AUCTORES
Globalize your Research
Research Article | DOI: https://doi.org/10.31579/2690-8794/268
1Department of Obstetrics and Gynaecology, Liangzhou Hospital, East Stress 8, Liangzhou, Wuwei 733000, China.
2The Second People's Hospital of Wuwei, Wuwei 733000, China.
3Lanzhou Institute of Biological Products Co., Ltd. (LIBP), Yanchang Road 888, Lanzhou 730046, China.
*Corresponding Author: Fengping Hou, Lanzhou Institute of Biological Products Co., Ltd. (LIBP), Yanchang Road 888, Lanzhou 730046, China.
Citation: Chunming Wu, Hujia Hou, Zhibin Lin, Shuping Chen, Fengping Hou, (2026), Effect Analysis of Cystoscopy Combined with Ureteral Catheterization in total Abdominal Hysterectomy for giant Uterine Fibroids, Clinical Medical Reviews and Reports, 8(2); DOI:10.31579/2690-8794/268
Copyright: © 2026, Fengping Hou. This is an open access article distributed under the Creative Commons Attribution License, which permits unrestricted use, distribution, and reproduction in any medium, provided the original work is properly cited.
Received: 07 January 2026 | Accepted: 20 January 2026 | Published: 06 February 2026
Keywords: cystoscope; ureteral intubation; giant uterine fibroids; total abdominal hysterectomy
Recording the postoperative observation indexes and postoperative complications to assess the therapeutic effect of intervention of auxiliary means in the operation of giant cervical fibroid. The study was conducted in a district hospital, wherein patients with giant uterine fibroids were requested to execute operation of total hysterectomy combined with ureteral catheterization under cystoscopy. During the period from July 2021 to March 2024, a total of eighty cases who underwent an open total hysterectomy for giant fibroids were enrolled in the study. Cystoscopy combined with ureteral intubation has good effect in laparotomy for large uterine fibroids, which shortened operation time, reduced intraoperative blood loss and pain score, and the incidence of ureteral injury, bladder injury and urinary tract infection decreased. The study involved cystoscopy to broaden the horizon of the surgery. Cystoscopy combined with ureteral intubation has good effect in laparotomy for large uterine fibroids, which can shorten operation time, be safer, reduce doctor-patient disputes, improve patient satisfaction, and is easy to be applied and promoted in clinic in county-level hospitals.
Uterine fibroids, also called leiomyomas or fibroids, are the result of excessive growth of smooth muscle and thick-walled vessels in the uterus [14]. As a common gynecological pathology, they have a complicated pathogenesis [7,15]. Surgical removal is the most common approach to treating uterine fibroids, and they have become the leading indication for hysterectomy [13,20,21]. It is difficult to accurately calculate the incidence of uterine fibroids; however, it is estimated that the prevalence rate of reproductive age women reached to over 25%, and the incidence rate reached more than 50?cording to surgical specimens and autopsy statistics [5]. There are several aspects need to be considered to administrate treatment—the size and location of fibroids; the presence and size of the submucosal component; penetration of the myometrial component; proximity to the uterine serosa; relationship with and proximity to the endometrial cavity; vascular supply; and coexistence of adenomyosis or deep endometriosis [11]. At present, there is no consensus and guideline on the diagnosis and treatment of uterine fibroids in China.
Giant or large uterine fibroids (uterine weight >500g) are common in middle-aged and elderly women, often manifested as abdominal mass, abdominal pain and other symptoms, especially in developing countries [10]. Long-term fibroid growth is likely to transform to malignant, so that removing such uterine fibroids surgically is recommended, especially for those postmenopausal women [3,22]. Due to the large uterine fibroids, it is difficult to expose the operative field during the operation. Large uterine fibroids also cause urinary incontinence in women [12,16]. Thus, it increases the probability of ureteral injury, which may lead to the possibility of a second operation if it is not detected in time during the operation.
Despite the significant advances in laparoscopic surgery in the past years, urologic complications (UCs) are still issues to be reckoned by every gynecologist [8]. UCs occur both during intraoperation (bladder or ureteral section, coagulation, and ligation) and post-operation complications (bladder or ureteral fistulas, urinary retention, micturition difficulties, incontinence, and urinary tract infection) [1]. It is reported that the incidence of bladder injury was 2.2% while the ureter injury rate was 1.1% [4], and the incidence of vesicovaginal fistulas in patients who experienced laparoscopic radical hysterectomy was about 2%, while post-operative urinary retention rates were about 14% [19].
It is reported that the cystoscopy and robotic surgery were involved in for bladder endometriosis in India [2]. American studies have reported that due to the difficulty in removing giant uterine fibroids during laparoscopic surgery, it is usually necessary to remove the uterus one by one after crushing the uterus with a closed crushing bag, and the operation time is significantly extended. There are many reports of ureteral injury caused by extensive hysterectomy in gynecological surgery, and the postoperative complications are serious. If the diagnosis and treatment are delayed, it is easy to lead to adverse consequences. The incidence of iatrogenic ureteral injury ranges from 0.05% to 30%. It has been reported that a case of a 45-year-old woman with giant cervical fibroid and urinary retention, was operated with a total abdominal hysterectomy, without facing any intraoperative complications. It is effective to perform cystoscope-assisted laparoscopic enucleation of a large progressive bladder leiomyoma [23]. In this case, preoperative uterine artery embolization (UAE) was performed to prevent intraoperative blood loss, and Double-J (DJ) stenting was performed to avoid ureteric injury [17]. Therefore, in some district hospital, it is recommended to combine preoperative cystoscopy and ureteral intubation in total open hysterectomy to treat giant uterine fibroids [6].
How to avoid ureteral injury and reduce surgical complications is a key problem to be paid attention to in total hysterectomy due to large uterine fibroids. The patients with giant uterine fibroids included in this study were all over 45 years old, and the opinions of family members and patients were requested for total hysterectomy. The purpose of this study is to analyze the effect of cystoscopy combined with ureteral catheterization in total hysterectomy for large uterine fibroids. After placement can shorten the operation time and reduce ureteral damage.
The work was approved and performed under Wuwei Liangzhou Hospital Ethics Committee. From July 2021 to March 2024, a total of eighty cases who underwent an open total hysterectomy for giant fibroids were divided randomly into study group and control group (n=40/group). Cystoscopy and ureteral catheter placement. The cystoscope (Hawk PG-V type) and imaging system were prepared before operation. The patient was first taken to the lithotomy position and anesthesia was performed. After routine perineal area skin disinfection, the cystoscope directly under the urethral opening. The bladder was observed, both ureteral orifices were clearly visible, and the injection of clear urine was smooth. A F4.7 ureteral catheter was entered from the cystoscopic operation channel. The end of the cystoscope was aligned with the ureteral opening on the right side, and the ureteral catheter was slowly pushed forward with a length of about 25 cm. The end of the ureteral catheter entered the calyces. Slowly withdraw the cystoscope with one hand, and push the ureteral catheter forward with the other hand to prevent the ureteral catheter already in place from withdrawing with the cystoscope. After the cystoscope is completely withdrawn, the assistant fixes the implanted ureteral catheter. Then another ureteral catheter was inserted in the same way. After the cystoscope was withdrawn, an F14 catheter was inserted, 15 ml of normal saline was injected into the air sac, and the catheter was pulled outward to ensure that the air sac was at the bladder neck. Two ureteral catheters were taped to the catheter to avoid slipping out during the operation.
After successful anesthesia, the patient was placed in a supine position, and routine sterilization was performed. A 15 cm incision was made in the middle of the abdominal wall, and subcutaneous and subcutaneous tissues were separated and cut layer by layer. The huge uterus and myoma were pulled out of the abdominal incision at the same time, and the left round ligament, left proper ligament of ovary and isthmus of fallopian tube were respectively clamp and cut. Individualized surgical paths were developed according to the growth site of the fibroids. If the vesical reflexion peritoneum could not be exposed, the serous membrane layer should be separated along the anterior wall of the uterus and the fibroids, pushed downward to approach the vesical reflexion peritoneum, and the arteriovenous of the uterus should be gradually exposed, with forceps and double suture, and then the principal sacral ligament should be treated, a huge hysterectomy should be performed, and the pelvic cavity should be rinsed to check no active bleeding. Both ureters were carefully checked for good movement and peristalsis before abdominal closure. The peritoneum was closed, sutured layer by layer, and routine anti-infection and thrombosis prevention were performed. The control group did not undergo cystoscopy combined with ureteral intubation before surgery, and the patient was supine with the research group before hysterectomy.
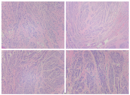
Tumor morphology was reviewed by from pathologists with expertise in gynecologic pathology. The specimens were collected from tumor tissues of two cases of liomyoma, and stored in 4% paraformaldehyde. The tissue samples were embedded in paraffin, and then stained with Hematoxylin and Eosin (H&E) dyes. After histological H&E staining, organ damage was observed by digital trinocular camera microscope (Leica DM3000, Germany).
SPSS 25.0 statistical software (SPSS Inc., Chicago, IL, USA) was used for data analysis. Chi-square test was used for counting data, T-test was used for measurement data, P<0>
The preoperative patient demographics are summarized as Table 1.
| Control group | Study group | ||
| Case load | 40 | Case load | 40 |
Age, Mean ± SD, years | 52.68 ± 3.85 | Age, Mean ± SD, years | 53.18 ± 2.86 |
Course of disease, Mean ± SD, years | 3.15±0.86 | Course of disease, Mean ± SD, years | 3.15±1.10 |
Diameter of fibroids, cm | 14.20±1.57 | Diameter of fibroids, cm | 14.58±1.87 |
Table 1: Characteristics of the patients
The cases were between 44 and 60 years old, with an average age of 53 years. The disease courses were from one year to five years, and all patients had giant uterine fibroids and each fibroid diameter was more than 10 cm.
It made the view of operation wider that the combination of cystoscopy with ureteral catheterization (Fig. 1A). Fig. 1B shows a specimen with uterus, bilateral fallopian tubes and cervix giant fibroid.

Figure 1: (A) An intraoperative open giant myomectomy; (B) a specimen with uterus, bilateral fallopian tubes and cervix giant fibroid.
The volume of this cervix giant fibroid was about 12 cm×15 cm. A large open uterus with bilateral salpingectomy specimen and various fibroids were removed (Figure. 2).

Figure 2: A large open uterus with bilateral salpingectomy specimen and various fibroids removed.
The perioperative data and outcomes are presented in Table 2.
| Control group | Mean ± SD | Study group | Mean ± SD |
| Peroperative bleeding, ml | 111.75±18.66 | Peroperative bleeding, ml | 99.50±7.83 |
| Time of operation, min | 106.50±12.31 | Time of operation, min | 89.75±7.68 |
| VAS | 3.43±0.75 | VAS | 1.65±0.74 |
Table 2: Comparison of postoperative observation indexes between the two groups
The mean operative time of control group and study group was 106.50±12.31 min and 89.75±7.68 min (T=3.829, P=0.001), respectively. The Volumes of peroperative bleeding of control group and study group was 111.75±18.66 mL and 99.50±7.83 mL (T=7.303, P=0.005), respectively. The visual analogue pain scores (VAS) of two groups were 3.43±0.75 and 1.65±0.74 (T=10.707, P<0>
All available hematoxylin and eosin (H&E) samples from each case were reviewed by pathologists with expertise in Gynecologic Pathology. Samples were collected from tumor tissues of two cases of liomyoma, and then assessed for classic morphology. All cases displayed characteristic features of uterine fibroids. The pathological sections of these solid tumors showed that the tumor cells were distributed in bundles, braid and swirls, hyaline degeneration was observed in the tumor stroma, and the tumor cells grew in a benign long spindle shape (Figure. 3).

Figure 3: Histopathology of pathological sections of the solid tumors.
This indicates that most uterine leiomyomas are fusiform leiomyomas. The postoperative complications were compared between the two groups. The incidence of postoperative ureteral injury, bladder injury and urinary tract infection in the study group was significantly lower than that in the control group (Table 3, χ ̅=4.211, P=0.04).
| Control group | n (%) | Study group | n (%) |
| Ureteral injury | 1 (2.5%) | Ureteral injury | 0 (0.0%) |
| Bladder injury | 1 (2.5%) | Ureteral injury | 0 (0.0%) |
| Urinary tract infection | 2 (5.0%) | Urinary tract infection | 0 (0.0%) |
| Occurrence rate of complications | 4 (10.0%) | Occurrence rate of complications | 0 (0.0%) |
Table 3: Comparison of postoperative complications between the two groups
According to literature reports, the surgical methods for total hysterectomy for giant uterine fibroids include transabdominal, laparoscopic, and laparoscopic-assisted Yin, etc. [9]. Due to the difficulty in exposing the operating field and the increased risk of damage to the surrounding organs, especially the ureter and bladder, due to the huge uterine fibroids, total open hysterectomy was selected in this study. In addition, the research team placed ureteral catheter under the guidance of cystoscope before surgery as an intraoperative marker, and the operation was carried out smoothly without damage to the ureter and bladder. In the control group, there was one case of ureteral injury, which was caused by the displacement of the ureter to the side of the myoma due to the huge cervical myoma, and the ureter was accidentally injured when the right lateral uterine blood vessel was severed by forceps. Due to the intraoperative exploration before abdominal closure, intermittent bright seepage was found in the operation field of the right vaginal end, and the right ureteral injury was carefully identified again, and urologist was asked to perform ureteral repair in time. A ureteral stent was placed after surgery. Another case of bladder injury was due to the large uterine fibroids close to the anterior wall of the uterus. Due to the history of cesarean section, the bladder reflexion and peritoneum adhered to the abdominal wall, resulting in unclear boundaries, and the bladder injury was caused when the bladder was pushed down. The urological department was requested to perform bladder repair during the operation. Therefore, ureteral catheter is placed before operation for patients with large uterine fibroids undergoing total hysterectomy, which can indicate the ureter and avoid the ureter in time to avoid accidental injury.
There were no urinary tract infections in the study group and two urinary tract infections in the control group. In one case, the ureter could not be determined whether it was damaged due to bleeding and adhesion after hysterectomy due to giant uterine myoma, so the ureteral catheter was inserted by cystoscope after total hysterectomy, and urinary tract infection occurred after surgery; in the other case, the ureteral catheter was inserted for a long time during the operation to explore the ureter and the urinary catheter was retained for a long time, resulting in postoperative infection. It can be seen that repeated operation during the operation is easy to increase the probability of urinary tract infection. Preoperative cystoscopic ureteral catheter placement can make the ureter easy to identify, avoid repeated exploration, and reduce the incidence of urinary tract infection. In addition, preoperative indwelling ureteral catheter can make the surgical field of view wider, reduce the risk of ureteral injury in the case of narrow operating space, make the surgical progress smoother and faster, significantly shorten the operation time, significantly reduce the amount of intraoperative blood loss, and more conducive to postoperative recovery of patients.
As reported, hysterectomy may affect lower urinary tract function, and its most common long-term sequelae is stressing urinary incontinence [18]. It is believed that the pathological mechanism of the specific pathogenesis is related to the injury of pelvic floor support structure I during the operation. Since the main support and fix of the uterus, the sacral and cardinal ligaments around the uterus, were cut off in a total hysterectomy, so that the anatomical position of the bladder and the angle between the urethra changed [12]. During the operation, routine hand touch of the ureter was performed to determine whether there was any damage. For those who were uncertain about whether there was damage, urology was asked to assist in determining during the operation, and ureteral stent was placed or ureteral and bladder repair was performed if necessary.
The tumor cells were distributed in bundles, braid and swirls, hyaline degeneration was observed in the tumor stroma, and the tumor cells grew in a benign long spindle shape. This indicates that most uterine leiomyomas are fusiform leiomyomas. However, in rare cases, cellular-rich and intravenously leiomyoma can also occur, and the nature of leiomyoma in these special cases needs to be further determined.
Because the implementation of cystoscopic ureteral catheterization before total hysterectomy of giant uterine myoma can significantly reduce the probability of ureteral injury and make the operation safer, thus reducing medical disputes and improving patient satisfaction, it is a good method to carry out complex pelvic surgery to prevent ureteral injury. At present, ureteral injury has also been reported in laparoscopic giant myoma resection, which is not easy to detect during the operation. Therefore, it is more necessary to preset ureteral catheter before laparoscopic giant myoma resection in the future, so as to reduce the incidence of ureteral injury and reduce the risk of surgery. At present, the ureteral catheterization under cystoscope is assisted by the urological department. In the future, gynecologists will use hysteroscope instead of cystoscope to make effective and rational use of resources and benefit more patients.
With the rapid development of society, more and more attention has been paid to women's health, and women, especially rural women, are encouraged to screen for gynecological diseases as soon as possible, detect uterine fibroids in time, and intervene as soon as possible to avoid giant uterine fibroids, the possibility of malignant changes, resulting in surgical difficulties and increased surgical complications. At present, there are many surgical methods in giant hysteromyoma resection at home and abroad, and more and more attention is paid to safe and effective treatment programs. Cystoscopy combined with ureteral intubation has good effect in laparotomy for large uterine fibroids, which can shorten operation time, be safer, reduce doctor-patient disputes, improve patient satisfaction, and is easy to be applied and promoted in clinic in county-level hospitals. At present, cystoscopy combined with ureteral intubation requires the assistance of urological surgeons. For primary gynecologists, cystoscopy can be replaced by hysteroscopy. It is hoped that through the promotion of this technology, more patients will benefit.
The application of cystoscopy combined with ureteral intubation in total hysterectomy with large uterine fibroids will reduce the amount of intraoperative blood loss, shorten the operation time, and will not cause ureteral injury. And reduce patient pain; The postoperative complications of patients were significantly reduced, and the postoperative recovery was good, thus reducing the psychological and economic burden of patients and their families, greatly improving patient satisfaction, and reducing doctor-patient disputes. Thus, it provides favorable guarantee for county-level hospitals to carry out complex gynecological surgery.
Acknowledgements
None.
Author contributions
Conceptualization and design: CMW and HJH. Analysis and/or interpretation of the data: all authors. Drafting of the article: CMW and FPH. Critical revision of the article for important intellectual content: all authors. Final approval of the article: all authors. All authors read and approved the final version of the manuscript.
Funding
This work was supported by grants from the Wuwei municipal science and technology plan project (WW23B02SF017).
Availability of data and materials
The datasets used and/or analyzed during the current study available from the corresponding author on reasonable request.
Declarations
Ethics approval and consent to participate
The experiments involved in this study were permitted by ethics committee under Wuwei Liangzhou Hospital Ethics Committee. Informed consent to participate was obtained from all of the participants in the study. All patients had agreed and signed a contract to use their samples experimentally.
Consent for publication
Not applicable.
Competing interests
The authors declare that they have no competing interests.
Clearly Auctoresonline and particularly Psychology and Mental Health Care Journal is dedicated to improving health care services for individuals and populations. The editorial boards' ability to efficiently recognize and share the global importance of health literacy with a variety of stakeholders. Auctoresonline publishing platform can be used to facilitate of optimal client-based services and should be added to health care professionals' repertoire of evidence-based health care resources.
Journal of Clinical Cardiology and Cardiovascular Intervention The submission and review process was adequate. However I think that the publication total value should have been enlightened in early fases. Thank you for all.
Journal of Women Health Care and Issues By the present mail, I want to say thank to you and tour colleagues for facilitating my published article. Specially thank you for the peer review process, support from the editorial office. I appreciate positively the quality of your journal.
Journal of Clinical Research and Reports I would be very delighted to submit my testimonial regarding the reviewer board and the editorial office. The reviewer board were accurate and helpful regarding any modifications for my manuscript. And the editorial office were very helpful and supportive in contacting and monitoring with any update and offering help. It was my pleasure to contribute with your promising Journal and I am looking forward for more collaboration.
We would like to thank the Journal of Thoracic Disease and Cardiothoracic Surgery because of the services they provided us for our articles. The peer-review process was done in a very excellent time manner, and the opinions of the reviewers helped us to improve our manuscript further. The editorial office had an outstanding correspondence with us and guided us in many ways. During a hard time of the pandemic that is affecting every one of us tremendously, the editorial office helped us make everything easier for publishing scientific work. Hope for a more scientific relationship with your Journal.
The peer-review process which consisted high quality queries on the paper. I did answer six reviewers’ questions and comments before the paper was accepted. The support from the editorial office is excellent.
Journal of Neuroscience and Neurological Surgery. I had the experience of publishing a research article recently. The whole process was simple from submission to publication. The reviewers made specific and valuable recommendations and corrections that improved the quality of my publication. I strongly recommend this Journal.
Dr. Katarzyna Byczkowska My testimonial covering: "The peer review process is quick and effective. The support from the editorial office is very professional and friendly. Quality of the Clinical Cardiology and Cardiovascular Interventions is scientific and publishes ground-breaking research on cardiology that is useful for other professionals in the field.
Thank you most sincerely, with regard to the support you have given in relation to the reviewing process and the processing of my article entitled "Large Cell Neuroendocrine Carcinoma of The Prostate Gland: A Review and Update" for publication in your esteemed Journal, Journal of Cancer Research and Cellular Therapeutics". The editorial team has been very supportive.
Testimony of Journal of Clinical Otorhinolaryngology: work with your Reviews has been a educational and constructive experience. The editorial office were very helpful and supportive. It was a pleasure to contribute to your Journal.
Dr. Bernard Terkimbi Utoo, I am happy to publish my scientific work in Journal of Women Health Care and Issues (JWHCI). The manuscript submission was seamless and peer review process was top notch. I was amazed that 4 reviewers worked on the manuscript which made it a highly technical, standard and excellent quality paper. I appreciate the format and consideration for the APC as well as the speed of publication. It is my pleasure to continue with this scientific relationship with the esteem JWHCI.
This is an acknowledgment for peer reviewers, editorial board of Journal of Clinical Research and Reports. They show a lot of consideration for us as publishers for our research article “Evaluation of the different factors associated with side effects of COVID-19 vaccination on medical students, Mutah university, Al-Karak, Jordan”, in a very professional and easy way. This journal is one of outstanding medical journal.
Dear Hao Jiang, to Journal of Nutrition and Food Processing We greatly appreciate the efficient, professional and rapid processing of our paper by your team. If there is anything else we should do, please do not hesitate to let us know. On behalf of my co-authors, we would like to express our great appreciation to editor and reviewers.
As an author who has recently published in the journal "Brain and Neurological Disorders". I am delighted to provide a testimonial on the peer review process, editorial office support, and the overall quality of the journal. The peer review process at Brain and Neurological Disorders is rigorous and meticulous, ensuring that only high-quality, evidence-based research is published. The reviewers are experts in their fields, and their comments and suggestions were constructive and helped improve the quality of my manuscript. The review process was timely and efficient, with clear communication from the editorial office at each stage. The support from the editorial office was exceptional throughout the entire process. The editorial staff was responsive, professional, and always willing to help. They provided valuable guidance on formatting, structure, and ethical considerations, making the submission process seamless. Moreover, they kept me informed about the status of my manuscript and provided timely updates, which made the process less stressful. The journal Brain and Neurological Disorders is of the highest quality, with a strong focus on publishing cutting-edge research in the field of neurology. The articles published in this journal are well-researched, rigorously peer-reviewed, and written by experts in the field. The journal maintains high standards, ensuring that readers are provided with the most up-to-date and reliable information on brain and neurological disorders. In conclusion, I had a wonderful experience publishing in Brain and Neurological Disorders. The peer review process was thorough, the editorial office provided exceptional support, and the journal's quality is second to none. I would highly recommend this journal to any researcher working in the field of neurology and brain disorders.
Dear Agrippa Hilda, Journal of Neuroscience and Neurological Surgery, Editorial Coordinator, I trust this message finds you well. I want to extend my appreciation for considering my article for publication in your esteemed journal. I am pleased to provide a testimonial regarding the peer review process and the support received from your editorial office. The peer review process for my paper was carried out in a highly professional and thorough manner. The feedback and comments provided by the authors were constructive and very useful in improving the quality of the manuscript. This rigorous assessment process undoubtedly contributes to the high standards maintained by your journal.
International Journal of Clinical Case Reports and Reviews. I strongly recommend to consider submitting your work to this high-quality journal. The support and availability of the Editorial staff is outstanding and the review process was both efficient and rigorous.
Thank you very much for publishing my Research Article titled “Comparing Treatment Outcome Of Allergic Rhinitis Patients After Using Fluticasone Nasal Spray And Nasal Douching" in the Journal of Clinical Otorhinolaryngology. As Medical Professionals we are immensely benefited from study of various informative Articles and Papers published in this high quality Journal. I look forward to enriching my knowledge by regular study of the Journal and contribute my future work in the field of ENT through the Journal for use by the medical fraternity. The support from the Editorial office was excellent and very prompt. I also welcome the comments received from the readers of my Research Article.
Dear Erica Kelsey, Editorial Coordinator of Cancer Research and Cellular Therapeutics Our team is very satisfied with the processing of our paper by your journal. That was fast, efficient, rigorous, but without unnecessary complications. We appreciated the very short time between the submission of the paper and its publication on line on your site.
I am very glad to say that the peer review process is very successful and fast and support from the Editorial Office. Therefore, I would like to continue our scientific relationship for a long time. And I especially thank you for your kindly attention towards my article. Have a good day!
"We recently published an article entitled “Influence of beta-Cyclodextrins upon the Degradation of Carbofuran Derivatives under Alkaline Conditions" in the Journal of “Pesticides and Biofertilizers” to show that the cyclodextrins protect the carbamates increasing their half-life time in the presence of basic conditions This will be very helpful to understand carbofuran behaviour in the analytical, agro-environmental and food areas. We greatly appreciated the interaction with the editor and the editorial team; we were particularly well accompanied during the course of the revision process, since all various steps towards publication were short and without delay".
I would like to express my gratitude towards you process of article review and submission. I found this to be very fair and expedient. Your follow up has been excellent. I have many publications in national and international journal and your process has been one of the best so far. Keep up the great work.
We are grateful for this opportunity to provide a glowing recommendation to the Journal of Psychiatry and Psychotherapy. We found that the editorial team were very supportive, helpful, kept us abreast of timelines and over all very professional in nature. The peer review process was rigorous, efficient and constructive that really enhanced our article submission. The experience with this journal remains one of our best ever and we look forward to providing future submissions in the near future.
I am very pleased to serve as EBM of the journal, I hope many years of my experience in stem cells can help the journal from one way or another. As we know, stem cells hold great potential for regenerative medicine, which are mostly used to promote the repair response of diseased, dysfunctional or injured tissue using stem cells or their derivatives. I think Stem Cell Research and Therapeutics International is a great platform to publish and share the understanding towards the biology and translational or clinical application of stem cells.
I would like to give my testimony in the support I have got by the peer review process and to support the editorial office where they were of asset to support young author like me to be encouraged to publish their work in your respected journal and globalize and share knowledge across the globe. I really give my great gratitude to your journal and the peer review including the editorial office.
I am delighted to publish our manuscript entitled "A Perspective on Cocaine Induced Stroke - Its Mechanisms and Management" in the Journal of Neuroscience and Neurological Surgery. The peer review process, support from the editorial office, and quality of the journal are excellent. The manuscripts published are of high quality and of excellent scientific value. I recommend this journal very much to colleagues.
Dr.Tania Muñoz, My experience as researcher and author of a review article in The Journal Clinical Cardiology and Interventions has been very enriching and stimulating. The editorial team is excellent, performs its work with absolute responsibility and delivery. They are proactive, dynamic and receptive to all proposals. Supporting at all times the vast universe of authors who choose them as an option for publication. The team of review specialists, members of the editorial board, are brilliant professionals, with remarkable performance in medical research and scientific methodology. Together they form a frontline team that consolidates the JCCI as a magnificent option for the publication and review of high-level medical articles and broad collective interest. I am honored to be able to share my review article and open to receive all your comments.
“The peer review process of JPMHC is quick and effective. Authors are benefited by good and professional reviewers with huge experience in the field of psychology and mental health. The support from the editorial office is very professional. People to contact to are friendly and happy to help and assist any query authors might have. Quality of the Journal is scientific and publishes ground-breaking research on mental health that is useful for other professionals in the field”.
Dear editorial department: On behalf of our team, I hereby certify the reliability and superiority of the International Journal of Clinical Case Reports and Reviews in the peer review process, editorial support, and journal quality. Firstly, the peer review process of the International Journal of Clinical Case Reports and Reviews is rigorous, fair, transparent, fast, and of high quality. The editorial department invites experts from relevant fields as anonymous reviewers to review all submitted manuscripts. These experts have rich academic backgrounds and experience, and can accurately evaluate the academic quality, originality, and suitability of manuscripts. The editorial department is committed to ensuring the rigor of the peer review process, while also making every effort to ensure a fast review cycle to meet the needs of authors and the academic community. Secondly, the editorial team of the International Journal of Clinical Case Reports and Reviews is composed of a group of senior scholars and professionals with rich experience and professional knowledge in related fields. The editorial department is committed to assisting authors in improving their manuscripts, ensuring their academic accuracy, clarity, and completeness. Editors actively collaborate with authors, providing useful suggestions and feedback to promote the improvement and development of the manuscript. We believe that the support of the editorial department is one of the key factors in ensuring the quality of the journal. Finally, the International Journal of Clinical Case Reports and Reviews is renowned for its high- quality articles and strict academic standards. The editorial department is committed to publishing innovative and academically valuable research results to promote the development and progress of related fields. The International Journal of Clinical Case Reports and Reviews is reasonably priced and ensures excellent service and quality ratio, allowing authors to obtain high-level academic publishing opportunities in an affordable manner. I hereby solemnly declare that the International Journal of Clinical Case Reports and Reviews has a high level of credibility and superiority in terms of peer review process, editorial support, reasonable fees, and journal quality. Sincerely, Rui Tao.
Clinical Cardiology and Cardiovascular Interventions I testity the covering of the peer review process, support from the editorial office, and quality of the journal.
Clinical Cardiology and Cardiovascular Interventions, we deeply appreciate the interest shown in our work and its publication. It has been a true pleasure to collaborate with you. The peer review process, as well as the support provided by the editorial office, have been exceptional, and the quality of the journal is very high, which was a determining factor in our decision to publish with you.
The peer reviewers process is quick and effective, the supports from editorial office is excellent, the quality of journal is high. I would like to collabroate with Internatioanl journal of Clinical Case Reports and Reviews journal clinically in the future time.
Clinical Cardiology and Cardiovascular Interventions, I would like to express my sincerest gratitude for the trust placed in our team for the publication in your journal. It has been a true pleasure to collaborate with you on this project. I am pleased to inform you that both the peer review process and the attention from the editorial coordination have been excellent. Your team has worked with dedication and professionalism to ensure that your publication meets the highest standards of quality. We are confident that this collaboration will result in mutual success, and we are eager to see the fruits of this shared effort.
Dear Dr. Jessica Magne, Editorial Coordinator 0f Clinical Cardiology and Cardiovascular Interventions, I hope this message finds you well. I want to express my utmost gratitude for your excellent work and for the dedication and speed in the publication process of my article titled "Navigating Innovation: Qualitative Insights on Using Technology for Health Education in Acute Coronary Syndrome Patients." I am very satisfied with the peer review process, the support from the editorial office, and the quality of the journal. I hope we can maintain our scientific relationship in the long term.
Dear Monica Gissare, - Editorial Coordinator of Nutrition and Food Processing. ¨My testimony with you is truly professional, with a positive response regarding the follow-up of the article and its review, you took into account my qualities and the importance of the topic¨.
Dear Dr. Jessica Magne, Editorial Coordinator 0f Clinical Cardiology and Cardiovascular Interventions, The review process for the article “The Handling of Anti-aggregants and Anticoagulants in the Oncologic Heart Patient Submitted to Surgery” was extremely rigorous and detailed. From the initial submission to the final acceptance, the editorial team at the “Journal of Clinical Cardiology and Cardiovascular Interventions” demonstrated a high level of professionalism and dedication. The reviewers provided constructive and detailed feedback, which was essential for improving the quality of our work. Communication was always clear and efficient, ensuring that all our questions were promptly addressed. The quality of the “Journal of Clinical Cardiology and Cardiovascular Interventions” is undeniable. It is a peer-reviewed, open-access publication dedicated exclusively to disseminating high-quality research in the field of clinical cardiology and cardiovascular interventions. The journal's impact factor is currently under evaluation, and it is indexed in reputable databases, which further reinforces its credibility and relevance in the scientific field. I highly recommend this journal to researchers looking for a reputable platform to publish their studies.
Dear Editorial Coordinator of the Journal of Nutrition and Food Processing! "I would like to thank the Journal of Nutrition and Food Processing for including and publishing my article. The peer review process was very quick, movement and precise. The Editorial Board has done an extremely conscientious job with much help, valuable comments and advices. I find the journal very valuable from a professional point of view, thank you very much for allowing me to be part of it and I would like to participate in the future!”
Dealing with The Journal of Neurology and Neurological Surgery was very smooth and comprehensive. The office staff took time to address my needs and the response from editors and the office was prompt and fair. I certainly hope to publish with this journal again.Their professionalism is apparent and more than satisfactory. Susan Weiner
My Testimonial Covering as fellowing: Lin-Show Chin. The peer reviewers process is quick and effective, the supports from editorial office is excellent, the quality of journal is high. I would like to collabroate with Internatioanl journal of Clinical Case Reports and Reviews.
My experience publishing in Psychology and Mental Health Care was exceptional. The peer review process was rigorous and constructive, with reviewers providing valuable insights that helped enhance the quality of our work. The editorial team was highly supportive and responsive, making the submission process smooth and efficient. The journal's commitment to high standards and academic rigor makes it a respected platform for quality research. I am grateful for the opportunity to publish in such a reputable journal.
My experience publishing in International Journal of Clinical Case Reports and Reviews was exceptional. I Come forth to Provide a Testimonial Covering the Peer Review Process and the editorial office for the Professional and Impartial Evaluation of the Manuscript.
I would like to offer my testimony in the support. I have received through the peer review process and support the editorial office where they are to support young authors like me, encourage them to publish their work in your esteemed journals, and globalize and share knowledge globally. I really appreciate your journal, peer review, and editorial office.
Dear Agrippa Hilda- Editorial Coordinator of Journal of Neuroscience and Neurological Surgery, "The peer review process was very quick and of high quality, which can also be seen in the articles in the journal. The collaboration with the editorial office was very good."
I would like to express my sincere gratitude for the support and efficiency provided by the editorial office throughout the publication process of my article, “Delayed Vulvar Metastases from Rectal Carcinoma: A Case Report.” I greatly appreciate the assistance and guidance I received from your team, which made the entire process smooth and efficient. The peer review process was thorough and constructive, contributing to the overall quality of the final article. I am very grateful for the high level of professionalism and commitment shown by the editorial staff, and I look forward to maintaining a long-term collaboration with the International Journal of Clinical Case Reports and Reviews.
To Dear Erin Aust, I would like to express my heartfelt appreciation for the opportunity to have my work published in this esteemed journal. The entire publication process was smooth and well-organized, and I am extremely satisfied with the final result. The Editorial Team demonstrated the utmost professionalism, providing prompt and insightful feedback throughout the review process. Their clear communication and constructive suggestions were invaluable in enhancing my manuscript, and their meticulous attention to detail and dedication to quality are truly commendable. Additionally, the support from the Editorial Office was exceptional. From the initial submission to the final publication, I was guided through every step of the process with great care and professionalism. The team's responsiveness and assistance made the entire experience both easy and stress-free. I am also deeply impressed by the quality and reputation of the journal. It is an honor to have my research featured in such a respected publication, and I am confident that it will make a meaningful contribution to the field.
"I am grateful for the opportunity of contributing to [International Journal of Clinical Case Reports and Reviews] and for the rigorous review process that enhances the quality of research published in your esteemed journal. I sincerely appreciate the time and effort of your team who have dedicatedly helped me in improvising changes and modifying my manuscript. The insightful comments and constructive feedback provided have been invaluable in refining and strengthening my work".
I thank the ‘Journal of Clinical Research and Reports’ for accepting this article for publication. This is a rigorously peer reviewed journal which is on all major global scientific data bases. I note the review process was prompt, thorough and professionally critical. It gave us an insight into a number of important scientific/statistical issues. The review prompted us to review the relevant literature again and look at the limitations of the study. The peer reviewers were open, clear in the instructions and the editorial team was very prompt in their communication. This journal certainly publishes quality research articles. I would recommend the journal for any future publications.
Dear Jessica Magne, with gratitude for the joint work. Fast process of receiving and processing the submitted scientific materials in “Clinical Cardiology and Cardiovascular Interventions”. High level of competence of the editors with clear and correct recommendations and ideas for enriching the article.
We found the peer review process quick and positive in its input. The support from the editorial officer has been very agile, always with the intention of improving the article and taking into account our subsequent corrections.
My article, titled 'No Way Out of the Smartphone Epidemic Without Considering the Insights of Brain Research,' has been republished in the International Journal of Clinical Case Reports and Reviews. The review process was seamless and professional, with the editors being both friendly and supportive. I am deeply grateful for their efforts.
To Dear Erin Aust – Editorial Coordinator of Journal of General Medicine and Clinical Practice! I declare that I am absolutely satisfied with your work carried out with great competence in following the manuscript during the various stages from its receipt, during the revision process to the final acceptance for publication. Thank Prof. Elvira Farina
Dear Jessica, and the super professional team of the ‘Clinical Cardiology and Cardiovascular Interventions’ I am sincerely grateful to the coordinated work of the journal team for the no problem with the submission of my manuscript: “Cardiometabolic Disorders in A Pregnant Woman with Severe Preeclampsia on the Background of Morbid Obesity (Case Report).” The review process by 5 experts was fast, and the comments were professional, which made it more specific and academic, and the process of publication and presentation of the article was excellent. I recommend that my colleagues publish articles in this journal, and I am interested in further scientific cooperation. Sincerely and best wishes, Dr. Oleg Golyanovskiy.
Dear Ashley Rosa, Editorial Coordinator of the journal - Psychology and Mental Health Care. " The process of obtaining publication of my article in the Psychology and Mental Health Journal was positive in all areas. The peer review process resulted in a number of valuable comments, the editorial process was collaborative and timely, and the quality of this journal has been quickly noticed, resulting in alternative journals contacting me to publish with them." Warm regards, Susan Anne Smith, PhD. Australian Breastfeeding Association.
Dear Jessica Magne, Editorial Coordinator, Clinical Cardiology and Cardiovascular Interventions, Auctores Publishing LLC. I appreciate the journal (JCCI) editorial office support, the entire team leads were always ready to help, not only on technical front but also on thorough process. Also, I should thank dear reviewers’ attention to detail and creative approach to teach me and bring new insights by their comments. Surely, more discussions and introduction of other hemodynamic devices would provide better prevention and management of shock states. Your efforts and dedication in presenting educational materials in this journal are commendable. Best wishes from, Farahnaz Fallahian.
Dear Maria Emerson, Editorial Coordinator, International Journal of Clinical Case Reports and Reviews, Auctores Publishing LLC. I am delighted to have published our manuscript, "Acute Colonic Pseudo-Obstruction (ACPO): A rare but serious complication following caesarean section." I want to thank the editorial team, especially Maria Emerson, for their prompt review of the manuscript, quick responses to queries, and overall support. Yours sincerely Dr. Victor Olagundoye.
Dear Ashley Rosa, Editorial Coordinator, International Journal of Clinical Case Reports and Reviews. Many thanks for publishing this manuscript after I lost confidence the editors were most helpful, more than other journals Best wishes from, Susan Anne Smith, PhD. Australian Breastfeeding Association.
Dear Agrippa Hilda, Editorial Coordinator, Journal of Neuroscience and Neurological Surgery. The entire process including article submission, review, revision, and publication was extremely easy. The journal editor was prompt and helpful, and the reviewers contributed to the quality of the paper. Thank you so much! Eric Nussbaum, MD
Dr Hala Al Shaikh This is to acknowledge that the peer review process for the article ’ A Novel Gnrh1 Gene Mutation in Four Omani Male Siblings, Presentation and Management ’ sent to the International Journal of Clinical Case Reports and Reviews was quick and smooth. The editorial office was prompt with easy communication.
Dear Erin Aust, Editorial Coordinator, Journal of General Medicine and Clinical Practice. We are pleased to share our experience with the “Journal of General Medicine and Clinical Practice”, following the successful publication of our article. The peer review process was thorough and constructive, helping to improve the clarity and quality of the manuscript. We are especially thankful to Ms. Erin Aust, the Editorial Coordinator, for her prompt communication and continuous support throughout the process. Her professionalism ensured a smooth and efficient publication experience. The journal upholds high editorial standards, and we highly recommend it to fellow researchers seeking a credible platform for their work. Best wishes By, Dr. Rakhi Mishra.
Dear Jessica Magne, Editorial Coordinator, Clinical Cardiology and Cardiovascular Interventions, Auctores Publishing LLC. The peer review process of the journal of Clinical Cardiology and Cardiovascular Interventions was excellent and fast, as was the support of the editorial office and the quality of the journal. Kind regards Walter F. Riesen Prof. Dr. Dr. h.c. Walter F. Riesen.
Dear Ashley Rosa, Editorial Coordinator, International Journal of Clinical Case Reports and Reviews, Auctores Publishing LLC. Thank you for publishing our article, Exploring Clozapine's Efficacy in Managing Aggression: A Multiple Single-Case Study in Forensic Psychiatry in the international journal of clinical case reports and reviews. We found the peer review process very professional and efficient. The comments were constructive, and the whole process was efficient. On behalf of the co-authors, I would like to thank you for publishing this article. With regards, Dr. Jelle R. Lettinga.
Dear Clarissa Eric, Editorial Coordinator, Journal of Clinical Case Reports and Studies, I would like to express my deep admiration for the exceptional professionalism demonstrated by your journal. I am thoroughly impressed by the speed of the editorial process, the substantive and insightful reviews, and the meticulous preparation of the manuscript for publication. Additionally, I greatly appreciate the courteous and immediate responses from your editorial office to all my inquiries. Best Regards, Dariusz Ziora
Dear Chrystine Mejia, Editorial Coordinator, Journal of Neurodegeneration and Neurorehabilitation, Auctores Publishing LLC, We would like to thank the editorial team for the smooth and high-quality communication leading up to the publication of our article in the Journal of Neurodegeneration and Neurorehabilitation. The reviewers have extensive knowledge in the field, and their relevant questions helped to add value to our publication. Kind regards, Dr. Ravi Shrivastava.
Dear Clarissa Eric, Editorial Coordinator, Journal of Clinical Case Reports and Studies, Auctores Publishing LLC, USA Office: +1-(302)-520-2644. I would like to express my sincere appreciation for the efficient and professional handling of my case report by the ‘Journal of Clinical Case Reports and Studies’. The peer review process was not only fast but also highly constructive—the reviewers’ comments were clear, relevant, and greatly helped me improve the quality and clarity of my manuscript. I also received excellent support from the editorial office throughout the process. Communication was smooth and timely, and I felt well guided at every stage, from submission to publication. The overall quality and rigor of the journal are truly commendable. I am pleased to have published my work with Journal of Clinical Case Reports and Studies, and I look forward to future opportunities for collaboration. Sincerely, Aline Tollet, UCLouvain.
Dear Ms. Mayra Duenas, Editorial Coordinator, International Journal of Clinical Case Reports and Reviews. “The International Journal of Clinical Case Reports and Reviews represented the “ideal house” to share with the research community a first experience with the use of the Simeox device for speech rehabilitation. High scientific reputation and attractive website communication were first determinants for the selection of this Journal, and the following submission process exceeded expectations: fast but highly professional peer review, great support by the editorial office, elegant graphic layout. Exactly what a dynamic research team - also composed by allied professionals - needs!" From, Chiara Beccaluva, PT - Italy.
Dear Maria Emerson, Editorial Coordinator, we have deeply appreciated the professionalism demonstrated by the International Journal of Clinical Case Reports and Reviews. The reviewers have extensive knowledge of our field and have been very efficient and fast in supporting the process. I am really looking forward to further collaboration. Thanks. Best regards, Dr. Claudio Ligresti
Dear Chrystine Mejia, Editorial Coordinator, Journal of Neurodegeneration and Neurorehabilitation. “The peer review process was efficient and constructive, and the editorial office provided excellent communication and support throughout. The journal ensures scientific rigor and high editorial standards, while also offering a smooth and timely publication process. We sincerely appreciate the work of the editorial team in facilitating the dissemination of innovative approaches such as the Bonori Method.” Best regards, Dr. Matteo Bonori.
I recommend without hesitation submitting relevant papers on medical decision making to the International Journal of Clinical Case Reports and Reviews. I am very grateful to the editorial staff. Maria Emerson was a pleasure to communicate with. The time from submission to publication was an extremely short 3 weeks. The editorial staff submitted the paper to three reviewers. Two of the reviewers commented positively on the value of publishing the paper. The editorial staff quickly recognized the third reviewer’s comments as an unjust attempt to reject the paper. I revised the paper as recommended by the first two reviewers.
Dear Maria Emerson, Editorial Coordinator, Journal of Clinical Research and Reports. Thank you for publishing our case report: "Clinical Case of Effective Fetal Stem Cells Treatment in a Patient with Autism Spectrum Disorder" within the "Journal of Clinical Research and Reports" being submitted by the team of EmCell doctors from Kyiv, Ukraine. We much appreciate a professional and transparent peer-review process from Auctores. All research Doctors are so grateful to your Editorial Office and Auctores Publishing support! I amiably wish our article publication maintained a top quality of your International Scientific Journal. My best wishes for a prosperity of the Journal of Clinical Research and Reports. Hope our scientific relationship and cooperation will remain long lasting. Thank you very much indeed. Kind regards, Dr. Andriy Sinelnyk Cell Therapy Center EmCell
Dear Editorial Team, Clinical Cardiology and Cardiovascular Interventions. It was truly a rewarding experience to work with the journal “Clinical Cardiology and Cardiovascular Interventions”. The peer review process was insightful and encouraging, helping us refine our work to a higher standard. The editorial office offered exceptional support with prompt and thoughtful communication. I highly value the journal’s role in promoting scientific advancement and am honored to be part of it. Best regards, Meng-Jou Lee, MD, Department of Anesthesiology, National Taiwan University Hospital.
Dear Editorial Team, Journal-Clinical Cardiology and Cardiovascular Interventions, “Publishing my article with Clinical Cardiology and Cardiovascular Interventions has been a highly positive experience. The peer-review process was rigorous yet supportive, offering valuable feedback that strengthened my work. The editorial team demonstrated exceptional professionalism, prompt communication, and a genuine commitment to maintaining the highest scientific standards. I am very pleased with the publication quality and proud to be associated with such a reputable journal.” Warm regards, Dr. Mahmoud Kamal Moustafa Ahmed
Dear Maria Emerson, Editorial Coordinator of ‘International Journal of Clinical Case Reports and Reviews’, I appreciate the opportunity to publish my article with your journal. The editorial office provided clear communication during the submission and review process, and I found the overall experience professional and constructive. Best regards, Elena Salvatore.
Dear Mayra Duenas, Editorial Coordinator of ‘International Journal of Clinical Case Reports and Reviews Herewith I confirm an optimal peer review process and a great support of the editorial office of the present journal
Dear Editorial Team, Clinical Cardiology and Cardiovascular Interventions. I am really grateful for the peers review; their feedback gave me the opportunity to reflect on the message and impact of my work and to ameliorate the article. The editors did a great job in addition by encouraging me to continue with the process of publishing.
Dear Cecilia Lilly, Editorial Coordinator, Endocrinology and Disorders, Thank you so much for your quick response regarding reviewing and all process till publishing our manuscript entitled: Prevalence of Pre-Diabetes and its Associated Risk Factors Among Nile College Students, Sudan. Best regards, Dr Mamoun Magzoub.
International Journal of Clinical Case Reports and Reviews is a high quality journal that has a clear and concise submission process. The peer review process was comprehensive and constructive. Support from the editorial office was excellent, since the administrative staff were responsive. The journal provides a fast and timely publication timeline.
Dear Maria Emerson, Editorial Coordinator of International Journal of Clinical Case Reports and Reviews, What distinguishes International Journal of Clinical Case Report and Review is not only the scientific rigor of its publications, but the intellectual climate in which research is evaluated. The submission process is refreshingly free of unnecessary formal barriers and bureaucratic rituals that often complicate academic publishing without adding real value. The peer-review system is demanding yet constructive, guided by genuine scientific dialogue rather than hierarchical or authoritarian attitudes. Reviewers act as collaborators in improving the manuscript, not as gatekeepers imposing arbitrary standards. This journal offers a rare balance: high methodological standards combined with a respectful, transparent, and supportive editorial approach. In an era where publishing can feel more burdensome than research itself, this platform restores the original purpose of peer review — to refine ideas, not to obstruct them Prof. Perlat Kapisyzi, FCCP PULMONOLOGIST AND THORACIC IMAGING.
Dear Grace Pierce, International Journal of Clinical Case Reports and Reviews I appreciate the opportunity to review for Auctore Journal, as the overall editorial process was smooth, transparent and professionally managed. This journal maintains high scientific standards and ensures timely communications with authors, which is truly commendable. I would like to express my special thanks to editor Grace Pierce for his constant guidance, promt responses, and supportive coordination throughout the review process. I am also greatful to Eleanor Bailey from the finance department for her clear communication and efficient handling of all administrative matters. Overall, my experience with Auctore Journal has been highly positive and rewarding. Best regards, Sabita sinha
Dear Mayra Duenas, Editorial Coordinator of the journal IJCCR, I write here a little on my experience as an author submitting to the International Journal of Clinical Case Reports and Reviews (IJCCR). This was my first submission to IJCCR and my manuscript was inherently an outsider’s effort. It attempted to broadly identify and then make some sense of life’s under-appreciated mysteries. I initially had responded to a request for possible submissions. I then contacted IJCCR with a tentative topic for a manuscript. They quickly got back with an approval for the submission, but with a particular requirement that it be medically relevant. I then put together a manuscript and submitted it. After the usual back-and-forth over forms and formality, the manuscript was sent off for reviews. Within 2 weeks I got back 4 reviews which were both helpful and also surprising. Surprising in that the topic was somewhat foreign to medical literature. My subsequent updates in response to the reviewer comments went smoothly and in short order I had a series of proofs to evaluate. All in all, the whole publication process seemed outstanding. It was both helpful in terms of the paper’s content and also in terms of its efficient and friendly communications. Thank you all very much. Sincerely, Ted Christopher, Rochester, NY.