AUCTORES
Globalize your Research
Research Article | DOI: https://doi.org/10.31579/2768-2757/193
North Manchester General Hospital, Department of Urology, Manchester, M8 5RB. United Kingdom.
*Corresponding Author: Anthony Kodzo-Grey Venyo., North Manchester General Hospital, Department of Urology, Manchester, M8 5RB. United Kingdom.
Citation: Grey Venyo AK, (2026), Synovial Sarcoma of The Kidney: An Update, Journal of Clinical Surgery and Research, 7(1); DOI:10.31579/2768-2757/193
Copyright: © 2026, Anthony Kodzo-Grey Venyo. This is an open access article distributed under the Creative Commons Attribution License, which permits unrestricted use, distribution, and reproduction in any medium, provided the original work is properly cited.
Received: 15 December 2025 | Accepted: 31 December 2025 | Published: 08 January 2026
Keywords: synovial sarcoma of kidney; renal synovial sarcoma; spindle cell tumour; biopsy; histopathology; immunohistochemistry; molecular and cytogenetics studies; nephrectomy; radiotherapy; chemotherapy; aggressive; poor prognosis; further studies
A Synovial sarcoma (SS) is an uncommon mesenchymal tumour entity which accounts for 5% to 10% of soft tissue sarcomas (STS). Primary renal synovial sarcoma (PRSS) is a very rare, rapidly growing tumour, which is associated with the potential for the development of metastatic disease. The main prognostic factors of PRSS include the size of the tumour, the histopathology grade, as well as translocation t (X; 18) (p11.2; q11.2) (fusion of SYT gene -chromosome 18- with SSX genes (1, 2 or 4)-chromosome X) is recognised as the commonest pathognomonic sign. Aggressive surgical resection of the tumour with complete excision of the together with concomitant regional lymphadenectomy is the treatment of choice for majority of PRSSs, while additional en bloc resection of the adjacent affected organs is often undertaken. At the moment, the role of pre-operative or post-operative chemotherapy has remained equivocal. The prognosis of patients with PRSS has tended to be poor, as the 5-year survival rate has been documented to vary from 20% to 30% in reported cases and studies and further deterioration in the outcome pursuant to treatment has been documented in association with the pathology examination finding of a high mitotic activity. Local recurrence even after complete radical excision of the kidney tumour has remained the most frequent recurrence which eventually emanates in the development of distant metastases and death of patients.
Synovial sarcoma (SS) is stated to be a rare mesenchymal tumour entity which accounts for 5% to 10% of soft tissue sarcomas (STS) [1] [2]. Lejars and Rubens-Duval were stated to have reported and initially named the tumour as synovial endothelioma in 1919. The most predominant postulate for the origin of synovial sarcoma was iterated to related to the retrograde differentiation of an undefined mesenchymal cell [1] [3] [4]. It has been iterated that this type of tumour could be encountered either within the extremities close to articulations in about 85% to 95% of cases or bursas, sinews and the head and neck region in about 10% of cases [1] [5]. It has also been iterated that synovial sarcoma could be identified in very unusual parts of the human body without correlation to the joints, including the nervous system, thoracic and abdominal wall cavity, prostate, fallopian tubes, retroperitoneum, bones and the kidneys [1] [5] [6] [7] [8] [9]. Primary renal synovial sarcoma (PRSS) has been stated to constitute between 1% and 3% among all kidney tumours [1] [10]. It had been iterated that the first description of synovial sarcoma of the kidney was in 1999 by Faria, while it had been previously categorized as an embryonal sarcoma of the kidney [1] [11] [12]. It has been pointed out that the clinical manifesting features of PRSS had typically ranged from presence of an enlarged abdominal mass, vague pain and haematuria to local invasion as well as liver and lung metastatic disease [1] [13] [14] [15] [16] [17]. In view of the limited number reported sporadic cases and case series of PRSSs, there is so far no global consensus opinion guidelines related to the diagnosis and treatment of this uncommon tumour entity. There is therefore a global need for guidelines to be agreed upon regarding the diagnostic criteria and options of treatment for this rare aggressive tumour. [1] [18] [19] [20] [21]. Before guidelines can be made regarding the diagnostic features and management options, it would be necessary for urologists, oncologists, and pharmacotherapy research workers, radiologists and pathologists would need to study the tumour carefully and multi-disciplinary global treatment trials need to be established quickly and clinicians who treat new cases of PRSS should be encouraged to report their cases in the literature so that lessons can be learnt from their experiences. This article on synovial carcinoma of the kidney is divided into two parts (A) Overview which has discussed the general overview aspects of synovial sarcoma and (B) Miscellaneous narrations from some case reports, case series and studies on synovial sarcoma of the kidney.
To review and update the literature on synovial sarcoma of kidney.
Internet data bases were searched including: Google; Google Scholar; Yahoo; and PUBMED. The search words that were used included: Synovial sarcoma of kidney; Renal synovial sarcoma. Eighty-four (84) references were identified which were used to write the article which has been divided into two parts (A): Overview which has discussed general overview aspects of synovial sarcoma and (B) Miscellaneous narrations from some case reports, case series and studies on synovial sarcoma of the kidney.
[A] OVERVIEW [22]
Definition / general statement
Essential features [22]
Terminology
Epidemiology [22]
Sites [22]
With regard to the sites of the human body that could be afflicted by synovial sarcoma, synovial sarcoma can occur anywhere within the body and the primary site distribution has been summated as follows: [23]
Pathophysiology [22]
Aetiology [22]
Clinical features
It has been documented that synovial sarcoma is very rarely associated with previous radiotherapy [29]
Diagnosis [22]
Radiology description
The radiology imaging features of synovial sarcoma had been summated as follows: [22]
Prognostic factors [22]
Treatment
The treatment options of synovial sarcoma had been summated as follows:
Gross description
Summations made on the macroscopy pathology examination features synovial sarcoma include the ensuing: [22]
Microscopic (histologic) description
The ensuing summations had been made regarding the microscopy pathology examination features of synovial sarcoma of the kidney: [22]
Immunohistochemistry staining studies
Positive stains
It has been stated that immunohistochemistry staining studies in synovial sarcoma cases demonstrate that the tumour cells exhibit positive staining for the following tumour markers:
Negative stains
Electron microscopy description
Molecular / cytogenetics description
Differential diagnosis
[B] Miscellaneous Narrations and Discussions from Some Case Sreies and Studies Related to Synovial Sarcoma of Kidney
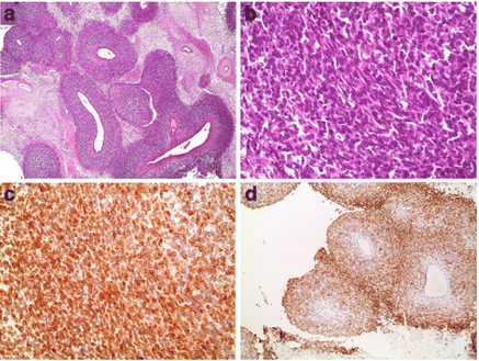
El Chediak et al. [69] reported a 26-year-old male who had experienced recurrent flank pain and visible haematuria over several months. He had had ultrasound of renal tract which demonstrated a lower pole mass that was concerning for renal cell carcinoma. After confirmation of a right kidney tumour, which measured 6 cm, by a contrast-enhanced CT scan, he underwent right radical nephrectomy with para-caval lymph node dissection, at another institute, with pathology examination of the tumour in the hospital which initially was interpreted as depicting features of as an adult type of Wilm’s tumour. After his referral to the institution of El Chediak et al. [69] the pathology slides of the kidney tumour were re=examined by the pathologist of the new establishment, where the morphology and immunohistochemistry staining profiles were analysed, and results were adjudged to be consistent with the diagnostic features of synovial sarcoma of the right kidney. The tumour was described as monophasic and had shown a cellular spindle cell proliferation with a prominent perivascular growth pattern and partial necrosis. The tumour cells had exhibited positive staining for vimentin, BCL-2, CD56, MCK (partial), and negative staining for CD10, 31, 34, 99, 117, CK7, Desmin, SMA, MyoD1, EMA, WT-1, S100, RCC, PAX8, GATA-3, and Synaptophysin (see figure 1).

Figure 1: Partially necrotic, densely cellular proliferation with a prominent perivascular growth pattern (a, H&E stain, 40×). Tumor cells are essentially spindle in appearance (b, H&E stain, 400×), and express vimentin (not shown), focal keratin (not shown), BCL-2 (c, 400×), and CD56 (d, 100×) Reproduced from: [69] under creative commons attribution license.
Molecular studies on the paraffin-embedded blocks were undertaken to test for the t(X; 18) SYT/SSX fusion transcript, utilising RT-PCR, at the University of Michigan Health System. RT-PCR amplification was undertaken using fluorescent dye-labelled primers, that are specific for the SYT-SS18 and SYT-SSX genes. The PCR products were then detected and sized by capillary electrophoresis to identify the presence of chimeric transcripts. A concurrent internal control was run to ensure the integrity of the mRNA. FISH analysis was also undertaken utilising a break-apart style probe. The results were unfortunately negative due to the low-quality samples. According to these findings, a diagnosis of primary monophasic SS of the kidney was made. It was elected for serial follow up and no adjuvant treatment, thereafter. Six months subsequently, a follow-up CT scan had identified a 1.5 cm x 1.7 cm left lower lobe lung nodule which was suggestive of metastasis. Consequently, he underwent a smooth left lower lobe wedge resection. Fusion gene product analysis on the resected lung tissue, via FISH, revealed SYT-SSX 2 gene rearrangement had confirmed features of SS and a diagnosis of was confirmed. Three months subsequently, he had CT scan of the chest, abdomen, and pelvis which demonstrated another disease recurrence in the nephrectomy surgical bed, with tumour invasion of the inferior vena cava and the presence of conglomerate suspicious aorto-iliac lymph nodes. A multidisciplinary team meeting discussion was held where it was decided to commence the patient on Doxorubicin 50 g/m2 and Ifosfamide 5 g/m2 chemotherapeutic regimen. Following the third cycle, of combination chemotherapy, he had CT scan and MRI, which demonstrated 30% to 50% interval decrease in size of the tumour masses in the right nephrectomy bed and adjacent retroperitoneum, IVC tumour, and distal aortocaval lymph nodes, which indicated partial treatment response. The patient received a total of 5 cycles, with no adjunct side effects. He had a follow-up MRI scan, several months subsequently, which revealed continued decrease in the size of 3 masses at the previous surgical site, inferior vena cava (IVC) tumour invasion, and aortocaval lymph nodes, indicating continued response to treatment. One of the small masses in the nephrectomy bed had almost completely resolved, upon radiology imaging, with no new progression. It was then decided to have the patient undergo surgical resection of the residual masses at the previous surgical bed with removal of the aorto-caval lymph nodes, thrombectomy with vena cava repair. All surgical margins were negative. The final pathology examination of the conceived tumour demonstrated necrosis, with no viable tumour identified. Thus, a complete pathology response was achieved utilising the Adriamycin/Ifosfamide regimen, a year after the initial nephrectomy. A sample of the kidney lysate was again tested for the (X; 18) SYT/SSX fusion transcript via RT-PCR and FISH, and results were negative, suggestive of complete treatment response.
El Chediak et al. [69] made the ensuing conclusions:
Kim et al. [70] reported two cases of primary synovial sarcoma of the kidney. Both patients had a mass within the upper part of the right kidney without any primary extrarenal neoplastic lesions. Grossly, the tumours were found to be soft to rubbery masses they had measured 5.5 cm and 5 cm in diameter, respectively. Histologically, both tumours were found to be poorly differentiated synovial sarcoma. The lesions had exhibited a hypercellular solid or lobular growth of round, oval, or short spindle cells in variably solid sheets, in intersecting fascicles, or in a haphazard fashion. Areas of solid aggregation or fascicles of the tumour cells alternating with hypocellular myxoid tissues, together with areas displaying a prominent hemangiopericytoma-like pattern, were identified. Immunohistochemistry staining studies of the tumour had demonstrated that the tumour cells had exhibited diffusely positive staining for vimentin, and a few tumour cells had exhibited positive staining for cytokeratin, epithelial membrane antigen, and neurofilament. The tumour cells exhibited negative staining for S-100 protein, CD34, smooth muscle actin, and desmin, whereas CD56 and CD99 were positive. In both cases, reverse transcription–polymerase chain reaction utilising ribonucleic acid extracted from formalin-fixed, paraffin-embedded tissues identified SYT-SSX2 fusion gene transcripts, which were characteristic molecular findings of synovial sarcoma. One patient died 10 months after the initial diagnosis. Kim et al. [71] concluded that these tumours (synovial sarcomas) are unique cases of primary synovial sarcoma of the kidney which were confirmed by molecular study. Divetia et al. [71] stated that the renal parenchyma is a rare site of origin for primary synovial sarcoma (SS). Divetia et al. [71] described the clinicopathology, immunohistochemical, and molecular analysis of 7 cases of synovial sarcoma of the kidney. There were 5 female and 2 male patients, whose ages had ranged between 15 years and 46 years. They had manifested with solitary renal masses which had ranged in size from 10.0 cm to 17.0 cm in greatest dimension. Radical nephrectomy was undertaken in all cases. Upon macroscopy examination, the tumours were noted to be large, partially necrotic, and they were observed to contain smooth-walled cysts in 4 cases. Histologically, the tumours were typified by monomorphic spindle cells with indistinct cell borders arranged in intersecting nodular foci with hypocellular myxoid areas, together with a prominent hemangiopericytomatous pattern. The cysts were lined by hobnailed cells with eosinophilic cytoplasm. Immunohistochemistry staining studies of the tumour had demonstrated that the tumour cells had exhibited positive staining for BCL-2 in all 6 cases in which it was performed, followed by vimentin with positive staining in 4 out of 5 cases and for MIC2 (CD99; positive staining in 2 out of 5 cases, calponin with positive staining in 2 out of 2 cases, and epithelial membrane antigen with positive staining in 1 out of 4 cases. Stains for cytokeratin and CD34 were consistently negative. Reverse transcription–polymerase chain reaction (RT-PCR) utilising RNA extracted from formalin-fixed paraffin-embedded tissues was carried out in 4 cases and SYT-SSX fusion gene transcript, which is the diagnostic hallmark of SS, was detected. Two patients developed pulmonary metastasis and died 6 and 12 months after diagnosis, respectively. Divetia et al. [71] concluded that:
Chen et al. [72] reported a case of primary renal synovial sarcoma (SS) in a 48-year-old man. The patient manifested with haematuria and he was found to have a large tumour within his left kidney upon computed tomography scan. Pathology examination of the tumour specimen demonstrated a highly cellular spindle cell neoplasm with minimal pleomorphism. The major differential diagnoses included leiomyosarcoma, hemangiopericytoma, and synovial sarcoma. The presence of focal areas with a biphasic pattern, uniformly positive on immunohistochemistry staining for bcl-2, focally positive staining for epithelial membrane antigen and cytokeratin, and negative immunohistochemistry staining for CD-34, smooth muscle actin and S-100 established the diagnosis. The diagnosis of synovial sarcoma was subsequently confirmed by molecular testing for t(X;18) translocation. Chen et al. [72] stated the following:
Abbas et al. [73] stated that synovial sarcoma (SS) is a soft tissue, generally deep- seated neoplasms which occurs generally within the proximity of large joints. Abbas et al. [73] reported of a case of a 33-year-old man who was diagnosed with primary SS of the kidney which is an extremely rare tumour that accounts for less than 2% of malignant renal tumours. Abbas et al. [73] made the ensuing iterations:
Schoolmeester et al. [74] reported the clinicopathology and immunohistochemistry staining features of 16 cases of genetically confirmed primary synovial sarcoma of the kidney. The cases had afflicted 9 men and 7 women whose ages had ranged from 17 years to 78 years and their mean age was 46 years. The tumours were grossly large, solid, and variably cystic and they had measured between 2.2 cm to 19.0 cm and their mean measurement was 8.6 cm. Microscopically, all the tumours were found to be the monophasic type and diffusely immunoreactive for TLE1 and BCL-2. Focal pankeratin positivity was found in just under half. Ten cases were reported to have carried an SS18-SSX2 fusion transcript, and 5 cases had shown an SS18-SSX1 transcript by reverse transcription polymerase chain reaction. The remaining case had demonstrated SS18 rearrangement by fluorescence in situ hybridization. Clinical follow-up information was available for 12 patients and the follow-ups had between 1 month to 77 months with a mean follow-up of 32.5 months. Fourteen patients underwent radical nephrectomy, and 3 patients had lung metastases at presentation. Six patients died of disease within 1 month to 58 months (mean, 31 months) of their diagnosis. Five patients were alive without evidence of disease 12 to 77 months (mean, 39 months) after surgery. A single patient was alive with metastases to the spine 11 months after surgery. Schoolmeester et al. [74] made the following conclusions:
Chung et al. [76] stated that primary synovial sarcoma arising from the kidney is extremely rare. Chung et al. [76] reported two cases with primary renal synovial sarcoma. Chung et al. [76] also reported that both cases were initially diagnosed as renal cell carcinoma. The first case was a 30-year-old woman who had manifested with right flank soreness. The patient had ultrasound scan which demonstrated a multiloculated cystic tumour that measured 9 cm × 7 cm. She underwent hand-assisted laparoscopic radical nephrectomy; there was no recurrence during 15 months of her follow-up. The second case was a 49-year-old woman who had manifested with a palpable mass in the left upper quadrant of her abdomen of 1 month's duration. She had computed tomography scan which demonstrated a heterogeneously contrast-enhanced tumour that measured 13 cm × 11 cm at the left retroperitoneum with displacement of the pancreas and the left kidney. Hand-assisted retroperitoneoscopic radical nephrectomy was undertaken. She had no evidence of recurrence after 27 months of follow-up. Pathology examination of the tumours of the two patients demonstrated histopathology and immunochemistry staining features of synovial sarcoma with coexisting spindle and epithelial cells. Chung et al. [76] made the ensuing suggestion:
Dassi et al. [77] reported a 20-year-old female who had presented with a mild left flank pain of one-week duration, with no associated history of haematuria or any other systemic symptoms. Her clinical examination demonstrated a large non-tender lump which had involved her left lumbar and left hypochondriac region. She had computed tomography scan of her abdomen and pelvis which demonstrated large heterogeneously contrast-enhancing mass of 14.3 cm × 9.4 cm × 8.5 cm over the middle-region and lower pole of her left kidney with areas of necrosis within it. An iso-to-hypodense heterogeneously enhancing thrombus was noted in her left renal vein and adjacent portion of the inferior vena cava [see figures 2 and 3].

Figure 2: CT image showing tumor invading almost whole of kidney and involving IVC. Reproduced from [77] under Creative Commons Attribution License.

Figure 3: CT image (coronal) Reproduced from [77] under the Creative Commons Attribution License.

Figure 4: Macroscopically, tumour seen replacing whole of kidney with tumour thrombus in left renal vein. Reproduced from: [77] under the Creative Commons Attribution License.

Figure 5: Tumour composed of spindle cells arranged in intersecting fascicles alternating with hypocellular areas. Reproduced from: [77] under the Creative Commons Attribution License.

Figure 6: Microscopic image showing spindle cells. Reproduced from: [77] under the Creative Commons Attribution License.
Renal cell carcinoma was the provisional suspected pre-operative diagnosis. Intraoperatively, a tumour mass was visualised which had replaced the whole kidney. Left radical nephrectomy was undertaken and left renal vein ligated flush with the IVC after milking the thrombus into the left renal vein. Gross examination of the specimen demonstrated a tumour that measured 12.8 cm × 11cm × 4.5 cm, and which had replaced the entire renal parenchyma, and which had involved the pelvi-calyceal system and medulla with thin rim of cortex seen all around. Tumour thrombus was visualized within the lumen of left renal vein [4]. Microscopy examination of the tumour had demonstrated that the tumour was composed of spindle cells that were arranged in intersecting fascicles, alternating with hypocellular areas, suggestive of monophasic synovial sarcoma (SS) [see figures 5 and 6]. On immunohistochemistry staining studies, the tumour cells were noted to have exhibited positive expression for: bcl-2, calponin, and EMA. Both Mic-2 and CK were focally positive. Molecular analysis had revealed a translocation between the SYT gene on chromosome 18 and SSX on chromosome X, which was consistent with the diagnosis of synovial sarcoma (SS) of kidney.
Dassi et al. [77] made the following conclusions:
Modi et al. [78] reported a Forty-one-year-old male patient who had presented with pain in his left lumbar region and visible haematuria for 1 month. His past and family history is unremarkable. He had been a chronic tobacco chewer for 10 years and a non-alcoholic. He was referred to the cancer centre based upon the findings in his ultrasound scan of a left renal mass. Upon examination he was found to have a normal height, weight, and body mass index for his age. His vital signs were normal and his performance score by ECOG (eastern cooperative oncology group) was 1. Clinically a non-tender palpable mass was felt over his left lumber fossa of around 5 cm × 5 cm with smooth surface and hard consistency. Pallor was present in his sclera and no lymphadenopathy or icterus was identified. He had a CT scan which demonstrated an enlarged left kidney which had almost been completely replaced with heterogeneously hypodense material. There was a hypodense filling defect noted in his left renal vein which had extended up to inferior vena cava suggestive of tumour thrombosis (see figure 7). The results of his laboratory blood test investigations were normal except haemoglobin of 6.7 gm%, serum creatinine of 2.1 mg/dL, and serum BUN of 25 mg/dL.

Figure 7: CT image shows enlarged left kidney and it is almost completely replaced with heterogeneously hypodense material Reproduced from: [78] under the Creative Commons Attribution License.

Figure 8: Lower power view shows round to spindle cells with hemangiopericytoma pattern with areas of hyalinization in between. Reproduced from: [78] under the Creative Commons Attribution License.

Figure 9: High power view shows entrapped normal renal tubules. Reproduced from: [78] under the Creative Commons Attribution License.

Figure 10: The figure shows CD99 positivity. Reproduced from: [78] under the Creative Commons Attribution License.

Figure 11: The figure shows BCL2 positivity. Reproduced from: [78] under the Creative Commons Attribution License.
Histopathology examination of the biopsy specimen from the left renal mass demonstrated round to spindle cells with hemangiopericytoma pattern and area of hyalinization (see figure 8). High power view showed entrapped normal renal tubules (see figure 9). Immunohistochemistry (IHC) staining of the biopsy specimen showed that the tumour cells had exhibited positive staining for CD99 (see figure 10), BCL2 (see figure 11), and vimentin and negative staining for AE1, epithelial membrane antigen (EMA), and leukocyte common antigen (LCA). According to morphological and IHC findings final diagnosis of primary renal synovial sarcoma was made. The patient was found to be clinically inoperable upfront according to Urooncology surgeon. In view of this, he was subsequently offered palliative chemotherapy in form of ifosfamide and adriamycin. He had a CT scan of abdomen which demonstrated partial response after 3 cycles of chemotherapy according to RECIST criteria. Modi et al. [78] made the ensuing conclusions:
Tranesh et al. [79] made the ensuing conclusions:
None.
Acknowledgements to:
Case Reports in Pathology and Hindawi Publishing Limited for granting permission for reproduction of figures and contents of their Journal article under copy right: Copyright © 2014 Gaurang Modi et al. This is an open access article distributed under the Creative Commons Attribution License, which permits unrestricted use, distribution, and reproduction in any medium, provided the original work is properly cited.
Clearly Auctoresonline and particularly Psychology and Mental Health Care Journal is dedicated to improving health care services for individuals and populations. The editorial boards' ability to efficiently recognize and share the global importance of health literacy with a variety of stakeholders. Auctoresonline publishing platform can be used to facilitate of optimal client-based services and should be added to health care professionals' repertoire of evidence-based health care resources.
Journal of Clinical Cardiology and Cardiovascular Intervention The submission and review process was adequate. However I think that the publication total value should have been enlightened in early fases. Thank you for all.
Journal of Women Health Care and Issues By the present mail, I want to say thank to you and tour colleagues for facilitating my published article. Specially thank you for the peer review process, support from the editorial office. I appreciate positively the quality of your journal.
Journal of Clinical Research and Reports I would be very delighted to submit my testimonial regarding the reviewer board and the editorial office. The reviewer board were accurate and helpful regarding any modifications for my manuscript. And the editorial office were very helpful and supportive in contacting and monitoring with any update and offering help. It was my pleasure to contribute with your promising Journal and I am looking forward for more collaboration.
We would like to thank the Journal of Thoracic Disease and Cardiothoracic Surgery because of the services they provided us for our articles. The peer-review process was done in a very excellent time manner, and the opinions of the reviewers helped us to improve our manuscript further. The editorial office had an outstanding correspondence with us and guided us in many ways. During a hard time of the pandemic that is affecting every one of us tremendously, the editorial office helped us make everything easier for publishing scientific work. Hope for a more scientific relationship with your Journal.
The peer-review process which consisted high quality queries on the paper. I did answer six reviewers’ questions and comments before the paper was accepted. The support from the editorial office is excellent.
Journal of Neuroscience and Neurological Surgery. I had the experience of publishing a research article recently. The whole process was simple from submission to publication. The reviewers made specific and valuable recommendations and corrections that improved the quality of my publication. I strongly recommend this Journal.
Dr. Katarzyna Byczkowska My testimonial covering: "The peer review process is quick and effective. The support from the editorial office is very professional and friendly. Quality of the Clinical Cardiology and Cardiovascular Interventions is scientific and publishes ground-breaking research on cardiology that is useful for other professionals in the field.
Thank you most sincerely, with regard to the support you have given in relation to the reviewing process and the processing of my article entitled "Large Cell Neuroendocrine Carcinoma of The Prostate Gland: A Review and Update" for publication in your esteemed Journal, Journal of Cancer Research and Cellular Therapeutics". The editorial team has been very supportive.
Testimony of Journal of Clinical Otorhinolaryngology: work with your Reviews has been a educational and constructive experience. The editorial office were very helpful and supportive. It was a pleasure to contribute to your Journal.
Dr. Bernard Terkimbi Utoo, I am happy to publish my scientific work in Journal of Women Health Care and Issues (JWHCI). The manuscript submission was seamless and peer review process was top notch. I was amazed that 4 reviewers worked on the manuscript which made it a highly technical, standard and excellent quality paper. I appreciate the format and consideration for the APC as well as the speed of publication. It is my pleasure to continue with this scientific relationship with the esteem JWHCI.
This is an acknowledgment for peer reviewers, editorial board of Journal of Clinical Research and Reports. They show a lot of consideration for us as publishers for our research article “Evaluation of the different factors associated with side effects of COVID-19 vaccination on medical students, Mutah university, Al-Karak, Jordan”, in a very professional and easy way. This journal is one of outstanding medical journal.
Dear Hao Jiang, to Journal of Nutrition and Food Processing We greatly appreciate the efficient, professional and rapid processing of our paper by your team. If there is anything else we should do, please do not hesitate to let us know. On behalf of my co-authors, we would like to express our great appreciation to editor and reviewers.
As an author who has recently published in the journal "Brain and Neurological Disorders". I am delighted to provide a testimonial on the peer review process, editorial office support, and the overall quality of the journal. The peer review process at Brain and Neurological Disorders is rigorous and meticulous, ensuring that only high-quality, evidence-based research is published. The reviewers are experts in their fields, and their comments and suggestions were constructive and helped improve the quality of my manuscript. The review process was timely and efficient, with clear communication from the editorial office at each stage. The support from the editorial office was exceptional throughout the entire process. The editorial staff was responsive, professional, and always willing to help. They provided valuable guidance on formatting, structure, and ethical considerations, making the submission process seamless. Moreover, they kept me informed about the status of my manuscript and provided timely updates, which made the process less stressful. The journal Brain and Neurological Disorders is of the highest quality, with a strong focus on publishing cutting-edge research in the field of neurology. The articles published in this journal are well-researched, rigorously peer-reviewed, and written by experts in the field. The journal maintains high standards, ensuring that readers are provided with the most up-to-date and reliable information on brain and neurological disorders. In conclusion, I had a wonderful experience publishing in Brain and Neurological Disorders. The peer review process was thorough, the editorial office provided exceptional support, and the journal's quality is second to none. I would highly recommend this journal to any researcher working in the field of neurology and brain disorders.
Dear Agrippa Hilda, Journal of Neuroscience and Neurological Surgery, Editorial Coordinator, I trust this message finds you well. I want to extend my appreciation for considering my article for publication in your esteemed journal. I am pleased to provide a testimonial regarding the peer review process and the support received from your editorial office. The peer review process for my paper was carried out in a highly professional and thorough manner. The feedback and comments provided by the authors were constructive and very useful in improving the quality of the manuscript. This rigorous assessment process undoubtedly contributes to the high standards maintained by your journal.
International Journal of Clinical Case Reports and Reviews. I strongly recommend to consider submitting your work to this high-quality journal. The support and availability of the Editorial staff is outstanding and the review process was both efficient and rigorous.
Thank you very much for publishing my Research Article titled “Comparing Treatment Outcome Of Allergic Rhinitis Patients After Using Fluticasone Nasal Spray And Nasal Douching" in the Journal of Clinical Otorhinolaryngology. As Medical Professionals we are immensely benefited from study of various informative Articles and Papers published in this high quality Journal. I look forward to enriching my knowledge by regular study of the Journal and contribute my future work in the field of ENT through the Journal for use by the medical fraternity. The support from the Editorial office was excellent and very prompt. I also welcome the comments received from the readers of my Research Article.
Dear Erica Kelsey, Editorial Coordinator of Cancer Research and Cellular Therapeutics Our team is very satisfied with the processing of our paper by your journal. That was fast, efficient, rigorous, but without unnecessary complications. We appreciated the very short time between the submission of the paper and its publication on line on your site.
I am very glad to say that the peer review process is very successful and fast and support from the Editorial Office. Therefore, I would like to continue our scientific relationship for a long time. And I especially thank you for your kindly attention towards my article. Have a good day!
"We recently published an article entitled “Influence of beta-Cyclodextrins upon the Degradation of Carbofuran Derivatives under Alkaline Conditions" in the Journal of “Pesticides and Biofertilizers” to show that the cyclodextrins protect the carbamates increasing their half-life time in the presence of basic conditions This will be very helpful to understand carbofuran behaviour in the analytical, agro-environmental and food areas. We greatly appreciated the interaction with the editor and the editorial team; we were particularly well accompanied during the course of the revision process, since all various steps towards publication were short and without delay".
I would like to express my gratitude towards you process of article review and submission. I found this to be very fair and expedient. Your follow up has been excellent. I have many publications in national and international journal and your process has been one of the best so far. Keep up the great work.
We are grateful for this opportunity to provide a glowing recommendation to the Journal of Psychiatry and Psychotherapy. We found that the editorial team were very supportive, helpful, kept us abreast of timelines and over all very professional in nature. The peer review process was rigorous, efficient and constructive that really enhanced our article submission. The experience with this journal remains one of our best ever and we look forward to providing future submissions in the near future.
I am very pleased to serve as EBM of the journal, I hope many years of my experience in stem cells can help the journal from one way or another. As we know, stem cells hold great potential for regenerative medicine, which are mostly used to promote the repair response of diseased, dysfunctional or injured tissue using stem cells or their derivatives. I think Stem Cell Research and Therapeutics International is a great platform to publish and share the understanding towards the biology and translational or clinical application of stem cells.
I would like to give my testimony in the support I have got by the peer review process and to support the editorial office where they were of asset to support young author like me to be encouraged to publish their work in your respected journal and globalize and share knowledge across the globe. I really give my great gratitude to your journal and the peer review including the editorial office.
I am delighted to publish our manuscript entitled "A Perspective on Cocaine Induced Stroke - Its Mechanisms and Management" in the Journal of Neuroscience and Neurological Surgery. The peer review process, support from the editorial office, and quality of the journal are excellent. The manuscripts published are of high quality and of excellent scientific value. I recommend this journal very much to colleagues.
Dr.Tania Muñoz, My experience as researcher and author of a review article in The Journal Clinical Cardiology and Interventions has been very enriching and stimulating. The editorial team is excellent, performs its work with absolute responsibility and delivery. They are proactive, dynamic and receptive to all proposals. Supporting at all times the vast universe of authors who choose them as an option for publication. The team of review specialists, members of the editorial board, are brilliant professionals, with remarkable performance in medical research and scientific methodology. Together they form a frontline team that consolidates the JCCI as a magnificent option for the publication and review of high-level medical articles and broad collective interest. I am honored to be able to share my review article and open to receive all your comments.
“The peer review process of JPMHC is quick and effective. Authors are benefited by good and professional reviewers with huge experience in the field of psychology and mental health. The support from the editorial office is very professional. People to contact to are friendly and happy to help and assist any query authors might have. Quality of the Journal is scientific and publishes ground-breaking research on mental health that is useful for other professionals in the field”.
Dear editorial department: On behalf of our team, I hereby certify the reliability and superiority of the International Journal of Clinical Case Reports and Reviews in the peer review process, editorial support, and journal quality. Firstly, the peer review process of the International Journal of Clinical Case Reports and Reviews is rigorous, fair, transparent, fast, and of high quality. The editorial department invites experts from relevant fields as anonymous reviewers to review all submitted manuscripts. These experts have rich academic backgrounds and experience, and can accurately evaluate the academic quality, originality, and suitability of manuscripts. The editorial department is committed to ensuring the rigor of the peer review process, while also making every effort to ensure a fast review cycle to meet the needs of authors and the academic community. Secondly, the editorial team of the International Journal of Clinical Case Reports and Reviews is composed of a group of senior scholars and professionals with rich experience and professional knowledge in related fields. The editorial department is committed to assisting authors in improving their manuscripts, ensuring their academic accuracy, clarity, and completeness. Editors actively collaborate with authors, providing useful suggestions and feedback to promote the improvement and development of the manuscript. We believe that the support of the editorial department is one of the key factors in ensuring the quality of the journal. Finally, the International Journal of Clinical Case Reports and Reviews is renowned for its high- quality articles and strict academic standards. The editorial department is committed to publishing innovative and academically valuable research results to promote the development and progress of related fields. The International Journal of Clinical Case Reports and Reviews is reasonably priced and ensures excellent service and quality ratio, allowing authors to obtain high-level academic publishing opportunities in an affordable manner. I hereby solemnly declare that the International Journal of Clinical Case Reports and Reviews has a high level of credibility and superiority in terms of peer review process, editorial support, reasonable fees, and journal quality. Sincerely, Rui Tao.
Clinical Cardiology and Cardiovascular Interventions I testity the covering of the peer review process, support from the editorial office, and quality of the journal.
Clinical Cardiology and Cardiovascular Interventions, we deeply appreciate the interest shown in our work and its publication. It has been a true pleasure to collaborate with you. The peer review process, as well as the support provided by the editorial office, have been exceptional, and the quality of the journal is very high, which was a determining factor in our decision to publish with you.
The peer reviewers process is quick and effective, the supports from editorial office is excellent, the quality of journal is high. I would like to collabroate with Internatioanl journal of Clinical Case Reports and Reviews journal clinically in the future time.
Clinical Cardiology and Cardiovascular Interventions, I would like to express my sincerest gratitude for the trust placed in our team for the publication in your journal. It has been a true pleasure to collaborate with you on this project. I am pleased to inform you that both the peer review process and the attention from the editorial coordination have been excellent. Your team has worked with dedication and professionalism to ensure that your publication meets the highest standards of quality. We are confident that this collaboration will result in mutual success, and we are eager to see the fruits of this shared effort.
Dear Dr. Jessica Magne, Editorial Coordinator 0f Clinical Cardiology and Cardiovascular Interventions, I hope this message finds you well. I want to express my utmost gratitude for your excellent work and for the dedication and speed in the publication process of my article titled "Navigating Innovation: Qualitative Insights on Using Technology for Health Education in Acute Coronary Syndrome Patients." I am very satisfied with the peer review process, the support from the editorial office, and the quality of the journal. I hope we can maintain our scientific relationship in the long term.
Dear Monica Gissare, - Editorial Coordinator of Nutrition and Food Processing. ¨My testimony with you is truly professional, with a positive response regarding the follow-up of the article and its review, you took into account my qualities and the importance of the topic¨.
Dear Dr. Jessica Magne, Editorial Coordinator 0f Clinical Cardiology and Cardiovascular Interventions, The review process for the article “The Handling of Anti-aggregants and Anticoagulants in the Oncologic Heart Patient Submitted to Surgery” was extremely rigorous and detailed. From the initial submission to the final acceptance, the editorial team at the “Journal of Clinical Cardiology and Cardiovascular Interventions” demonstrated a high level of professionalism and dedication. The reviewers provided constructive and detailed feedback, which was essential for improving the quality of our work. Communication was always clear and efficient, ensuring that all our questions were promptly addressed. The quality of the “Journal of Clinical Cardiology and Cardiovascular Interventions” is undeniable. It is a peer-reviewed, open-access publication dedicated exclusively to disseminating high-quality research in the field of clinical cardiology and cardiovascular interventions. The journal's impact factor is currently under evaluation, and it is indexed in reputable databases, which further reinforces its credibility and relevance in the scientific field. I highly recommend this journal to researchers looking for a reputable platform to publish their studies.
Dear Editorial Coordinator of the Journal of Nutrition and Food Processing! "I would like to thank the Journal of Nutrition and Food Processing for including and publishing my article. The peer review process was very quick, movement and precise. The Editorial Board has done an extremely conscientious job with much help, valuable comments and advices. I find the journal very valuable from a professional point of view, thank you very much for allowing me to be part of it and I would like to participate in the future!”
Dealing with The Journal of Neurology and Neurological Surgery was very smooth and comprehensive. The office staff took time to address my needs and the response from editors and the office was prompt and fair. I certainly hope to publish with this journal again.Their professionalism is apparent and more than satisfactory. Susan Weiner
My Testimonial Covering as fellowing: Lin-Show Chin. The peer reviewers process is quick and effective, the supports from editorial office is excellent, the quality of journal is high. I would like to collabroate with Internatioanl journal of Clinical Case Reports and Reviews.
My experience publishing in Psychology and Mental Health Care was exceptional. The peer review process was rigorous and constructive, with reviewers providing valuable insights that helped enhance the quality of our work. The editorial team was highly supportive and responsive, making the submission process smooth and efficient. The journal's commitment to high standards and academic rigor makes it a respected platform for quality research. I am grateful for the opportunity to publish in such a reputable journal.
My experience publishing in International Journal of Clinical Case Reports and Reviews was exceptional. I Come forth to Provide a Testimonial Covering the Peer Review Process and the editorial office for the Professional and Impartial Evaluation of the Manuscript.
I would like to offer my testimony in the support. I have received through the peer review process and support the editorial office where they are to support young authors like me, encourage them to publish their work in your esteemed journals, and globalize and share knowledge globally. I really appreciate your journal, peer review, and editorial office.
Dear Agrippa Hilda- Editorial Coordinator of Journal of Neuroscience and Neurological Surgery, "The peer review process was very quick and of high quality, which can also be seen in the articles in the journal. The collaboration with the editorial office was very good."
I would like to express my sincere gratitude for the support and efficiency provided by the editorial office throughout the publication process of my article, “Delayed Vulvar Metastases from Rectal Carcinoma: A Case Report.” I greatly appreciate the assistance and guidance I received from your team, which made the entire process smooth and efficient. The peer review process was thorough and constructive, contributing to the overall quality of the final article. I am very grateful for the high level of professionalism and commitment shown by the editorial staff, and I look forward to maintaining a long-term collaboration with the International Journal of Clinical Case Reports and Reviews.
To Dear Erin Aust, I would like to express my heartfelt appreciation for the opportunity to have my work published in this esteemed journal. The entire publication process was smooth and well-organized, and I am extremely satisfied with the final result. The Editorial Team demonstrated the utmost professionalism, providing prompt and insightful feedback throughout the review process. Their clear communication and constructive suggestions were invaluable in enhancing my manuscript, and their meticulous attention to detail and dedication to quality are truly commendable. Additionally, the support from the Editorial Office was exceptional. From the initial submission to the final publication, I was guided through every step of the process with great care and professionalism. The team's responsiveness and assistance made the entire experience both easy and stress-free. I am also deeply impressed by the quality and reputation of the journal. It is an honor to have my research featured in such a respected publication, and I am confident that it will make a meaningful contribution to the field.
"I am grateful for the opportunity of contributing to [International Journal of Clinical Case Reports and Reviews] and for the rigorous review process that enhances the quality of research published in your esteemed journal. I sincerely appreciate the time and effort of your team who have dedicatedly helped me in improvising changes and modifying my manuscript. The insightful comments and constructive feedback provided have been invaluable in refining and strengthening my work".
I thank the ‘Journal of Clinical Research and Reports’ for accepting this article for publication. This is a rigorously peer reviewed journal which is on all major global scientific data bases. I note the review process was prompt, thorough and professionally critical. It gave us an insight into a number of important scientific/statistical issues. The review prompted us to review the relevant literature again and look at the limitations of the study. The peer reviewers were open, clear in the instructions and the editorial team was very prompt in their communication. This journal certainly publishes quality research articles. I would recommend the journal for any future publications.
Dear Jessica Magne, with gratitude for the joint work. Fast process of receiving and processing the submitted scientific materials in “Clinical Cardiology and Cardiovascular Interventions”. High level of competence of the editors with clear and correct recommendations and ideas for enriching the article.
We found the peer review process quick and positive in its input. The support from the editorial officer has been very agile, always with the intention of improving the article and taking into account our subsequent corrections.
My article, titled 'No Way Out of the Smartphone Epidemic Without Considering the Insights of Brain Research,' has been republished in the International Journal of Clinical Case Reports and Reviews. The review process was seamless and professional, with the editors being both friendly and supportive. I am deeply grateful for their efforts.
To Dear Erin Aust – Editorial Coordinator of Journal of General Medicine and Clinical Practice! I declare that I am absolutely satisfied with your work carried out with great competence in following the manuscript during the various stages from its receipt, during the revision process to the final acceptance for publication. Thank Prof. Elvira Farina
Dear Jessica, and the super professional team of the ‘Clinical Cardiology and Cardiovascular Interventions’ I am sincerely grateful to the coordinated work of the journal team for the no problem with the submission of my manuscript: “Cardiometabolic Disorders in A Pregnant Woman with Severe Preeclampsia on the Background of Morbid Obesity (Case Report).” The review process by 5 experts was fast, and the comments were professional, which made it more specific and academic, and the process of publication and presentation of the article was excellent. I recommend that my colleagues publish articles in this journal, and I am interested in further scientific cooperation. Sincerely and best wishes, Dr. Oleg Golyanovskiy.
Dear Ashley Rosa, Editorial Coordinator of the journal - Psychology and Mental Health Care. " The process of obtaining publication of my article in the Psychology and Mental Health Journal was positive in all areas. The peer review process resulted in a number of valuable comments, the editorial process was collaborative and timely, and the quality of this journal has been quickly noticed, resulting in alternative journals contacting me to publish with them." Warm regards, Susan Anne Smith, PhD. Australian Breastfeeding Association.
Dear Jessica Magne, Editorial Coordinator, Clinical Cardiology and Cardiovascular Interventions, Auctores Publishing LLC. I appreciate the journal (JCCI) editorial office support, the entire team leads were always ready to help, not only on technical front but also on thorough process. Also, I should thank dear reviewers’ attention to detail and creative approach to teach me and bring new insights by their comments. Surely, more discussions and introduction of other hemodynamic devices would provide better prevention and management of shock states. Your efforts and dedication in presenting educational materials in this journal are commendable. Best wishes from, Farahnaz Fallahian.
Dear Maria Emerson, Editorial Coordinator, International Journal of Clinical Case Reports and Reviews, Auctores Publishing LLC. I am delighted to have published our manuscript, "Acute Colonic Pseudo-Obstruction (ACPO): A rare but serious complication following caesarean section." I want to thank the editorial team, especially Maria Emerson, for their prompt review of the manuscript, quick responses to queries, and overall support. Yours sincerely Dr. Victor Olagundoye.
Dear Ashley Rosa, Editorial Coordinator, International Journal of Clinical Case Reports and Reviews. Many thanks for publishing this manuscript after I lost confidence the editors were most helpful, more than other journals Best wishes from, Susan Anne Smith, PhD. Australian Breastfeeding Association.
Dear Agrippa Hilda, Editorial Coordinator, Journal of Neuroscience and Neurological Surgery. The entire process including article submission, review, revision, and publication was extremely easy. The journal editor was prompt and helpful, and the reviewers contributed to the quality of the paper. Thank you so much! Eric Nussbaum, MD
Dr Hala Al Shaikh This is to acknowledge that the peer review process for the article ’ A Novel Gnrh1 Gene Mutation in Four Omani Male Siblings, Presentation and Management ’ sent to the International Journal of Clinical Case Reports and Reviews was quick and smooth. The editorial office was prompt with easy communication.
Dear Erin Aust, Editorial Coordinator, Journal of General Medicine and Clinical Practice. We are pleased to share our experience with the “Journal of General Medicine and Clinical Practice”, following the successful publication of our article. The peer review process was thorough and constructive, helping to improve the clarity and quality of the manuscript. We are especially thankful to Ms. Erin Aust, the Editorial Coordinator, for her prompt communication and continuous support throughout the process. Her professionalism ensured a smooth and efficient publication experience. The journal upholds high editorial standards, and we highly recommend it to fellow researchers seeking a credible platform for their work. Best wishes By, Dr. Rakhi Mishra.
Dear Jessica Magne, Editorial Coordinator, Clinical Cardiology and Cardiovascular Interventions, Auctores Publishing LLC. The peer review process of the journal of Clinical Cardiology and Cardiovascular Interventions was excellent and fast, as was the support of the editorial office and the quality of the journal. Kind regards Walter F. Riesen Prof. Dr. Dr. h.c. Walter F. Riesen.
Dear Ashley Rosa, Editorial Coordinator, International Journal of Clinical Case Reports and Reviews, Auctores Publishing LLC. Thank you for publishing our article, Exploring Clozapine's Efficacy in Managing Aggression: A Multiple Single-Case Study in Forensic Psychiatry in the international journal of clinical case reports and reviews. We found the peer review process very professional and efficient. The comments were constructive, and the whole process was efficient. On behalf of the co-authors, I would like to thank you for publishing this article. With regards, Dr. Jelle R. Lettinga.
Dear Clarissa Eric, Editorial Coordinator, Journal of Clinical Case Reports and Studies, I would like to express my deep admiration for the exceptional professionalism demonstrated by your journal. I am thoroughly impressed by the speed of the editorial process, the substantive and insightful reviews, and the meticulous preparation of the manuscript for publication. Additionally, I greatly appreciate the courteous and immediate responses from your editorial office to all my inquiries. Best Regards, Dariusz Ziora
Dear Chrystine Mejia, Editorial Coordinator, Journal of Neurodegeneration and Neurorehabilitation, Auctores Publishing LLC, We would like to thank the editorial team for the smooth and high-quality communication leading up to the publication of our article in the Journal of Neurodegeneration and Neurorehabilitation. The reviewers have extensive knowledge in the field, and their relevant questions helped to add value to our publication. Kind regards, Dr. Ravi Shrivastava.
Dear Clarissa Eric, Editorial Coordinator, Journal of Clinical Case Reports and Studies, Auctores Publishing LLC, USA Office: +1-(302)-520-2644. I would like to express my sincere appreciation for the efficient and professional handling of my case report by the ‘Journal of Clinical Case Reports and Studies’. The peer review process was not only fast but also highly constructive—the reviewers’ comments were clear, relevant, and greatly helped me improve the quality and clarity of my manuscript. I also received excellent support from the editorial office throughout the process. Communication was smooth and timely, and I felt well guided at every stage, from submission to publication. The overall quality and rigor of the journal are truly commendable. I am pleased to have published my work with Journal of Clinical Case Reports and Studies, and I look forward to future opportunities for collaboration. Sincerely, Aline Tollet, UCLouvain.
Dear Ms. Mayra Duenas, Editorial Coordinator, International Journal of Clinical Case Reports and Reviews. “The International Journal of Clinical Case Reports and Reviews represented the “ideal house” to share with the research community a first experience with the use of the Simeox device for speech rehabilitation. High scientific reputation and attractive website communication were first determinants for the selection of this Journal, and the following submission process exceeded expectations: fast but highly professional peer review, great support by the editorial office, elegant graphic layout. Exactly what a dynamic research team - also composed by allied professionals - needs!" From, Chiara Beccaluva, PT - Italy.
Dear Maria Emerson, Editorial Coordinator, we have deeply appreciated the professionalism demonstrated by the International Journal of Clinical Case Reports and Reviews. The reviewers have extensive knowledge of our field and have been very efficient and fast in supporting the process. I am really looking forward to further collaboration. Thanks. Best regards, Dr. Claudio Ligresti
Dear Chrystine Mejia, Editorial Coordinator, Journal of Neurodegeneration and Neurorehabilitation. “The peer review process was efficient and constructive, and the editorial office provided excellent communication and support throughout. The journal ensures scientific rigor and high editorial standards, while also offering a smooth and timely publication process. We sincerely appreciate the work of the editorial team in facilitating the dissemination of innovative approaches such as the Bonori Method.” Best regards, Dr. Matteo Bonori.
I recommend without hesitation submitting relevant papers on medical decision making to the International Journal of Clinical Case Reports and Reviews. I am very grateful to the editorial staff. Maria Emerson was a pleasure to communicate with. The time from submission to publication was an extremely short 3 weeks. The editorial staff submitted the paper to three reviewers. Two of the reviewers commented positively on the value of publishing the paper. The editorial staff quickly recognized the third reviewer’s comments as an unjust attempt to reject the paper. I revised the paper as recommended by the first two reviewers.
Dear Maria Emerson, Editorial Coordinator, Journal of Clinical Research and Reports. Thank you for publishing our case report: "Clinical Case of Effective Fetal Stem Cells Treatment in a Patient with Autism Spectrum Disorder" within the "Journal of Clinical Research and Reports" being submitted by the team of EmCell doctors from Kyiv, Ukraine. We much appreciate a professional and transparent peer-review process from Auctores. All research Doctors are so grateful to your Editorial Office and Auctores Publishing support! I amiably wish our article publication maintained a top quality of your International Scientific Journal. My best wishes for a prosperity of the Journal of Clinical Research and Reports. Hope our scientific relationship and cooperation will remain long lasting. Thank you very much indeed. Kind regards, Dr. Andriy Sinelnyk Cell Therapy Center EmCell
Dear Editorial Team, Clinical Cardiology and Cardiovascular Interventions. It was truly a rewarding experience to work with the journal “Clinical Cardiology and Cardiovascular Interventions”. The peer review process was insightful and encouraging, helping us refine our work to a higher standard. The editorial office offered exceptional support with prompt and thoughtful communication. I highly value the journal’s role in promoting scientific advancement and am honored to be part of it. Best regards, Meng-Jou Lee, MD, Department of Anesthesiology, National Taiwan University Hospital.
Dear Editorial Team, Journal-Clinical Cardiology and Cardiovascular Interventions, “Publishing my article with Clinical Cardiology and Cardiovascular Interventions has been a highly positive experience. The peer-review process was rigorous yet supportive, offering valuable feedback that strengthened my work. The editorial team demonstrated exceptional professionalism, prompt communication, and a genuine commitment to maintaining the highest scientific standards. I am very pleased with the publication quality and proud to be associated with such a reputable journal.” Warm regards, Dr. Mahmoud Kamal Moustafa Ahmed
Dear Maria Emerson, Editorial Coordinator of ‘International Journal of Clinical Case Reports and Reviews’, I appreciate the opportunity to publish my article with your journal. The editorial office provided clear communication during the submission and review process, and I found the overall experience professional and constructive. Best regards, Elena Salvatore.
Dear Mayra Duenas, Editorial Coordinator of ‘International Journal of Clinical Case Reports and Reviews Herewith I confirm an optimal peer review process and a great support of the editorial office of the present journal
Dear Editorial Team, Clinical Cardiology and Cardiovascular Interventions. I am really grateful for the peers review; their feedback gave me the opportunity to reflect on the message and impact of my work and to ameliorate the article. The editors did a great job in addition by encouraging me to continue with the process of publishing.
Dear Cecilia Lilly, Editorial Coordinator, Endocrinology and Disorders, Thank you so much for your quick response regarding reviewing and all process till publishing our manuscript entitled: Prevalence of Pre-Diabetes and its Associated Risk Factors Among Nile College Students, Sudan. Best regards, Dr Mamoun Magzoub.
International Journal of Clinical Case Reports and Reviews is a high quality journal that has a clear and concise submission process. The peer review process was comprehensive and constructive. Support from the editorial office was excellent, since the administrative staff were responsive. The journal provides a fast and timely publication timeline.
Dear Maria Emerson, Editorial Coordinator of International Journal of Clinical Case Reports and Reviews, What distinguishes International Journal of Clinical Case Report and Review is not only the scientific rigor of its publications, but the intellectual climate in which research is evaluated. The submission process is refreshingly free of unnecessary formal barriers and bureaucratic rituals that often complicate academic publishing without adding real value. The peer-review system is demanding yet constructive, guided by genuine scientific dialogue rather than hierarchical or authoritarian attitudes. Reviewers act as collaborators in improving the manuscript, not as gatekeepers imposing arbitrary standards. This journal offers a rare balance: high methodological standards combined with a respectful, transparent, and supportive editorial approach. In an era where publishing can feel more burdensome than research itself, this platform restores the original purpose of peer review — to refine ideas, not to obstruct them Prof. Perlat Kapisyzi, FCCP PULMONOLOGIST AND THORACIC IMAGING.
Dear Grace Pierce, International Journal of Clinical Case Reports and Reviews I appreciate the opportunity to review for Auctore Journal, as the overall editorial process was smooth, transparent and professionally managed. This journal maintains high scientific standards and ensures timely communications with authors, which is truly commendable. I would like to express my special thanks to editor Grace Pierce for his constant guidance, promt responses, and supportive coordination throughout the review process. I am also greatful to Eleanor Bailey from the finance department for her clear communication and efficient handling of all administrative matters. Overall, my experience with Auctore Journal has been highly positive and rewarding. Best regards, Sabita sinha
Dear Mayra Duenas, Editorial Coordinator of the journal IJCCR, I write here a little on my experience as an author submitting to the International Journal of Clinical Case Reports and Reviews (IJCCR). This was my first submission to IJCCR and my manuscript was inherently an outsider’s effort. It attempted to broadly identify and then make some sense of life’s under-appreciated mysteries. I initially had responded to a request for possible submissions. I then contacted IJCCR with a tentative topic for a manuscript. They quickly got back with an approval for the submission, but with a particular requirement that it be medically relevant. I then put together a manuscript and submitted it. After the usual back-and-forth over forms and formality, the manuscript was sent off for reviews. Within 2 weeks I got back 4 reviews which were both helpful and also surprising. Surprising in that the topic was somewhat foreign to medical literature. My subsequent updates in response to the reviewer comments went smoothly and in short order I had a series of proofs to evaluate. All in all, the whole publication process seemed outstanding. It was both helpful in terms of the paper’s content and also in terms of its efficient and friendly communications. Thank you all very much. Sincerely, Ted Christopher, Rochester, NY.