Your efforts and dedication in presenting educational materials in this journal are commendable. Best wishes from, Farahnaz Fallahian.
Dear Maria Emerson, Editorial Coordinator, International Journal of Clinical Case Reports and Reviews, Auctores Publishing LLC. I am delighted to have published our manuscript, "Acute Colonic Pseudo-Obstruction (ACPO): A rare but serious complication following caesarean section." I want to thank the editorial team, especially Maria Emerson, for their prompt review of the manuscript, quick responses to queries, and overall support. Yours sincerely Dr. Victor Olagundoye.
Dear Ashley Rosa, Editorial Coordinator, International Journal of Clinical Case Reports and Reviews. Many thanks for publishing this manuscript after I lost confidence the editors were most helpful, more than other journals Best wishes from, Susan Anne Smith, PhD. Australian Breastfeeding Association.
Dear Agrippa Hilda, Editorial Coordinator, Journal of Neuroscience and Neurological Surgery. The entire process including article submission, review, revision, and publication was extremely easy. The journal editor was prompt and helpful, and the reviewers contributed to the quality of the paper. Thank you so much! Eric Nussbaum, MD
Dr Hala Al Shaikh This is to acknowledge that the peer review process for the article ’ A Novel Gnrh1 Gene Mutation in Four Omani Male Siblings, Presentation and Management ’ sent to the International Journal of Clinical Case Reports and Reviews was quick and smooth. The editorial office was prompt with easy communication.
Dear Erin Aust, Editorial Coordinator, Journal of General Medicine and Clinical Practice. We are pleased to share our experience with the “Journal of General Medicine and Clinical Practice”, following the successful publication of our article. The peer review process was thorough and constructive, helping to improve the clarity and quality of the manuscript. We are especially thankful to Ms. Erin Aust, the Editorial Coordinator, for her prompt communication and continuous support throughout the process. Her professionalism ensured a smooth and efficient publication experience. The journal upholds high editorial standards, and we highly recommend it to fellow researchers seeking a credible platform for their work. Best wishes By, Dr. Rakhi Mishra.
Dear Jessica Magne, Editorial Coordinator, Clinical Cardiology and Cardiovascular Interventions, Auctores Publishing LLC. The peer review process of the journal of Clinical Cardiology and Cardiovascular Interventions was excellent and fast, as was the support of the editorial office and the quality of the journal. Kind regards Walter F. Riesen Prof. Dr. Dr. h.c. Walter F. Riesen.
Dear Ashley Rosa, Editorial Coordinator, International Journal of Clinical Case Reports and Reviews, Auctores Publishing LLC. Thank you for publishing our article, Exploring Clozapine's Efficacy in Managing Aggression: A Multiple Single-Case Study in Forensic Psychiatry in the international journal of clinical case reports and reviews. We found the peer review process very professional and efficient. The comments were constructive, and the whole process was efficient. On behalf of the co-authors, I would like to thank you for publishing this article. With regards, Dr. Jelle R. Lettinga.
Dear Clarissa Eric, Editorial Coordinator, Journal of Clinical Case Reports and Studies, I would like to express my deep admiration for the exceptional professionalism demonstrated by your journal. I am thoroughly impressed by the speed of the editorial process, the substantive and insightful reviews, and the meticulous preparation of the manuscript for publication. Additionally, I greatly appreciate the courteous and immediate responses from your editorial office to all my inquiries. Best Regards, Dariusz Ziora
Dear Chrystine Mejia, Editorial Coordinator, Journal of Neurodegeneration and Neurorehabilitation, Auctores Publishing LLC, We would like to thank the editorial team for the smooth and high-quality communication leading up to the publication of our article in the Journal of Neurodegeneration and Neurorehabilitation. The reviewers have extensive knowledge in the field, and their relevant questions helped to add value to our publication. Kind regards, Dr. Ravi Shrivastava.
Dear Clarissa Eric, Editorial Coordinator, Journal of Clinical Case Reports and Studies, Auctores Publishing LLC, USA Office: +1-(302)-520-2644. I would like to express my sincere appreciation for the efficient and professional handling of my case report by the ‘Journal of Clinical Case Reports and Studies’. The peer review process was not only fast but also highly constructive—the reviewers’ comments were clear, relevant, and greatly helped me improve the quality and clarity of my manuscript. I also received excellent support from the editorial office throughout the process. Communication was smooth and timely, and I felt well guided at every stage, from submission to publication. The overall quality and rigor of the journal are truly commendable. I am pleased to have published my work with Journal of Clinical Case Reports and Studies, and I look forward to future opportunities for collaboration. Sincerely, Aline Tollet, UCLouvain.
Dear Ms. Mayra Duenas, Editorial Coordinator, International Journal of Clinical Case Reports and Reviews. “The International Journal of Clinical Case Reports and Reviews represented the “ideal house” to share with the research community a first experience with the use of the Simeox device for speech rehabilitation. High scientific reputation and attractive website communication were first determinants for the selection of this Journal, and the following submission process exceeded expectations: fast but highly professional peer review, great support by the editorial office, elegant graphic layout. Exactly what a dynamic research team - also composed by allied professionals - needs!" From, Chiara Beccaluva, PT - Italy.
Dear Maria Emerson, Editorial Coordinator, we have deeply appreciated the professionalism demonstrated by the International Journal of Clinical Case Reports and Reviews. The reviewers have extensive knowledge of our field and have been very efficient and fast in supporting the process. I am really looking forward to further collaboration. Thanks. Best regards, Dr. Claudio Ligresti
Dear Chrystine Mejia, Editorial Coordinator, Journal of Neurodegeneration and Neurorehabilitation. “The peer review process was efficient and constructive, and the editorial office provided excellent communication and support throughout. The journal ensures scientific rigor and high editorial standards, while also offering a smooth and timely publication process. We sincerely appreciate the work of the editorial team in facilitating the dissemination of innovative approaches such as the Bonori Method.” Best regards, Dr. Matteo Bonori.
I recommend without hesitation submitting relevant papers on medical decision making to the International Journal of Clinical Case Reports and Reviews. I am very grateful to the editorial staff. Maria Emerson was a pleasure to communicate with. The time from submission to publication was an extremely short 3 weeks. The editorial staff submitted the paper to three reviewers. Two of the reviewers commented positively on the value of publishing the paper. The editorial staff quickly recognized the third reviewer’s comments as an unjust attempt to reject the paper. I revised the paper as recommended by the first two reviewers.
Dear Maria Emerson, Editorial Coordinator, Journal of Clinical Research and Reports. Thank you for publishing our case report: "Clinical Case of Effective Fetal Stem Cells Treatment in a Patient with Autism Spectrum Disorder" within the "Journal of Clinical Research and Reports" being submitted by the team of EmCell doctors from Kyiv, Ukraine. We much appreciate a professional and transparent peer-review process from Auctores. All research Doctors are so grateful to your Editorial Office and Auctores Publishing support! I amiably wish our article publication maintained a top quality of your International Scientific Journal. My best wishes for a prosperity of the Journal of Clinical Research and Reports. Hope our scientific relationship and cooperation will remain long lasting. Thank you very much indeed. Kind regards, Dr. Andriy Sinelnyk Cell Therapy Center EmCell
Dear Editorial Team, Clinical Cardiology and Cardiovascular Interventions. It was truly a rewarding experience to work with the journal “Clinical Cardiology and Cardiovascular Interventions”. The peer review process was insightful and encouraging, helping us refine our work to a higher standard. The editorial office offered exceptional support with prompt and thoughtful communication. I highly value the journal’s role in promoting scientific advancement and am honored to be part of it. Best regards, Meng-Jou Lee, MD, Department of Anesthesiology, National Taiwan University Hospital.
Dear Editorial Team, Journal-Clinical Cardiology and Cardiovascular Interventions, “Publishing my article with Clinical Cardiology and Cardiovascular Interventions has been a highly positive experience. The peer-review process was rigorous yet supportive, offering valuable feedback that strengthened my work. The editorial team demonstrated exceptional professionalism, prompt communication, and a genuine commitment to maintaining the highest scientific standards. I am very pleased with the publication quality and proud to be associated with such a reputable journal.” Warm regards, Dr. Mahmoud Kamal Moustafa Ahmed
Dear Maria Emerson, Editorial Coordinator of ‘International Journal of Clinical Case Reports and Reviews’, I appreciate the opportunity to publish my article with your journal. The editorial office provided clear communication during the submission and review process, and I found the overall experience professional and constructive. Best regards, Elena Salvatore.
Dear Mayra Duenas, Editorial Coordinator of ‘International Journal of Clinical Case Reports and Reviews Herewith I confirm an optimal peer review process and a great support of the editorial office of the present journal
Dear Editorial Team, Clinical Cardiology and Cardiovascular Interventions. I am really grateful for the peers review; their feedback gave me the opportunity to reflect on the message and impact of my work and to ameliorate the article. The editors did a great job in addition by encouraging me to continue with the process of publishing.
Dear Cecilia Lilly, Editorial Coordinator, Endocrinology and Disorders, Thank you so much for your quick response regarding reviewing and all process till publishing our manuscript entitled: Prevalence of Pre-Diabetes and its Associated Risk Factors Among Nile College Students, Sudan. Best regards, Dr Mamoun Magzoub.
International Journal of Clinical Case Reports and Reviews is a high quality journal that has a clear and concise submission process. The peer review process was comprehensive and constructive. Support from the editorial office was excellent, since the administrative staff were responsive. The journal provides a fast and timely publication timeline.
Dear Maria Emerson, Editorial Coordinator of International Journal of Clinical Case Reports and Reviews, What distinguishes International Journal of Clinical Case Report and Review is not only the scientific rigor of its publications, but the intellectual climate in which research is evaluated. The submission process is refreshingly free of unnecessary formal barriers and bureaucratic rituals that often complicate academic publishing without adding real value. The peer-review system is demanding yet constructive, guided by genuine scientific dialogue rather than hierarchical or authoritarian attitudes. Reviewers act as collaborators in improving the manuscript, not as gatekeepers imposing arbitrary standards. This journal offers a rare balance: high methodological standards combined with a respectful, transparent, and supportive editorial approach. In an era where publishing can feel more burdensome than research itself, this platform restores the original purpose of peer review — to refine ideas, not to obstruct them Prof. Perlat Kapisyzi, FCCP PULMONOLOGIST AND THORACIC IMAGING.
Dear Grace Pierce, International Journal of Clinical Case Reports and Reviews I appreciate the opportunity to review for Auctore Journal, as the overall editorial process was smooth, transparent and professionally managed. This journal maintains high scientific standards and ensures timely communications with authors, which is truly commendable. I would like to express my special thanks to editor Grace Pierce for his constant guidance, promt responses, and supportive coordination throughout the review process. I am also greatful to Eleanor Bailey from the finance department for her clear communication and efficient handling of all administrative matters. Overall, my experience with Auctore Journal has been highly positive and rewarding. Best regards, Sabita sinha
Dear Mayra Duenas, Editorial Coordinator of the journal IJCCR, I write here a little on my experience as an author submitting to the International Journal of Clinical Case Reports and Reviews (IJCCR). This was my first submission to IJCCR and my manuscript was inherently an outsider’s effort. It attempted to broadly identify and then make some sense of life’s under-appreciated mysteries. I initially had responded to a request for possible submissions. I then contacted IJCCR with a tentative topic for a manuscript. They quickly got back with an approval for the submission, but with a particular requirement that it be medically relevant. I then put together a manuscript and submitted it. After the usual back-and-forth over forms and formality, the manuscript was sent off for reviews. Within 2 weeks I got back 4 reviews which were both helpful and also surprising. Surprising in that the topic was somewhat foreign to medical literature. My subsequent updates in response to the reviewer comments went smoothly and in short order I had a series of proofs to evaluate. All in all, the whole publication process seemed outstanding. It was both helpful in terms of the paper’s content and also in terms of its efficient and friendly communications. Thank you all very much. Sincerely, Ted Christopher, Rochester, NY.